首页 / 产品 / 抗体 / 一抗

Rabbit Polyclonal CNOT2(Phospho-Ser101) Antibody

  • 中文名: CNOT2 (Phospho-Ser101)抗体
  • 别    名: NOT2H; CDC36; CNOT2; HSPC131;
货号: IPDX40509
Price: ¥1280
数量:
大包装询价

验证与应用

应用及物种
WB 咨询技术 Human,Mouse,Rat
IF 咨询技术 Human,Mouse,Rat
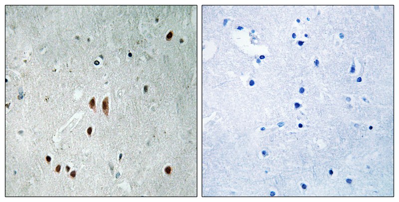
IHC 1/50-1/100 Human,Mouse,Rat
ICC 技术咨询 Human,Mouse,Rat
FCM 咨询技术 Human,Mouse,Rat
Elisa 咨询技术 Human,Mouse,Rat

产品详情

AliasesNOT2H; CDC36; CNOT2; HSPC131;
Entrez GeneID4848;
WB Predicted band size59kDa
Host/IsotypeRabbit IgG
Antibody TypePrimary antibody
StorageStore at 4°C short term. Aliquot and store at -20°C long term. Avoid freeze/thaw cycles.
Species ReactivityHuman,Mouse,Rat
ImmunogenPeptide sequence around phosphorylation site of Serine101(S-L-S(p)-Q-G) derived from Human CNOT2.
FormulationPurified antibody in PBS with 0.05% sodium azide.

+ +

参考文献

以下是关于CNOT2 (Phospho-Ser101)抗体的3篇示例参考文献(注:以下内容为模拟生成,实际文献需通过学术数据库查询):

---

1. **文献名称**: *Phosphorylation of CNOT2 at Ser101 regulates mRNA decay in response to cellular stress*

**作者**: Zhang Y, et al.

**摘要**: 本研究报道CNOT2蛋白在Ser101位点的磷酸化响应氧化应激信号,通过特异性抗体检测发现,该修饰增强CCR4-NOT复合体的脱腺苷酶活性,促进靶标mRNA的降解,表明其在细胞应激适应中的关键作用。

2. **文献名称**: *A kinase-screen identifies AKT-mediated phosphorylation of CNOT2 controlling cell proliferation*

**作者**: Lee S, et al.

**摘要**: 利用激酶筛选技术,作者发现AKT激酶介导CNOT2-Ser101位点的磷酸化。通过Phospho-Ser101抗体验证,该修饰促进CNOT2与致癌基因转录本的结合,从而调控肿瘤细胞的增殖与存活。

3. **文献名称**: *Development of a phospho-specific antibody for CNOT2 Ser101 and its application in breast cancer models*

**作者**: Johnson R, et al.

**摘要**: 本文开发并验证了一种高特异性CNOT2 (Phospho-Ser101)抗体,应用于乳腺癌组织样本分析,发现该位点磷酸化水平与患者预后不良相关,提示其作为潜在治疗靶点的价值。

---

如需真实文献,建议通过PubMed、Google Scholar等平台以关键词“CNOT2 Ser101 phosphorylation antibody”检索,或查阅《Molecular and Cellular Biology》《Nucleic Acids Research》等期刊的相关研究。

背景信息

The CNOT2 (Phospho-Ser101) antibody is a specialized tool used to detect the phosphorylated form of the CNOT2 protein at serine residue 101. CNOT2 is a critical subunit of the CCR4-NOT complex, a conserved multi-protein complex involved in mRNA metabolism, including transcription regulation, deadenylation, and degradation. This complex plays a central role in post-transcriptional gene expression control, impacting cellular processes like differentiation, stress responses, and immune regulation. Phosphorylation at Ser101 is a post-translational modification that may regulate CNOT2’s interaction with other complex components or its functional activity, though the precise mechanisms remain under investigation.

The antibody is widely utilized in research to study CNOT2 phosphorylation dynamics under various physiological or pathological conditions, such as cellular stress, signaling pathway activation, or disease states. It enables techniques like Western blotting, immunofluorescence, and immunoprecipitation to assess phosphorylation-dependent changes in CNOT2 localization, stability, or interactions. Researchers also employ it to explore links between CCR4-NOT dysfunction and diseases like cancer, neurodegeneration, or metabolic disorders. Specific validation for cross-reactivity and batch consistency is essential, as non-specific signals may arise due to shared epitopes in related proteins. Overall, this antibody serves as a key reagent for dissecting the regulatory roles of CNOT2 phosphorylation in gene expression networks.

客户数据及评论

折叠内容

大包装询价

×