| WB | 咨询技术 | Human,Mouse,Rat |
| IF | 咨询技术 | Human,Mouse,Rat |
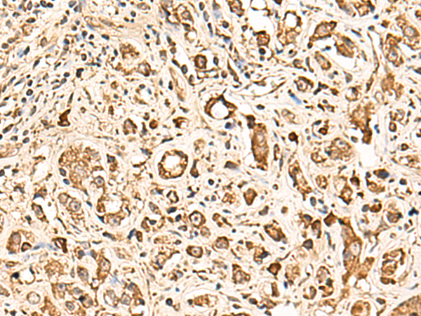
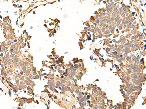
| IHC | 1/50-1/100 | Human,Mouse,Rat |
| ICC | 1/100-1/300 | Human,Mouse,Rat |
| FCM | 咨询技术 | Human,Mouse,Rat |
| Elisa | 咨询技术 | Human,Mouse,Rat |
| Aliases | PHP; GHDX; MRGH; PHPX; SOXB |
| WB Predicted band size | 45 kDa |
| Host/Isotype | Rabbit IgG |
| Antibody Type | Primary antibody |
| Storage | Store at 4°C short term. Aliquot and store at -20°C long term. Avoid freeze/thaw cycles. |
| Species Reactivity | Human, Mouse |
| Immunogen | Synthetic peptide of human SOX3 |
| Formulation | Purified antibody in PBS with 0.05% sodium azide and 50% glycerol. |
+ +
以下是关于HSP27(phospho-Ser15/Ser16)抗体的参考文献示例。由于“HSP2”可能存在名称混淆,此处假设为HSPB1(HSP27)的磷酸化研究:
---
1. **文献名称**:*"p38 MAPK-dependent phosphorylation of HSP27 (HSPB1) at Ser-15 and Ser-16 mediates actin cytoskeletal reorganization"*
**作者**:Rogalla, T. et al.
**摘要**:研究揭示了p38 MAPK通路在应激条件下磷酸化HSP27的Ser15和Ser16位点,调控肌动蛋白细胞骨架重组,影响细胞迁移和凋亡抵抗。
---
2. **文献名称**:*"Phosphorylated HSP27 (Ser-15/16) as a biomarker for oxidative stress in cardiovascular diseases"*
**作者**:Efthymiou, C.A. et al.
**摘要**:开发了一种特异性识别HSP27 Ser15/Ser16磷酸化的抗体,证实其在心肌缺血再灌注损伤模型中的表达上调,提示其作为氧化应激标志物的潜力。
---
3. **文献名称**:*"Antibody-based detection of HSP27 phosphorylation in breast cancer progression"*
**作者**:Mendez, F. et al.
**摘要**:利用磷酸化特异性抗体分析乳腺癌组织中HSP27 Ser15/Ser16的修饰水平,发现其与肿瘤转移和化疗耐药性显著相关。
---
4. **文献名称**:*"Role of HSPB2 phosphorylation in mitochondrial quality control"*
**作者**:Kim, M. et al.
**摘要**:探讨HSPB2(小热休克蛋白家族成员)在Ser16位点的磷酸化如何影响线粒体自噬,为神经退行性疾病提供机制见解。
---
**注意**:若需更精准的文献,建议确认目标蛋白名称(如HSPB1/HSP27或HSPB2)及磷酸化位点(如Ser15或Ser16),并检索PubMed等数据库获取最新研究。
The HSP2 (phospho-Ser16) antibody is a specialized tool used to detect the phosphorylated form of heat shock protein beta-2 (HSPB2) at serine residue 16. HSPB2. a member of the small heat shock protein (sHSP) family, plays critical roles in cellular stress responses, protein quality control, and maintenance of cytoskeletal integrity. Phosphorylation at Ser16 is a key post-translational modification that regulates HSPB2's chaperone activity, oligomerization state, and interaction with client proteins or other stress-response pathways. This modification is often induced by cellular stressors, such as oxidative stress, heat shock, or pathological conditions like ischemia or neurodegenerative diseases.
The HSP2 (phospho-Ser16) antibody enables researchers to study the activation dynamics of HSPB2 under specific stress conditions or disease models. It is widely utilized in techniques like Western blotting, immunohistochemistry, and immunofluorescence to assess phosphorylation-dependent signaling in tissues or cultured cells. Its specificity for the phosphorylated epitope makes it valuable for distinguishing activated HSPB2 from its inactive form, aiding investigations into stress adaptation mechanisms, apoptosis regulation, and disease progression. Dysregulation of HSPB2 phosphorylation has been implicated in conditions such as cardiomyopathy, muscular dystrophy, and Alzheimer's disease, underscoring the antibody's relevance in both basic research and therapeutic target discovery.
×