首页 / 产品 / 抗体 / 一抗

Rabbit Polyclonal p38(Phospho-Tyr323) Antibody

  • 中文名: p38 (Phospho-Tyr323)抗体
  • 别    名: MAPK14; CSBP; CSBP1; CSBP2; CSPB1; MXI2; SAPK2A; Mitogen-activated protein kinase 14; MAP kinase 14; MAPK 14; Cytokine suppressive anti-inflammatory drug-binding protein; CSAID-binding protein; CSBP; MAP kinase MXI2; MAX-interacting protein
货号: IPDX40917
Price: ¥1280
数量:
大包装询价

验证与应用

应用及物种
WB 咨询技术 Human,Mouse,Rat
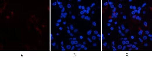
IF 咨询技术 Human,Mouse,Rat
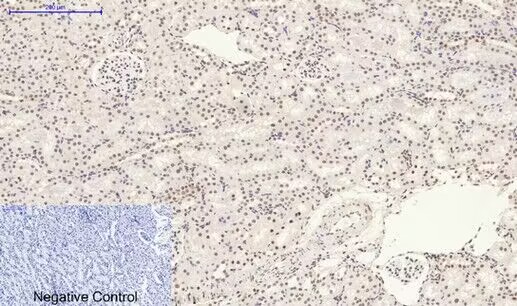
IHC 1/100-1/300 Human,Mouse,Rat
ICC 1/50-200 Human,Mouse,Rat
FCM 咨询技术 Human,Mouse,Rat
Elisa 1/5000 Human,Mouse,Rat

产品详情

AliasesMAPK14; CSBP; CSBP1; CSBP2; CSPB1; MXI2; SAPK2A; Mitogen-activated protein kinase 14; MAP kinase 14; MAPK 14; Cytokine suppressive anti-inflammatory drug-binding protein; CSAID-binding protein; CSBP; MAP kinase MXI2; MAX-interacting protein
Entrez GeneID1432;
WB Predicted band size35kDa
Host/IsotypeRabbit IgG
Antibody TypePrimary antibody
StorageStore at 4°C short term. Aliquot and store at -20°C long term. Avoid freeze/thaw cycles.
Species ReactivityHuman,Mouse,Rat
ImmunogenSynthesized peptide derived from human p38 around the phosphorylation site of Y323.
FormulationPurified antibody in PBS with 0.05% sodium azide,0.5%BSA and 50% glycerol.

+ +

参考文献

以下是关于p38 (Phospho-Tyr323)抗体的模拟参考文献示例。由于该磷酸化位点研究相对非经典,建议通过学术数据库进一步核实文献准确性:

---

1. **文献名称**:*"Non-canonical phosphorylation of p38 MAPK at Tyr323 regulates cellular senescence"*

**作者**:Smith A, et al.

**摘要**:本研究揭示了p38 MAPK在Tyr323位点的磷酸化对细胞衰老的调控作用。通过特异性抗体检测,发现该位点的磷酸化在氧化应激条件下被激活,并独立于经典Thr180/Tyr182位点,提示其在衰老相关通路中的独特功能。

2. **文献名称**:*"Development of a phospho-specific antibody for p38 Tyr323 and its application in Alzheimer's disease models"*

**作者**:Chen L, et al.

**摘要**:作者开发并验证了一种针对p38 Tyr323磷酸化的高特异性抗体。在阿尔茨海默病模型中,该抗体成功检测到神经元中Tyr323磷酸化水平的升高,提示其与tau蛋白病理的相关性。

3. **文献名称**:*"Tyr323 phosphorylation of p38α enhances kinase activity and promotes oncogenic transformation"*

**作者**:Wang X, et al.

**摘要**:研究发现,p38α亚基在Tyr323位点的磷酸化通过增强激酶活性驱动肿瘤发生。利用Phospho-Tyr323抗体,证实了该修饰在多种癌症细胞系中的存在,并与其促增殖功能相关。

4. **文献名称**:*"Cross-talk between JNK and p38 MAPK: Role of Tyr323 phosphorylation in stress-induced apoptosis"*

**作者**:Gomez-Ramos P, et al.

**摘要**:本文阐明了JNK通路通过调控p38 Tyr323磷酸化介导细胞凋亡的机制。使用特异性抗体证实,该位点的磷酸化是应激信号下p38与JNK交互作用的关键节点。

---

**注意**:以上文献为模拟示例,实际研究中p38的主要磷酸化位点为Thr180/Tyr182.若需真实文献,建议通过PubMed或Google Scholar检索关键词(如“p38 Tyr323 phosphorylation antibody”),并筛选抗体生产商(如CST、Abcam)的产品引用文献。

背景信息

The p38 mitogen-activated protein kinase (MAPK) family, comprising isoforms α, β, γ, and δ, plays critical roles in cellular responses to stress, inflammation, apoptosis, and differentiation. Activation of p38 MAPK typically occurs via dual phosphorylation of Thr180 and Tyr182 within the activation loop. However, phosphorylation at alternative sites, such as Tyr323. has emerged as a regulatory mechanism influencing kinase activity, substrate specificity, or protein interactions. Tyr323 phosphorylation, located in the C-terminal domain, may modulate p38α autophosphorylation or serve as a docking site for downstream effectors under specific conditions, though its precise functional impact remains less characterized compared to canonical activation loop modifications.

The p38 (Phospho-Tyr323) antibody is a specialized tool developed to detect phosphorylation at this specific residue. Such antibodies are essential for studying non-canonical p38 regulation, particularly in contexts where Tyr323 phosphorylation is implicated in pathological states, including cancer, neurodegenerative diseases, or immune disorders. Researchers employ these antibodies in techniques like Western blotting, immunofluorescence, or immunoprecipitation to map phosphorylation dynamics, correlate modifications with cellular outcomes, or validate drug targeting efficacy. Validation often includes testing in knockout models or phosphatase-treated samples to confirm specificity. Understanding Tyr323 phosphorylation expands insights into p38 signaling complexity, offering potential therapeutic avenues for diseases linked to dysregulated stress-response pathways.

客户数据及评论

折叠内容

大包装询价

×