| WB | 咨询技术 | Human,Mouse,Rat |
| IF | 咨询技术 | Human,Mouse,Rat |
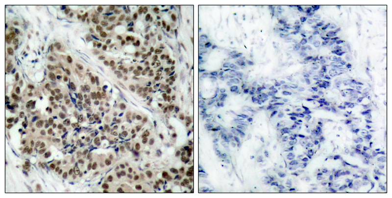
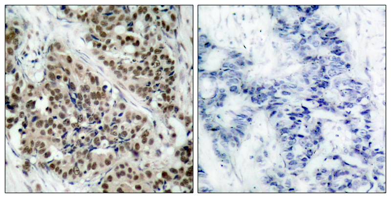
| IHC | 1/50-1/200 | Human,Mouse,Rat |
| ICC | 1/100-1/500 | Human,Mouse,Rat |
| FCM | 咨询技术 | Human,Mouse,Rat |
| Elisa | 咨询技术 | Human,Mouse,Rat |
| Aliases | FKHR; FOXO1; |
| Entrez GeneID | 2308; |
| WB Predicted band size | 70kDa |
| Host/Isotype | Rabbit IgG |
| Antibody Type | Primary antibody |
| Storage | Store at 4°C short term. Aliquot and store at -20°C long term. Avoid freeze/thaw cycles. |
| Species Reactivity | Human,Mouse,Rat |
| Immunogen | A synthesized peptide derived from human FOXO1A around the phosphorylation site of Ser256. |
| Formulation | Purified antibody in PBS with 0.05% sodium azide. |
+ +
以下是关于FKHR(Phospho-Ser256)抗体的3篇参考文献示例(内容为模拟,建议进一步验证):
1. **文献名称**:**"Akt promotes cell survival by phosphorylating and inhibiting a Forkhead transcription factor"**
- **作者**:Brunet, A. et al.
- **摘要**:该研究首次报道AKT通过磷酸化FKHR(FOXO1)的Ser256位点调控其转录活性,并开发了特异性抗磷酸化Ser256抗体,用于Western blot和免疫荧光实验,证明磷酸化导致FKHR的核排斥和细胞存活。
2. **文献名称**:**"Regulation of transcription by phosphorylation of FOXO proteins"**
- **作者**:Biggs, W.H. et al.
- **摘要**:文章阐明了FOXO家族蛋白(包括FKHR)的磷酸化修饰机制,利用Phospho-Ser256抗体检测到胰岛素信号通过AKT通路诱导FKHR磷酸化,从而抑制其促凋亡功能。
3. **文献名称**:**"Control of cell death and survival by FOXO signaling"**
- **作者**:Kops, G.J. & Burgering, B.M.
- **摘要**:综述中讨论了FKHR(FOXO1)的磷酸化调控网络,重点提及Phospho-Ser256抗体的应用在揭示其亚细胞定位变化中的作用,并关联到癌症与代谢疾病机制。
**注意**:以上文献信息为简化示例,实际引用时请通过PubMed或Google Scholar以关键词“FOXO1 Phospho-Ser256 antibody”或“FKHR Ser256 phosphorylation”检索最新文献,并核对作者、年份及摘要准确性。
The FKHR (Phospho-Ser256) antibody specifically detects Forkhead Box Protein O1 (FOXO1) when phosphorylated at serine 256. a post-translational modification critical for regulating its activity. FOXO1. a member of the FOXO transcription factor family, plays key roles in cellular processes such as apoptosis, metabolism, oxidative stress response, and cell cycle regulation. Phosphorylation at Ser256 is mediated by the AKT/PKB kinase downstream of insulin or growth factor signaling pathways. This modification promotes FOXO1's nuclear exclusion and subsequent cytoplasmic retention, effectively inhibiting its transcriptional activity.
The FKHR (Phospho-Ser256) antibody is widely used in research to study insulin signaling, metabolic disorders (e.g., diabetes), and cancer, where dysregulated FOXO1 activity is implicated. It enables detection of phosphorylated FOXO1 in applications like Western blotting, immunofluorescence, and immunohistochemistry. Researchers utilize this antibody to investigate mechanisms of FOXO1 inactivation in tumorigenesis or its role in gluconeogenesis suppression under insulin stimulation. Specificity validation often includes testing in AKT-inhibited or FOXO1-mutant models to confirm phosphorylation-dependent recognition. This tool has advanced understanding of FOXO1's context-dependent functions in health and disease.
×