首页 / 产品 / 抗体 / 一抗

Rabbit Polyclonal Myc(Phospho-Thr58) Antibody

  • 中文名: Myc(Phospho-Thr58)抗体
  • 别    名: c-myc
货号: IPDX40034
Price: ¥1280
数量:
大包装询价

验证与应用

应用及物种
WB 咨询技术 Human,Mouse,Rat
IF 咨询技术 Human,Mouse,Rat
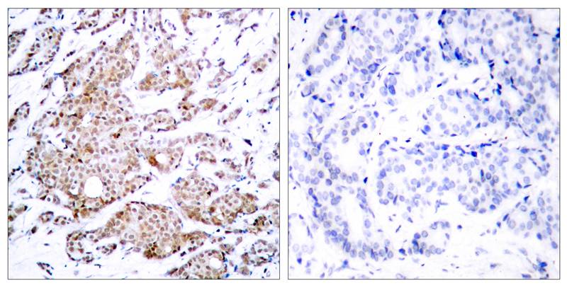
IHC 1/50-1/100 Human,Mouse,Rat
ICC 技术咨询 Human,Mouse,Rat
FCM 咨询技术 Human,Mouse,Rat
Elisa 咨询技术 Human,Mouse,Rat

产品详情

Aliasesc-myc
Entrez GeneID4609;
WB Predicted band size60kDa
Host/IsotypeRabbit IgG
Antibody TypePrimary antibody
StorageStore at 4°C short term. Aliquot and store at -20°C long term. Avoid freeze/thaw cycles.
Species ReactivityHuman,Mouse,Rat
ImmunogenPeptide sequence around phosphorylation site of threonine 58 (L-P-T(p)-P-P) derived from Human Myc.
FormulationPurified antibody in PBS with 0.05% sodium azide.

+ +

参考文献

以下是关于 Myc(Phospho-Thr58) 抗体的3篇参考文献及其摘要内容的概括:

---

1. **文献名称**:*"Phosphorylation of c-Myc on Threonine 58 Promotes Its Degradation via the Ubiquitin-Proteasome Pathway"*

**作者**:Sears, R. et al.

**摘要**:该研究揭示了c-Myc蛋白在Thr58位点的磷酸化通过促进其泛素化修饰和蛋白酶体降解,调控Myc蛋白稳定性的分子机制。研究使用特异性抗Phospho-Thr58抗体验证了这一修饰在细胞周期调控和肿瘤发生中的关键作用。

---

2. **文献名称**:*"Post-translational modifications of c-Myc: Cross-talk between phosphorylation and ubiquitination"*

**作者**:Hann, S.R.

**摘要**:这篇综述系统总结了c-Myc蛋白的翻译后修饰网络,重点讨论了Thr58磷酸化与邻近位点Ser62磷酸化的协同作用,以及其如何影响Myc的稳定性与致癌活性。文中强调了特异性磷酸化抗体在检测动态修饰中的实验应用。

---

3. **文献名称**:*"Phosphorylation-Dependent Regulation of c-Myc Protein Stability by the AGC Kinase Family"*

**作者**:Farrell, A.S. et al.

**摘要**:研究发现AGC激酶家族成员通过磷酸化Myc蛋白的Thr58位点,促进其与E3泛素连接酶的相互作用,从而调控Myc的降解。研究利用Phospho-Thr58特异性抗体在多种癌症模型中验证了该修饰的病理相关性。

---

这些文献均通过Phospho-Thr58抗体揭示了该位点磷酸化在Myc蛋白功能调控中的重要性,涉及癌症、蛋白稳定性及信号通路等领域。

背景信息

The Myc (Phospho-Thr58) antibody is designed to detect Myc protein phosphorylated at threonine 58 (Thr58), a critical post-translational modification site in the Myc family of transcription factors. Myc proteins (c-Myc, N-Myc, and L-Myc) regulate cell proliferation, differentiation, apoptosis, and metabolism by controlling the expression of target genes. Phosphorylation at Thr58. located within the Myc N-terminal transactivation domain, is a key regulatory mechanism influencing Myc protein stability and activity. This modification is mediated by glycogen synthase kinase 3 beta (GSK3β) following priming phosphorylation at Ser62. Thr58 phosphorylation promotes Myc ubiquitination and subsequent proteasomal degradation via the SCFFbw7 E3 ubiquitin ligase complex, thereby modulating Myc's oncogenic potential. Dysregulation of Thr58 phosphorylation is implicated in Myc-driven tumorigenesis, as stabilizing mutations at this site (e.g., Thr58→Ile mutations) are frequently observed in cancers. The Myc (Phospho-Thr58) antibody is widely used in research to investigate Myc phosphorylation dynamics, protein turnover mechanisms, and signaling pathways involving GSK3β or PI3K/AKT. It serves as a tool to study Myc's role in cancer biology, stem cell regulation, and therapeutic targeting. Specificity is typically validated using phosphorylation-deficient mutants or phosphatase-treated lysates.

客户数据及评论

折叠内容

大包装询价

×