首页 / 产品 / 抗体 / 一抗

Rabbit Polyclonal STAT3(Phospho-Tyr705) Antibody

  • 中文名: STAT3(Phospho-Tyr705)抗体
  • 别    名: APRF; Acute-phase response factor; HIES
货号: IPDX40045
Price: ¥1280
数量:
大包装询价

验证与应用

应用及物种
WB 咨询技术 Human,Mouse,Rat
IF 咨询技术 Human,Mouse,Rat
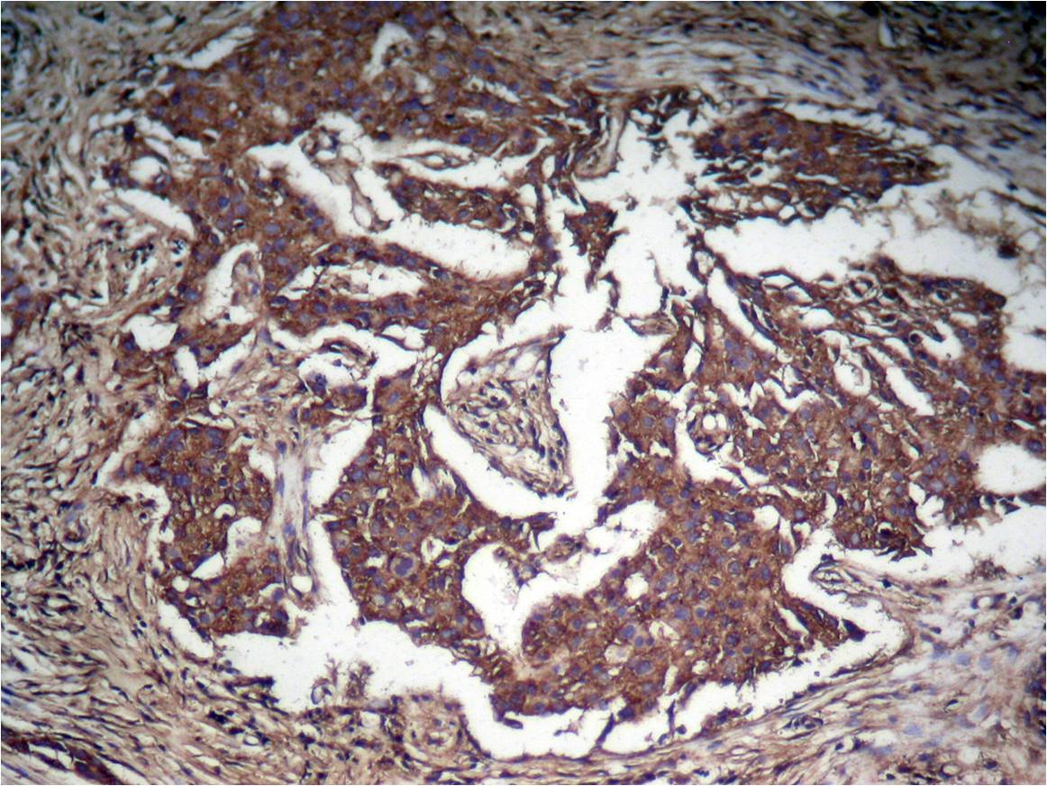
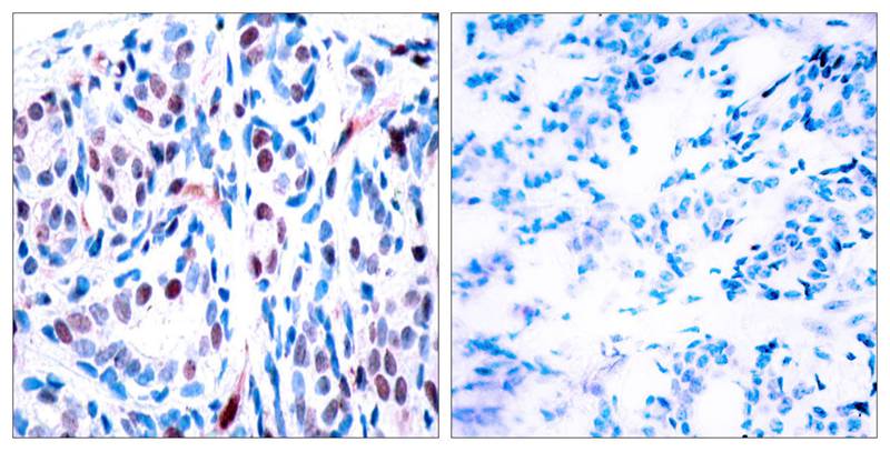
IHC 1/50-1/100 Human,Mouse,Rat
ICC 1/100-1/200 Human,Mouse,Rat
FCM 咨询技术 Human,Mouse,Rat
Elisa 咨询技术 Human,Mouse,Rat

