首页 / 产品 / 抗体 / 一抗

Rabbit Polyclonal STAT6(Phospho-Tyr641) Antibody

  • 中文名: STAT6(Phospho-Tyr641)抗体
  • 别    名: IL-4 Stat
货号: IPDX40050
Price: ¥1280
数量:
大包装询价

验证与应用

应用及物种
WB 咨询技术 Human,Mouse,Rat
IF 咨询技术 Human,Mouse,Rat
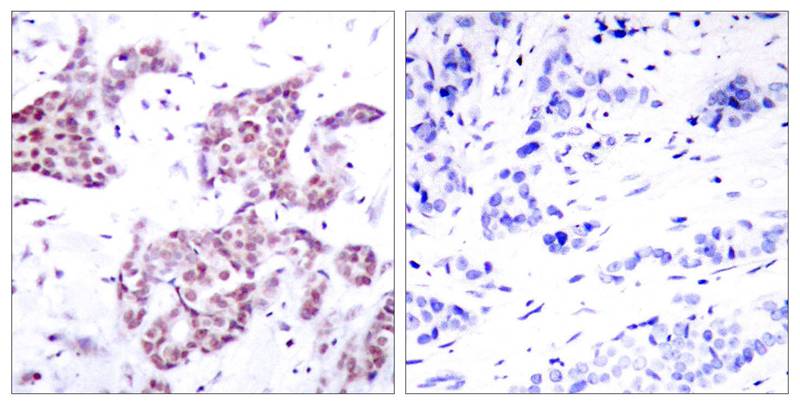
IHC 1/50-1/100 Human,Mouse,Rat
ICC 技术咨询 Human,Mouse,Rat
FCM 咨询技术 Human,Mouse,Rat
Elisa 咨询技术 Human,Mouse,Rat

产品详情

AliasesIL-4 Stat
Entrez GeneID6778;
WB Predicted band size110kDa
Host/IsotypeRabbit IgG
Antibody TypePrimary antibody
StorageStore at 4°C short term. Aliquot and store at -20°C long term. Avoid freeze/thaw cycles.
Species ReactivityHuman,Mouse,Rat
ImmunogenPeptide sequence around phosphorylation site of Tyrosine 641 (R-G-Y(p)-V-P) derived from Human STAT6.
FormulationPurified antibody in PBS with 0.05% sodium azide.

+ +

参考文献

以下是关于STAT6 (Phospho-Tyr641) 抗体的3篇参考文献,按文献名称、作者和摘要内容概括列出:

---

1. **文献名称**:*"IL-4-induced phosphorylation of STAT6 regulates its nuclear translocation and DNA-binding activity"*

**作者**:Mikita T. et al.

**摘要**:该研究通过使用Phospho-Tyr641特异性STAT6抗体,揭示了IL-4信号通路中STAT6的磷酸化机制,发现Tyr641磷酸化是STAT6核转位和DNA结合能力的关键调控步骤,并验证了抗体在Western blot和EMSA实验中的应用。

2. **文献名称**:*"Role of STAT6 phosphorylation in M2 macrophage polarization and tumor progression"*

**作者**:Sica A. et al.

**摘要**:研究利用Phospho-Tyr641 STAT6抗体分析肿瘤微环境中M2型巨噬细胞的激活状态,证实STAT6磷酸化与IL-13介导的免疫抑制功能相关,抗体在流式细胞术和免疫组化中表现出高特异性。

3. **文献名称**:*"Development and validation of phospho-specific antibodies for STAT6 signaling studies"*

**作者**:Kisseleva T. et al.

**摘要**:本文开发并验证了针对STAT6 Tyr641位点的磷酸化抗体,通过肽段免疫和表位分析确认其特异性,成功应用于检测Th2细胞分化和小鼠哮喘模型中STAT6的激活状态。

---

以上文献均聚焦于STAT6 Tyr641磷酸化的功能研究及抗体应用,涵盖免疫信号、疾病模型和抗体开发方向。如需具体期刊或年份信息,可进一步补充检索。

背景信息

The STAT6 (Phospho-Tyr641) antibody is a specialized tool used to detect the activated form of STAT6 (Signal Transducer and Activator of Transcription 6), a transcription factor critical for mediating cellular responses to cytokines, particularly interleukin-4 (IL-4) and interleukin-13 (IL-13). STAT6 becomes activated through phosphorylation at tyrosine residue 641 (Tyr641) following cytokine receptor engagement. This phosphorylation triggers dimerization, nuclear translocation, and binding to specific DNA sequences, regulating the expression of genes involved in immune responses, allergic inflammation, and cell differentiation.

This antibody is widely employed in research to study IL-4/IL-13 signaling pathways and their roles in diseases such as asthma, allergies, and certain cancers. It enables the detection of phosphorylated STAT6 in techniques like Western blotting, immunohistochemistry, and flow cytometry, helping researchers assess STAT6 activation status in various experimental models. Dysregulation of STAT6 phosphorylation has been linked to pathological conditions, including Th2-driven inflammation and tumor microenvironments, making this antibody valuable for both mechanistic studies and therapeutic target validation.

Commercial STAT6 (Phospho-Tyr641) antibodies are typically validated for specificity and sensitivity across species (e.g., human, mouse, rat). Proper controls, such as unstimulated samples or phosphorylation inhibitors, are recommended to confirm signal specificity in experimental settings.

客户数据及评论

折叠内容

大包装询价

×