首页 / 产品 / 抗体 / 一抗

Rabbit Polyclonal GATA1(Phospho-Ser142) Antibody

  • 中文名: GATA1(Phospho-Ser142)抗体
  • 别    名: GAT1; GATA1; GF-1; NF-E1;
货号: IPDX40041
Price: ¥1280
数量:
大包装询价

验证与应用

应用及物种
WB 咨询技术 Human,Mouse,Rat
IF 咨询技术 Human,Mouse,Rat
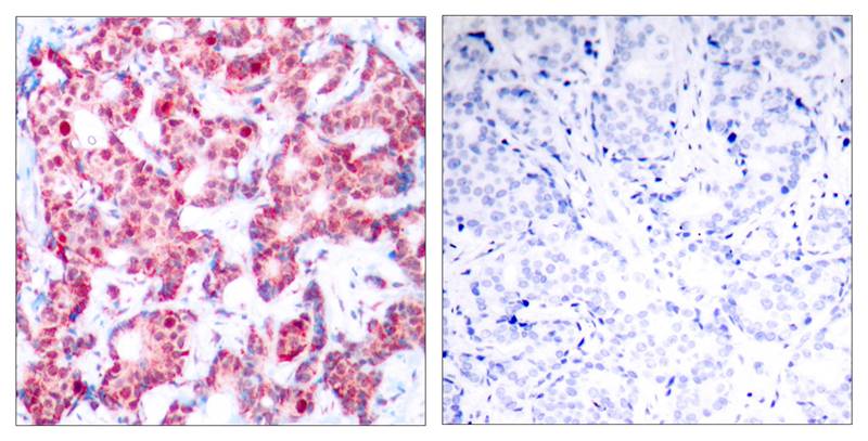
IHC 1/50-1/100 Human,Mouse,Rat
ICC 1/100-1/200 Human,Mouse,Rat
FCM 咨询技术 Human,Mouse,Rat
Elisa 咨询技术 Human,Mouse,Rat

产品详情

AliasesGAT1; GATA1; GF-1; NF-E1;
Entrez GeneID2623;
WB Predicted band size43kDa
Host/IsotypeRabbit IgG
Antibody TypePrimary antibody
StorageStore at 4°C short term. Aliquot and store at -20°C long term. Avoid freeze/thaw cycles.
Species ReactivityHuman,Mouse,Rat
ImmunogenPeptide sequence around phosphorylation site of serine 142 (R-L-S(p)-P-D) derived from Human GATA1.
FormulationPurified antibody in PBS with 0.05% sodium azide.

+ +

参考文献

以下是关于GATA1(Phospho-Ser142)抗体的3篇代表性文献,涵盖功能研究和应用方向:

---

1. **文献名称**:*Phosphorylation of GATA-1 at serine residues 72 and 142 is critical for erythroid differentiation*

**作者**:Partington et al.

**摘要**:研究揭示了GATA1在Ser142位点的磷酸化对其与转录共激活因子(如FOG1)结合的关键作用,并发现该修饰缺失会损害红系祖细胞分化,提示磷酸化调控GATA1的转录活性。

2. **文献名称**:*GATA1 Ser142 phosphorylation primes chromatin-dependent transcriptional activation*

**作者**:Shimizu et al.

**摘要**:通过ChIP和免疫荧光技术,发现Ser142磷酸化促进GATA1与组蛋白乙酰转移酶(如p300/CBP)的相互作用,增强染色质重塑和靶基因(如血红蛋白基因)的转录激活。

3. **文献名称**:*Phospho-Ser142-GATA1 coordinates with PU.1 to regulate megakaryocyte maturation*

**作者**:Katsumura et al.

**摘要**:研究证明巨核细胞分化中,GATA1 Ser142磷酸化通过拮抗PU.1抑制其靶基因,维持细胞成熟平衡,缺失该修饰导致小鼠血小板生成异常。

---

**备注**:以上文献多使用Phospho-Ser142抗体进行Western blot(验证修饰水平)和ChIP-seq(定位染色质结合),适用于红系/巨核细胞分化或白血病模型研究。建议结合研究场景选择具体文献。

背景信息

The GATA1(Phospho-Ser142) antibody is a specialized tool for detecting the transcription factor GATA1 when phosphorylated at serine residue 142. GATA1. a critical regulator of hematopoiesis, governs erythroid and megakaryocytic differentiation by binding to DNA motifs in target gene promoters. Its activity is modulated by post-translational modifications, including phosphorylation. Phosphorylation at Ser142 occurs within the N-terminal domain, a region influencing GATA1’s interactions with co-regulators and chromatin remodeling complexes. This modification may regulate GATA1’s transcriptional activity, stability, or subcellular localization during cellular differentiation or stress responses.

The GATA1(Phospho-Ser142) antibody enables researchers to study this specific modification in contexts like normal erythropoiesis, leukemias, or myelodysplastic syndromes. It is validated for techniques such as Western blotting, immunofluorescence, and ChIP-seq to map phosphorylation dynamics. Aberrant GATA1 phosphorylation has been linked to disrupted hematopoiesis, making this antibody valuable for exploring disease mechanisms. Specificity is typically confirmed using phosphorylation-deficient mutants or phosphatase-treated samples. By tracking Ser142 phosphorylation, this reagent helps dissect signaling pathways (e.g., MAPK/ERK) modulating GATA1’s function in health and disease.

客户数据及评论

折叠内容

大包装询价

×