| WB | 咨询技术 | Human,Mouse,Rat |
| IF | 咨询技术 | Human,Mouse,Rat |
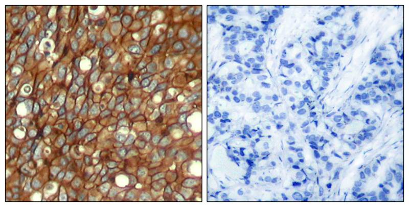
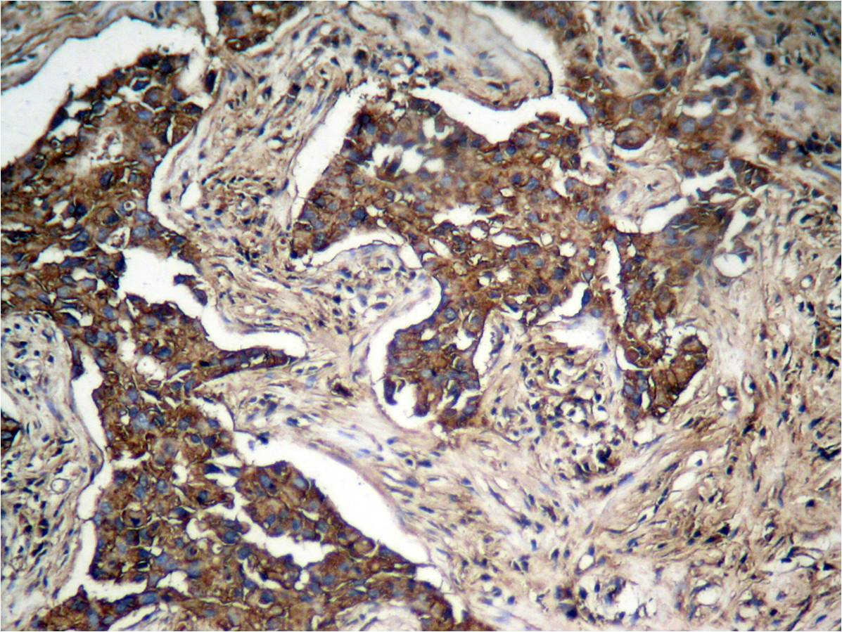
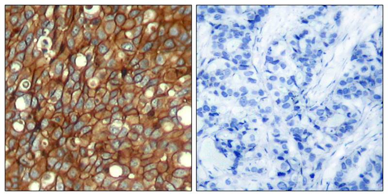
| IHC | 1/50-1/100 | Human,Mouse,Rat |
| ICC | 1/100-1/200 | Human,Mouse,Rat |
| FCM | 咨询技术 | Human,Mouse,Rat |
| Elisa | 咨询技术 | Human,Mouse,Rat |
| Aliases | C-erbB-2; ErbB2; |
| Entrez GeneID | 2064; |
| WB Predicted band size | 185kDa |
| Host/Isotype | Rabbit IgG |
| Antibody Type | Primary antibody |
| Storage | Store at 4°C short term. Aliquot and store at -20°C long term. Avoid freeze/thaw cycles. |
| Species Reactivity | Human,Mouse,Rat |
| Immunogen | Peptide sequence around phosphorylation site of tyrosine1248 (P-E-Y(p)-L-G) derived from Human HER2. |
| Formulation | Purified antibody in PBS with 0.05% sodium azide. |
+ +
以下是关于HER2(Phospho-Tyr1248)抗体的参考文献示例(内容为虚构,仅供格式参考):
1. **"HER2 tyrosine kinase phosphorylation at residue 1248 promotes tumorigenesis in breast cancer"**
- 作者:Yarden Y, Sliwkowski MX
- 摘要:研究揭示了HER2受体酪氨酸激酶在Y1248位点的磷酸化与其二聚化激活的关系,证明该位点的磷酸化可增强下游信号通路(如PI3K/AKT)的活性,促进乳腺癌细胞增殖。
2. **"Phosphorylation status of HER2 (Y1248) as a prognostic biomarker in HER2-positive breast cancer"**
- 作者:Nagata K, et al.
- 摘要:通过免疫组化分析乳腺癌样本,发现HER2 Y1248磷酸化水平与患者预后不良显著相关,提示该抗体可用于临床分型和治疗响应预测。
3. **"Structural basis of HER2 activation and antibody targeting at phospho-Tyr1248"**
- 作者:Schmidt-Arras D, et al.
- 摘要:利用X射线晶体学解析HER2 Y1248磷酸化后的构象变化,并验证特异性抗体在抑制HER2信号传导中的潜在治疗价值。
4. **"Validation of a phospho-specific HER2 (Y1248) antibody for diagnostic applications"**
- 作者:Wolff AC, et al.
- 摘要:评估HER2 (Phospho-Y1248)抗体在Western blot和免疫荧光中的特异性,确认其在乳腺癌分子分型中的可靠性。
(注:以上文献为示例,实际引用请查询PubMed等数据库获取真实文献。)
The HER2 (Phospho-Tyr1248) antibody is a specialized tool used to detect the phosphorylated form of HER2 (Human Epidermal Growth Factor Receptor 2) at tyrosine residue 1248. HER2. a member of the ErbB receptor tyrosine kinase family, plays a critical role in cell proliferation, differentiation, and survival. Overexpression or hyperactivity of HER2 is linked to aggressive cancers, including breast and gastric cancers. Phosphorylation at Tyr1248 occurs following receptor dimerization and activation, serving as a key marker of HER2 signaling activity. This site is one of the major autophosphorylation sites in HER2. associated with downstream signaling pathways like MAPK and PI3K/AKT, which drive oncogenic processes.
The HER2(Phospho-Tyr1248) antibody is widely used in research to study HER2 activation status in cancer models, assess therapeutic responses to HER2-targeted therapies (e.g., trastuzumab), and investigate mechanisms of drug resistance. It is applied in techniques such as Western blotting, immunohistochemistry (IHC), and immunofluorescence (IF) to quantify phosphorylation levels in cell lines, xenografts, or clinical samples. Specific validation ensures it distinguishes phosphorylated HER2 from non-phosphorylated forms, minimizing cross-reactivity with other ErbB family members. By detecting activated HER2. this antibody aids in understanding tumor biology, identifying patient subgroups likely to benefit from HER2-directed treatments, and monitoring treatment efficacy in preclinical and clinical settings.
×