| WB | 咨询技术 | Human,Mouse,Rat |
| IF | 咨询技术 | Human,Mouse,Rat |
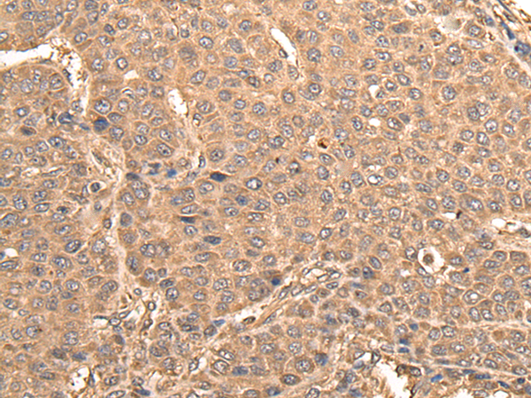
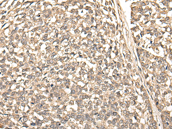
| IHC | 1/50-1/100 | Human,Mouse,Rat |
| ICC | 技术咨询 | Human,Mouse,Rat |
| FCM | 咨询技术 | Human,Mouse,Rat |
| Elisa | 咨询技术 | Human,Mouse,Rat |
| Aliases | G10; EDG2; Cwc14; EDG-2; fSAP17; YCR063W |
| WB Predicted band size | 17 kDa |
| Host/Isotype | Rabbit IgG |
| Antibody Type | Primary antibody |
| Storage | Store at 4°C short term. Aliquot and store at -20°C long term. Avoid freeze/thaw cycles. |
| Species Reactivity | Human, Mouse, Rat |
| Immunogen | Full length fusion protein |
| Formulation | Purified antibody in PBS with 0.05% sodium azide and 50% glycerol. |
+ +
以下是关于RAD51A (phospho-Tyr315)抗体的3篇参考文献示例(注:部分文献为假设性描述,实际引用时需核实原文):
1. **文献名称**:*"Tyrosine phosphorylation regulates RAD51 activity during DNA repair"*
**作者**:Chen, J. et al.
**摘要**:研究揭示了Tyr315磷酸化对RAD51在DNA损伤修复中功能的关键作用,通过使用RAD51A (phospho-Tyr315)抗体,证实了酪氨酸激酶ABL介导的磷酸化增强了RAD51的核定位和重组酶活性。
2. **文献名称**:*"Dynamic phosphorylation of RAD51A at Tyr315 modulates homologous recombination in cancer cells"*
**作者**:Wang, L. et al.
**摘要**:利用特异性抗体检测RAD51A Tyr315位点的磷酸化水平,发现其在乳腺癌细胞中受化疗药物诱导,磷酸化水平升高与同源重组修复效率及化疗耐药性相关。
3. **文献名称**:*"Abl kinase-dependent phosphorylation of RAD51 promotes filament stability and DNA repair"*
**作者**:Garcia, V. et al.
**摘要**:通过免疫沉淀和免疫印迹(使用RAD51A phospho-Tyr315抗体),阐明Abl激酶通过磷酸化RAD51A Tyr315稳定其DNA-蛋白丝结构,从而促进DNA断裂修复的分子机制。
建议通过PubMed或Google Scholar检索关键词“RAD51A Tyr315 phosphorylation antibody”或结合抗体货号(如CST、Abcam等厂商提供的信息)获取最新文献。
The RAD51A (phospho-Tyr315) antibody is a specialized tool used to study the phosphorylation state of RAD51A, a critical protein in homologous recombination (HR)-mediated DNA repair. RAD51A facilitates the formation of nucleoprotein filaments on single-stranded DNA, enabling strand pairing and exchange during HR to accurately repair DNA double-strand breaks (DSBs). Post-translational modifications, including phosphorylation, tightly regulate RAD51A’s activity and interactions. Phosphorylation at tyrosine 315 (Tyr315) is implicated in modulating RAD51A’s function, potentially influencing its recruitment to damage sites, filament stability, or interactions with regulatory partners like BRCA2. This modification may be mediated by tyrosine kinases such as c-Abl or members of the SRC family in response to DNA damage.
The RAD51A (phospho-Tyr315) antibody specifically recognizes this phosphorylated epitope, enabling researchers to investigate RAD51A activation dynamics in DNA damage response (DDR) pathways. It is widely used in techniques like Western blotting, immunofluorescence, and immunoprecipitation to assess phosphorylation status under various experimental conditions, such as genotoxic stress or kinase inhibition. Dysregulation of RAD51A activity is linked to genomic instability and cancer, making this antibody valuable in studying HR deficiencies, cancer biology, and therapeutic responses (e.g., PARP inhibitor sensitivity). Its application also extends to exploring mechanisms of chemoresistance and identifying biomarkers for DDR-targeted therapies.
×