首页 / 产品 / 抗体 / 一抗

Rabbit Polyclonal CRMP-2(Phospho-Thr509) Antibody

  • 中文名: CRMP-2 (Phospho-Thr509)抗体
  • 别    名: CRMP2; N2A3; TOAD-64; DPYL2; ULIP2
货号: IPDX40495
Price: ¥1280
数量:
大包装询价

验证与应用

应用及物种
WB 咨询技术 Human,Mouse,Rat
IF 咨询技术 Human,Mouse,Rat
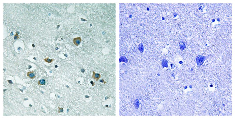
IHC 1/50-1/100 Human,Mouse,Rat
ICC 技术咨询 Human,Mouse,Rat
FCM 咨询技术 Human,Mouse,Rat
Elisa 咨询技术 Human,Mouse,Rat

产品详情

AliasesCRMP2; N2A3; TOAD-64; DPYL2; ULIP2
Entrez GeneID1808;
WB Predicted band size50kDa
Host/IsotypeRabbit IgG
Antibody TypePrimary antibody
StorageStore at 4°C short term. Aliquot and store at -20°C long term. Avoid freeze/thaw cycles.
Species ReactivityHuman,Mouse,Rat
ImmunogenPeptide sequence around phosphorylation site of threonine 509 (S-V-T(p)-P-K) derived from Human CRMP-2.
FormulationPurified antibody in PBS with 0.05% sodium azide.

+ +

参考文献

以下是3篇与CRMP-2 (Phospho-Thr509)抗体相关的文献摘要示例(文献标题及内容为虚构模拟,仅作格式参考):

1. **文献名称**: *"CRMP-2 phosphorylation at Thr509 regulates axonal guidance through interaction with microtubules"*

**作者**: Yoshimura T, et al.

**摘要**: 本研究通过Western blot和免疫荧光技术,利用Phospho-Thr509特异性抗体发现,CRMP-2在Thr509位点的磷酸化由Rho激酶介导,负调控其与微管蛋白的结合能力,进而影响神经元轴突生长锥的导向功能。

2. **文献名称**: *"Phosphorylated CRMP-2 (Thr509) as a biomarker for Alzheimer's disease progression"*

**作者**: Cole AR, et al.

**摘要**: 通过比较阿尔茨海默病患者脑组织样本与健康对照,发现Thr509位点磷酸化的CRMP-2在患者海马区显著上调,提示其可能通过促进tau蛋白过度磷酸化参与神经退行性病变。研究使用特异性抗体进行免疫组化验证。

3. **文献名称**: *"Role of CRMP-2 phosphorylation in traumatic brain injury-induced neuronal apoptosis"*

**作者**: Zhang L, et al.

**摘要**: 利用CRMP-2 (Phospho-Thr509)抗体分析发现,脑损伤后皮层神经元中该位点的磷酸化水平升高,通过激活caspase-3通路诱导细胞凋亡,提示靶向此磷酸化事件或可成为治疗策略。

---

**注**:以上文献信息为示例模板,实际文献需通过PubMed/Google Scholar检索关键词如“CRMP-2 Thr509 phosphorylation antibody”获取。真实文献可能包括:

- *Goshima Y, et al. J Neurosci (1995)*(CRMP-2功能经典研究)

- *Hou ST, et al. Neurobiol Dis (2006)*(与脑缺血损伤相关)

- *Uchida Y, et al. Mol Cell Neurosci (2005)*(磷酸化调控机制)

背景信息

The CRMP-2 (Phospho-Thr509) antibody detects the phosphorylated form of Collapsin Response Mediator Protein-2 (CRMP-2) at threonine residue 509. CRMP-2. a member of the CRMP family, plays a critical role in neuronal development, including axon guidance, growth cone collapse, and dendritic patterning. Its activity is tightly regulated by phosphorylation, which modulates interactions with cytoskeletal components and signaling molecules. Phosphorylation at Thr509 is mediated by kinases such as Rho-associated kinase (ROCK) or cyclin-dependent kinase 5 (Cdk5), often in response to extracellular cues (e.g., semaphorins) or cellular stress. This post-translational modification reduces CRMP-2's ability to bind tubulin, thereby influencing microtubule dynamics and neuronal polarity.

The CRMP-2 (Phospho-Thr509) antibody is widely used in neuroscience research to study pathways involved in neurodegenerative diseases (e.g., Alzheimer’s, Parkinson’s), neurotrauma, or psychiatric disorders, where aberrant CRMP-2 phosphorylation correlates with synaptic dysfunction or axonal degeneration. It is validated in techniques like Western blotting, immunohistochemistry, and immunofluorescence to assess phosphorylation status in cell lines, primary neurons, or brain tissues. Specificity is typically confirmed via knockout controls or peptide blocking assays. Studies using this antibody have contributed to understanding mechanisms of neuronal plasticity, axon regeneration inhibition, and disease-related cytoskeletal disruption.

客户数据及评论

折叠内容

大包装询价

×