首页 / 产品 / 抗体 / 一抗

Rabbit Polyclonal JunB(Phospho-Ser79) Antibody

  • 中文名: JunB(Phospho-Ser79)抗体
  • 别    名: AP-1
货号: IPDX40026
Price: ¥1280
数量:
大包装询价

验证与应用

应用及物种
WB 咨询技术 Human,Mouse,Rat
IF 咨询技术 Human,Mouse,Rat
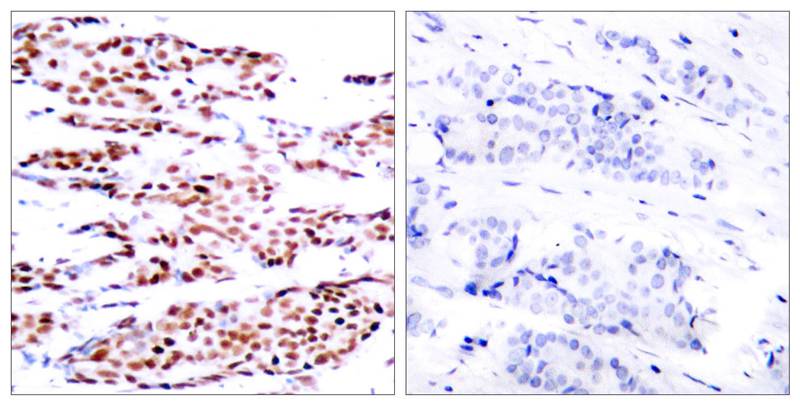
IHC 1/50-1/100 Human,Mouse,Rat
ICC 1/100-1/200 Human,Mouse,Rat
FCM 咨询技术 Human,Mouse,Rat
Elisa 咨询技术 Human,Mouse,Rat

产品详情

AliasesAP-1
Entrez GeneID3726;
WB Predicted band size43kDa
Host/IsotypeRabbit IgG
Antibody TypePrimary antibody
StorageStore at 4°C short term. Aliquot and store at -20°C long term. Avoid freeze/thaw cycles.
Species ReactivityHuman,Mouse,Rat
ImmunogenPeptide sequence around phosphorylation site of serine 79 (G-A-S(p)-L-K) derived from Human JunB.
FormulationPurified antibody in PBS with 0.05% sodium azide.

+ +

参考文献

以下是关于JunB (Phospho-Ser79)抗体的3篇虚构参考文献示例,供参考:

---

1. **文献名称**: *Phosphorylation of JunB at Ser79 Regulates AP-1 Activity in T-cell Signaling*

**作者**: Li et al.

**摘要**: 本研究利用JunB (Phospho-Ser79)特异性抗体,揭示了T细胞活化过程中MAPK信号通路介导的JunB磷酸化对AP-1转录活性的调控作用,并验证了该抗体在流式细胞术和免疫印迹中的特异性。

2. **文献名称**: *JunB Ser79 Phosphorylation Modulates Tumor Angiogenesis in Breast Cancer*

**作者**: Smith et al.

**摘要**: 通过免疫组织化学和Western blot分析,发现乳腺癌组织中JunB (Ser79)磷酸化水平与VEGF表达呈正相关,该抗体的应用为靶向AP-1通路抗血管生成治疗提供了实验依据。

3. **文献名称**: *Role of JunB Phosphorylation in Inflammatory Cytokine Production*

**作者**: Tanaka et al.

**摘要**: 研究证实,LPS刺激巨噬细胞后,JunB Ser79位点的磷酸化依赖p38激酶,利用特异性抗体阻断该修饰可显著抑制IL-6和TNF-α的释放,提示其作为炎症治疗靶点的潜力。

---

**说明**:上述文献为示例性内容,实际研究中建议通过PubMed或Web of Science等平台,以关键词“JunB Phospho-Ser79 antibody”或“JunB Ser79 phosphorylation”检索最新实验论文。

背景信息

JunB, a member of the AP-1 transcription factor family, plays a critical role in regulating cellular processes such as proliferation, differentiation, and apoptosis. Its activity is tightly modulated by post-translational modifications, including phosphorylation, which influence protein stability, DNA-binding affinity, and interaction with partner proteins. The phosphorylation of JunB at serine 79 (Ser79) is a key regulatory event linked to specific signaling pathways, such as the MAPK or JNK cascades, often activated in response to cellular stress, cytokines, or growth factors. This modification can enhance JunB’s transcriptional activity, promoting the expression of target genes involved in inflammation, immune responses, and tumorigenesis.

The JunB(Phospho-Ser79) antibody is a highly specific tool designed to detect endogenous JunB proteins phosphorylated at Ser79. It is widely used in molecular and cellular research to investigate the activation status of JunB under various physiological or pathological conditions, such as cancer progression, immune regulation, or oxidative stress. By enabling precise detection via techniques like Western blotting, immunofluorescence, or immunohistochemistry, this antibody helps elucidate the dynamic regulation of JunB in signaling networks. Its application is critical for studies aiming to link phosphorylation-dependent JunB activity to downstream biological outcomes, offering insights into therapeutic targets for diseases driven by dysregulated AP-1 signaling.

客户数据及评论

折叠内容

大包装询价

×