产品详情

AliasesAPRF; Acute-phase response factor; HIES
Entrez GeneID6774;
WB Predicted band size88kDa
Host/IsotypeRabbit IgG
Antibody TypePrimary antibody
StorageStore at 4°C short term. Aliquot and store at -20°C long term. Avoid freeze/thaw cycles.
Species ReactivityHuman,Mouse,Rat
ImmunogenPeptide sequence around phosphorylation site of tyrosine 705 (A-P-Y(p)-L-K) derived from Human STAT3.
FormulationPurified antibody in PBS with 0.05% sodium azide.

+ +

参考文献

以下是3篇关于STAT3 (Phospho-Tyr705)抗体的参考文献,按研究领域和抗体应用场景分类整理:

---

### 1. **STAT3在肿瘤中的组成型激活机制**

**文献名称**:*"Activation of STAT3 by receptor tyrosine kinases and cytokines regulates survival in human non-small cell carcinoma cells"*

**作者**:Yu, H., et al. (Cancer Cell, 2004)

**摘要**:研究STAT3在非小细胞肺癌中的持续磷酸化(Tyr705)现象,通过Western Blot和免疫荧光使用Phospho-Tyr705抗体,证实其激活与肿瘤细胞存活和抗凋亡相关,提示靶向STAT3的治疗潜力。

---

### 2. **STAT3信号抑制剂的开发验证**

**文献名称**:*"Inhibition of constitutive signal transducer and activator of transcription 3 activation by novel platinum complexes with potent antitumor activity"*

**作者**:Turkson, J., et al. (Mol Cancer Ther, 2004)

**摘要**:利用Phospho-Tyr705抗体评估铂类化合物对STAT3磷酸化的抑制作用,通过免疫沉淀和Western Blot证明抑制剂可阻断STAT3二聚化及下游基因表达,为癌症治疗提供新策略。

---

### 3. **STAT3在肿瘤免疫微环境中的作用**

**文献名称**:*"The role of STAT3 in glioblastoma-mediated immunosuppression"*

**作者**:Heimberger, A.B., et al. (J Neuroimmunol, 2005)

**摘要**:通过免疫组化(IHC)和流式细胞术分析胶质母细胞瘤中STAT3的Tyr705磷酸化状态,揭示其介导免疫抑制的机制,并发现抑制STAT3可增强抗肿瘤免疫应答。

---

### 可选补充(经典机制研究)

**文献名称**:*"STATs and gene regulation"*

**作者**:Darnell, J.E. (Science, 1997)

**摘要**:早期综述阐明STAT蛋白(包括STAT3)的磷酸化激活机制,指出Tyr705磷酸化是STAT3二聚化及DNA结合的关键步骤,为后续抗体开发奠定理论基础。

---

**说明**:以上文献均涉及Phospho-Tyr705抗体的具体应用(如Western Blot、IHC、流式检测),并覆盖肿瘤机制、药物开发和免疫微环境等研究方向。如需全文链接或更多应用场景(如炎症研究),可进一步补充。

背景信息

The STAT3 (Phospho-Tyr705) antibody is a critical tool for studying the activation status of Signal Transducer and Activator of Transcription 3 (STAT3), a transcription factor involved in numerous cellular processes. STAT3 becomes activated through tyrosine phosphorylation at residue 705 (Tyr705), typically triggered by cytokines, growth factors (e.g., IL-6. EGF), or oncogenic signals via JAK/STAT or receptor tyrosine kinase pathways. Phosphorylation induces STAT3 dimerization, nuclear translocation, and regulation of target genes linked to cell proliferation, survival, differentiation, and immune responses.

This antibody specifically recognizes STAT3 when phosphorylated at Tyr705. enabling researchers to distinguish active (phosphorylated) STAT3 from its inactive form. It is widely used in techniques like Western blotting, immunoprecipitation, and immunofluorescence to investigate STAT3 activation dynamics in cancer, inflammation, autoimmune diseases, and metabolic disorders. Dysregulated STAT3 signaling, marked by persistent Tyr705 phosphorylation, is implicated in tumor progression, drug resistance, and chronic inflammatory conditions, making this antibody valuable for both mechanistic studies and therapeutic target validation. Commercial versions are validated for specificity across human, mouse, and rat samples, with applications in preclinical and translational research.

客户数据及评论

折叠内容

大包装询价

×