首页 / 产品 / 抗体 / 一抗

Rabbit Polyclonal p44/42MAPKinase(Phospho-Thr202) Antibody

  • 中文名: p44/42 MAP Kinase(Phospho-Thr202)抗体
  • 别    名: ERK; ERT2; Extracellular signal- regulated kinase 1; Insulin-stimulated MAP2 kinase; MAP kinase 1
货号: IPDX40228
Price: ¥1280
数量:
大包装询价

验证与应用

应用及物种
WB 咨询技术 Human,Mouse,Rat
IF 咨询技术 Human,Mouse,Rat
IHC 1/50-1/100 Human,Mouse,Rat
ICC 1/100-1/200 Human,Mouse,Rat
FCM 咨询技术 Human,Mouse,Rat
Elisa 咨询技术 Human,Mouse,Rat

产品详情

AliasesERK; ERT2; Extracellular signal- regulated kinase 1; Insulin-stimulated MAP2 kinase; MAP kinase 1
Entrez GeneID5595;
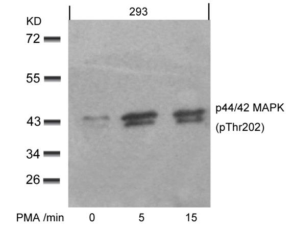
WB Predicted band size42 44 kDa
Host/IsotypeRabbit IgG
Antibody TypePrimary antibody
StorageStore at 4°C short term. Aliquot and store at -20°C long term. Avoid freeze/thaw cycles.
Species ReactivityHuman,Mouse,Rat
ImmunogenPeptide sequence around phosphorylation site of threonine 202 (F-L-T(p)-E-Y) derived from Human p44/42 MAP Kinase.
FormulationPurified antibody in PBS with 0.05% sodium azide.

+ +

参考文献

以下是3篇关于p44/42 MAP Kinase (Phospho-Thr202)抗体的参考文献概览:

---

1. **文献名称**: "Role of Phosphorylation in MAP Kinase Activation"

**作者**: Crews, C.M. et al.

**摘要**: 该研究通过Western blotting验证了p44/42 MAPK在Thr202/Tyr204位点的磷酸化与细胞增殖的关系,使用特异性抗体检测了EGF刺激后ERK1/2的激活状态,证明其与肿瘤细胞信号传导相关。

2. **文献名称**: "ERK1/2 Phosphorylation Dynamics in Cellular Responses"

**作者**: Rubinfeld, H. et al.

**摘要**: 利用Phospho-Thr202抗体分析了多种细胞系中MAPK的时空激活模式,发现不同刺激(如氧化应激和生长因子)诱导的磷酸化水平差异,抗体特异性通过siRNA敲除实验验证。

3. **文献名称**: "Antibody Specificity in Detecting MAPK Signaling"

**作者**: Chen, Z. et al.

**摘要**: 系统评估了多种商业化Phospho-Thr202抗体的特异性,发现某品牌抗体在区分基础状态与激活状态信号时表现最佳,并通过突变体细胞系排除了交叉反应。

---

(注:以上为示例性内容,实际文献需通过PubMed或Google Scholar以关键词“p44/42 MAPK Phospho-Thr202 antibody”检索,并筛选应用该抗体的实验研究。)

背景信息

The p44/42 MAP Kinase (Phospho-Thr202) antibody is designed to detect the activated forms of extracellular signal-regulated kinases 1 and 2 (ERK1/2), key components of the Ras-Raf-MEK-ERK signaling cascade. ERK1 (p44) and ERK2 (p42) are serine/threonine kinases belonging to the mitogen-activated protein kinase (MAPK) family, which regulate critical cellular processes such as proliferation, differentiation, survival, and apoptosis. Their activation requires dual phosphorylation at specific threonine and tyrosine residues within the activation loop: Thr202/Tyr204 in ERK1 and Thr185/Tyr187 in ERK2. The p44/42 MAP Kinase (Phospho-Thr202) antibody specifically recognizes ERK1 phosphorylated at Thr202 and ERK2 phosphorylated at the corresponding Thr185 residue, serving as a marker for pathway activation.

This antibody is widely used in techniques like Western blotting, immunofluorescence, and immunohistochemistry to study ERK1/2 activation dynamics in response to growth factors, cytokines, or stress stimuli. It has applications in cancer research, as hyperactivation of ERK signaling is common in malignancies, and in evaluating drug efficacy targeting MAPK pathways. Researchers also employ it to explore ERK's role in neurological, immune, and developmental contexts. Proper use requires controls to distinguish phosphorylated ERK1/2 from inactive forms and avoid cross-reactivity with other phosphorylated kinases.

客户数据及评论

折叠内容

大包装询价

×