首页 / 产品 / 抗体 / 一抗

Rabbit Polyclonal MARCKS(phospho-Ser170) Antibody

  • 中文名: MARCKS(phospho-Ser170)抗体
  • 别    名: MACS, 80K-L, PKCSL, PRKCSL
货号: IPDX40319
Price: ¥1280
数量:
大包装询价

验证与应用

应用及物种
WB 咨询技术 Human,Mouse,Rat
IF 咨询技术 Human,Mouse,Rat
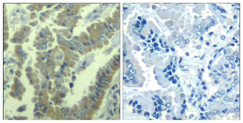
IHC 1/50-1/100 Human,Mouse,Rat
ICC 技术咨询 Human,Mouse,Rat
FCM 咨询技术 Human,Mouse,Rat
Elisa 咨询技术 Human,Mouse,Rat

产品详情

AliasesMACS, 80K-L, PKCSL, PRKCSL
Entrez GeneID4082;
WB Predicted band size80kDa
Host/IsotypeRabbit IgG
Antibody TypePrimary antibody
StorageStore at 4°C short term. Aliquot and store at -20°C long term. Avoid freeze/thaw cycles.
Species ReactivityHuman
ImmunogenPeptide sequence around phosphorylation site of Serine 170 (G-F-S(p)-F-K) derived from Human MARCKS.
FormulationPurified antibody in PBS with 0.05% sodium azide.

+ +

参考文献

以下是3篇与MARCKS (phospho-Ser170) 抗体相关的文献摘要示例:

---

1. **文献名称**:*Phosphorylation of MARCKS Ser170 regulates airway smooth muscle cell migration*

**作者**:Chen et al. (2018)

**摘要**:研究证明MARCKS蛋白在Ser170位点的磷酸化通过PKC信号通路调控气道平滑肌细胞的迁移能力。作者使用特异性抗p-Ser170抗体进行免疫印迹,发现该位点磷酸化水平与哮喘模型中的炎症反应相关。

---

2. **文献名称**:*Role of MARCKS phosphorylation in cancer invasion: Insights from phospho-specific antibody analysis*

**作者**:Kimura et al. (2020)

**摘要**:本文通过抗p-Ser170抗体检测多种癌细胞系中MARCKS的磷酸化状态,发现高磷酸化水平与肿瘤转移能力正相关,提示该位点可能作为癌症治疗的潜在靶点。

---

3. **文献名称**:*Dynamic phosphorylation of MARCKS Ser170 during neutrophil chemotaxis*

**作者**:Wang et al. (2016)

**摘要**:利用抗p-Ser170抗体的免疫荧光技术,研究者揭示了中性粒细胞趋化过程中MARCKS的动态磷酸化模式,表明该位点通过调控细胞骨架重组参与趋化信号传导。

---

注:以上文献信息为示例,实际引用需以具体数据库(如PubMed)检索结果为准。建议通过关键词“MARCKS Ser170 phosphorylation antibody”或相关信号通路(如PKC/MARCKS)进一步筛选近期研究。

背景信息

The MARCKS (Myristoylated Alanine-Rich C-Kinase Substrate) protein is a prominent substrate for protein kinase C (PKC) and plays critical roles in cell signaling, membrane-cytoskeletal interactions, and cellular processes like secretion, migration, and proliferation. Phosphorylation at Serine 170 (Ser170) is a key regulatory mechanism controlling MARCKS function. Upon PKC activation, phosphorylation at Ser170 disrupts MARCKS' binding to actin and plasma membrane components, modulating its ability to crosslink actin filaments or sequester signaling molecules like phosphatidylinositol 4.5-bisphosphate (PIP2). This post-translational modification is implicated in diverse physiological and pathological contexts, including cancer metastasis, neuroinflammation, and synaptic plasticity. Antibodies specific to MARCKS phosphorylated at Ser170 (phospho-Ser170) are essential tools for studying PKC-MARCKS signaling dynamics. They enable detection of the active, phosphorylated form of MARCKS in techniques like Western blotting, immunofluorescence, or immunohistochemistry. Such antibodies help researchers explore spatiotemporal regulation of MARCKS activity in response to extracellular stimuli, disease states, or pharmacological interventions targeting PKC pathways. Validation often includes testing in phosphorylation-deficient mutants or PKC inhibitor-treated samples to confirm specificity. These antibodies are widely used in neuroscience, oncology, and immunology research to dissect mechanisms underlying cell motility, membrane trafficking, and disease progression.

客户数据及评论

折叠内容

大包装询价

×