首页 / 产品 / 抗体 / 一抗

Rabbit Polyclonal ATM(Phospho-Ser1981) Antibody

  • 中文名: ATM(Phospho-Ser1981)抗体
  • 别    名: Ataxia telangiectasia mutated homolog; Ataxia telangiectasia mutated; kinase ATM
货号: IPDX40119
Price: ¥1280
数量:
大包装询价

验证与应用

应用及物种
WB 咨询技术 Human,Mouse,Rat
IF 咨询技术 Human,Mouse,Rat
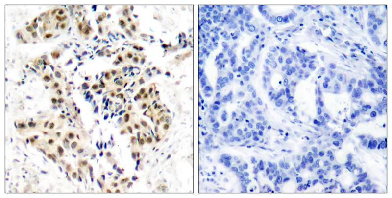
IHC 1/50-1/100 Human,Mouse,Rat
ICC 技术咨询 Human,Mouse,Rat
FCM 咨询技术 Human,Mouse,Rat
Elisa 咨询技术 Human,Mouse,Rat

产品详情

AliasesAtaxia telangiectasia mutated homolog; Ataxia telangiectasia mutated; kinase ATM
Entrez GeneID472;
WB Predicted band size350kDa
Host/IsotypeRabbit IgG
Antibody TypePrimary antibody
StorageStore at 4°C short term. Aliquot and store at -20°C long term. Avoid freeze/thaw cycles.
Species ReactivityHuman
ImmunogenPeptide sequence around phosphorylation site of serine 1981 (E-G-S(p)-Q-S) derived from Human ATM.
FormulationPurified antibody in PBS with 0.05% sodium azide.

+ +

参考文献

以下是关于ATM (Phospho-Ser1981)抗体的3篇代表性文献的简要信息:

1. **"DNA damage activates ATM through intermolecular autophosphorylation and dimer dissociation"**

- **作者**: Bakkenist CJ, Kastan MB

- **摘要**: 该研究首次报道ATM在DNA损伤后Ser1981位点的自磷酸化,提出磷酸化导致ATM二聚体解离并激活,成为DNA损伤应答的关键标志。文中使用Phospho-Ser1981抗体验证ATM的激活状态。

2. **"The role of ATM in the DNA damage response and cancer"**

- **作者**: Lavin MF, Gueven N

- **摘要**: 综述ATM蛋白的功能及其磷酸化修饰(如Ser1981)在维持基因组稳定性中的作用,引用实验数据表明Phospho-Ser1981抗体可用于检测电离辐射后ATM的激活。

3. **"Activation and regulation of ATM kinase activity in response to DNA double-strand breaks"**

- **作者**: Kozlov SV, et al.

- **摘要**: 通过结构生物学和生化实验,揭示ATM自磷酸化Ser1981的分子机制,并利用Phospho-Ser1981抗体证明该修饰对ATM激酶活性的必要性。

这些文献均围绕ATM蛋白在DNA损伤应答中的核心作用,强调Phospho-Ser1981抗体在检测其激活状态中的应用。

背景信息

The ATM (Ataxia-Telangiectasia Mutated) kinase is a critical serine/threonine protein kinase involved in the cellular response to DNA double-strand breaks (DSBs). Upon DNA damage, ATM is activated through autophosphorylation at Serine 1981 (Ser1981), a key regulatory site. This phosphorylation event disrupts ATM’s inactive dimeric form, enabling monomeric ATM to initiate downstream signaling cascades that orchestrate cell cycle arrest, DNA repair, or apoptosis. The phospho-Ser1981 modification serves as a biomarker for ATM activation, reflecting its transition to a catalytically active state.

Phospho-Ser1981-specific antibodies are widely used in research to study ATM’s role in DNA damage response (DDR) pathways. These antibodies allow detection of ATM activation via techniques like Western blotting, immunofluorescence, or immunohistochemistry, helping to map DDR dynamics in contexts such as cancer, neurodegeneration, or radiation biology. For example, they can reveal ATM activation in cells exposed to ionizing radiation, chemotherapeutic agents, or other genotoxic stresses.

Mutations in ATM are linked to Ataxia-Telangiectasia (A-T), a rare autosomal recessive disorder characterized by genomic instability, neurodegeneration, and cancer predisposition. Phospho-Ser1981 antibodies also aid in studying A-T pathogenesis or ATM-deficient cellular models. However, interpretation requires caution, as ATM activation can vary with cell type, damage severity, or experimental conditions. Validating antibody specificity using ATM-knockout controls or phosphatase treatments is essential to ensure reliable results. Overall, these tools are pivotal for dissecting ATM’s functional roles in maintaining genomic stability and disease mechanisms.

客户数据及评论

折叠内容

大包装询价

×