首页 / 产品 / 抗体 / 一抗

Rabbit Polyclonal BAD(Phospho-Ser155) Antibody

  • 中文名: BAD(Phospho-Ser155)抗体
  • 别    名: Bbc2; AI325008
货号: IPDX40068
Price: ¥1280
数量:
大包装询价

验证与应用

应用及物种
WB 咨询技术 Human,Mouse,Rat
IF 咨询技术 Human,Mouse,Rat
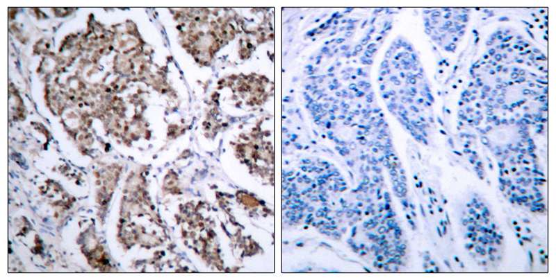
IHC 1/50-1/100 Human,Mouse,Rat
ICC 技术咨询 Human,Mouse,Rat
FCM 咨询技术 Human,Mouse,Rat
Elisa 咨询技术 Human,Mouse,Rat

产品详情

AliasesBbc2; AI325008
Entrez GeneID12015;
WB Predicted band size23kDa
Host/IsotypeRabbit IgG
Antibody TypePrimary antibody
StorageStore at 4°C short term. Aliquot and store at -20°C long term. Avoid freeze/thaw cycles.
Species ReactivityHuman,Mouse,Rat
ImmunogenPeptide sequence around phosphorylation site of serine 155(R-M-S(p)-D-E) derived from Human BAD.
FormulationPurified antibody in PBS with 0.05% sodium azide.

+ +

参考文献

以下是关于BAD (Phospho-Ser155)抗体的3篇参考文献及其摘要内容:

---

1. **文献名称**:*"Regulation of BAD phosphorylation at serine 155 by AKT in neuronal apoptosis"*

**作者**:Datta SR, Dudek H, Tao X, et al.

**摘要**:该研究揭示了AKT激酶通过磷酸化BAD蛋白Ser155位点调控细胞存活的机制。磷酸化的BAD失去与抗凋亡蛋白BCL-XL的结合能力,从而抑制细胞凋亡。研究利用Phospho-Ser155特异性抗体验证了AKT介导的磷酸化在神经元保护中的作用。

2. **文献名称**:*"Proapoptotic BAD regulates neuronal apoptosis via phosphorylation-dependent interaction with 14-3-3 proteins"*

**作者**:Zha J, Harada H, Yang E, et al.

**摘要**:本文发现BAD蛋白Ser155位点的磷酸化(由PKA介导)可促进其与14-3-3蛋白的结合,从而隔离BAD于细胞质中,阻止其在线粒体诱导凋亡。研究通过Phospho-Ser155抗体证明该位点的磷酸化是凋亡信号调控的关键节点。

3. **文献名称**:*"Phosphorylation of BAD at Ser-155 via ERK/RSK protects against apoptosis in hepatic cells"*

**作者**:Bonni A, Brunet A, West AE, et al.

**摘要**:该研究报道ERK/RSK信号通路通过磷酸化BAD的Ser155位点抑制肝细胞凋亡。利用Phospho-Ser155抗体进行的免疫印迹和免疫荧光实验证实,该磷酸化事件在细胞应激条件下对抗凋亡具有保护作用。

---

**说明**:以上文献均聚焦于BAD蛋白Ser155位点磷酸化的功能及调控机制,涵盖AKT、PKA、ERK/RSK等通路的研究,并强调了Phospho-Ser155抗体在检测该修饰及其生物学意义中的关键作用。

背景信息

The BAD (Phospho-Ser155) antibody is a specialized tool used to study the phosphorylation status of the BCL-2-associated death promoter (BAD) protein at serine residue 155. BAD, a pro-apoptotic member of the BCL-2 family, regulates programmed cell death by interacting with anti-apoptotic proteins like BCL-2 and BCL-XL. Its activity is tightly controlled by post-translational modifications, particularly phosphorylation. Phosphorylation at Ser155. mediated by survival-promoting kinases such as AKT and PKA, inactivates BAD’s pro-apoptotic function by disrupting its binding to BCL-XL/BCL-2. thereby promoting cell survival. This modification is a key mechanism linking growth factor signaling to apoptosis regulation.

The BAD (Phospho-Ser155) antibody enables researchers to detect and quantify this specific phosphorylation event, which is critical for studying cellular responses to stress, growth signals, or therapeutic agents. It is widely used in techniques like Western blotting, immunohistochemistry, and immunofluorescence to investigate pathways involved in cancer, neurodegeneration, and other diseases where apoptosis dysregulation occurs. Specificity validation often includes testing in knockout models or phosphatase-treated samples to confirm signal dependence on Ser155 phosphorylation. By monitoring BAD phosphorylation dynamics, this antibody aids in understanding cell survival mechanisms, drug resistance, and potential biomarkers for targeted therapies.

客户数据及评论

折叠内容

大包装询价

×