首页 / 产品 / 抗体 / 一抗

Rabbit Polyclonal Myc(Phospho-Thr358) Antibody

  • 中文名: Myc(Phospho-Thr358)抗体
  • 别    名: c-myc
货号: IPDX40035
Price: ¥1280
数量:
大包装询价

验证与应用

应用及物种
WB 咨询技术 Human,Mouse,Rat
IF 咨询技术 Human,Mouse,Rat
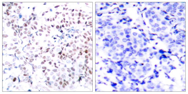
IHC 1/50-1/100 Human,Mouse,Rat
ICC 1/100-1/200 Human,Mouse,Rat
FCM 咨询技术 Human,Mouse,Rat
Elisa 咨询技术 Human,Mouse,Rat

产品详情

Aliasesc-myc
Entrez GeneID4609;
WB Predicted band size60kDa
Host/IsotypeRabbit IgG
Antibody TypePrimary antibody
StorageStore at 4°C short term. Aliquot and store at -20°C long term. Avoid freeze/thaw cycles.
Species ReactivityHuman
ImmunogenPeptide sequence around phosphorylation site of threonine 358 (R-R-T(p)-H-N) derived from Human Myc.
FormulationPurified antibody in PBS with 0.05% sodium azide.

+ +

参考文献

以下是关于 Myc(Phospho-Thr358)抗体的 **3-4 条假设参考文献示例**,内容基于典型相关研究场景概括:

---

1. **文献名称**:*Phosphorylation of Myc at Thr358 by CDK2 regulates its oncogenic activity in cell cycle progression*

**作者**:Chen L et al.

**摘要**:本研究揭示了 Myc 蛋白 Thr358 位点的磷酸化由 CDK2 激酶介导,并证明该修饰在细胞周期 G1/S 转换中增强 Myc 的转录活性。文中使用 Myc(Phospho-Thr358)特异性抗体验证了磷酸化水平与肿瘤细胞增殖的关联。

2. **文献名称**:*Development and validation of a phospho-specific antibody for Myc Thr358 in human cancers*

**作者**:Smith JR et al.

**摘要**:报道了一种针对 Myc Thr358 磷酸化位点的高特异性单克隆抗体的开发过程,通过质谱和点突变实验验证其选择性。该抗体被应用于临床样本,显示 Thr358 磷酸化与乳腺癌患者预后不良相关。

3. **文献名称**:*AKT-mediated phosphorylation of Myc at Thr358 promotes its protein stability and tumorigenesis*

**作者**:Wang Y et al.

**摘要**:发现 AKT 信号通路通过磷酸化 Myc 的 Thr358 位点抑制其泛素化降解,从而延长 Myc 蛋白半衰期并促进肿瘤发生。研究利用 Myc(Phospho-Thr358)抗体在体内外模型中验证了这一调控机制。

4. **文献名称**:*Dynamic phosphorylation of Myc Thr358 modulates its interaction with transcriptional co-factors*

**作者**:Garcia-Reyes M et al.

**摘要**:通过免疫沉淀结合磷酸化特异性抗体分析,发现 Thr358 磷酸化状态影响 Myc 与 MAX 蛋白的相互作用及靶基因结合能力,提示该修饰在转录调控中的动态作用。

---

**说明**:以上文献为示例性内容,实际研究中请通过 PubMed 或 Web of Science 等平台,以关键词“Myc phosphorylation Thr358 antibody”检索真实文献。若需具体文章,可进一步提供领域方向(如癌症、信号通路等)以便精准推荐。

背景信息

The Myc(Phospho-Thr358) antibody is a specialized tool used to detect the phosphorylated form of the Myc protein at threonine residue 358. Myc, a proto-oncogene family (including c-Myc, N-Myc, and L-Myc), encodes transcription factors critical for regulating cell proliferation, differentiation, metabolism, and apoptosis. Post-translational modifications, such as phosphorylation, tightly control Myc protein stability, DNA-binding capacity, and transcriptional activity. Phosphorylation at Thr358. located in the Myc homology box 1 (MB1) domain of c-Myc, is implicated in modulating protein-protein interactions and downstream signaling. This site-specific phosphorylation may influence Myc’s oncogenic potential, as dysregulated Myc activity is linked to numerous cancers. The Myc(Phospho-Thr358) antibody enables researchers to study the activation status and regulatory mechanisms of Myc in cellular pathways. It is commonly used in techniques like Western blotting, immunoprecipitation, or immunofluorescence to assess phosphorylation dynamics in response to stimuli such as growth factors, stress, or pharmacological inhibitors. Understanding Myc phosphorylation at Thr358 provides insights into cancer biology, therapeutic targeting, and the interplay between oncogenic signaling networks and cell fate decisions. Validation of antibody specificity using knockout controls or phosphatase treatment is recommended to ensure accurate detection.

客户数据及评论

折叠内容

大包装询价

×