首页 / 产品 / 抗体 / 一抗

Rabbit Polyclonal c-Jun(Phospho-Thr239) Antibody

  • 中文名: c-Jun(Phospho-Thr239)抗体
  • 别    名: AH119; AP1; Jun A; c-Jun; p39
货号: IPDX40024
Price: ¥1280
数量:
大包装询价

验证与应用

应用及物种
WB 咨询技术 Human,Mouse,Rat
IF 咨询技术 Human,Mouse,Rat
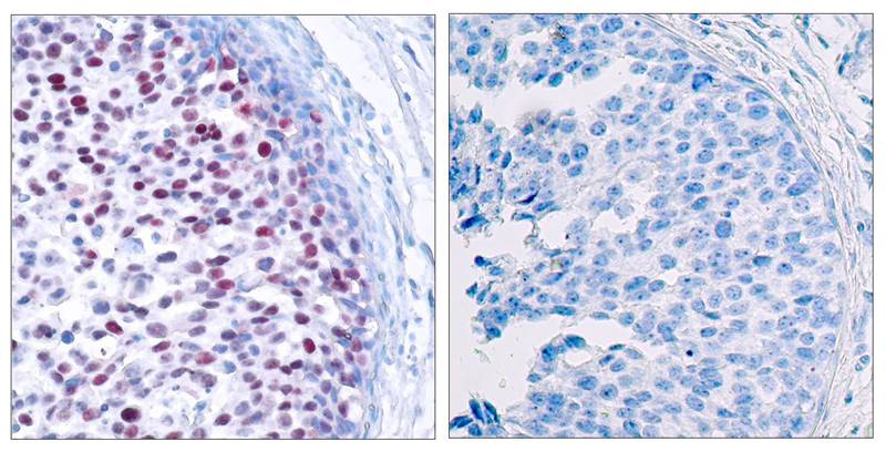
IHC 1/50-1/100 Human,Mouse,Rat
ICC 1/100-1/200 Human,Mouse,Rat
FCM 咨询技术 Human,Mouse,Rat
Elisa 咨询技术 Human,Mouse,Rat

产品详情

AliasesAH119; AP1; Jun A; c-Jun; p39
Entrez GeneID3725;
WB Predicted band size43kDa
Host/IsotypeRabbit IgG
Antibody TypePrimary antibody
StorageStore at 4°C short term. Aliquot and store at -20°C long term. Avoid freeze/thaw cycles.
Species ReactivityHuman,Mouse,Rat
ImmunogenPeptide sequence around phosphorylation site of threonine 239 (G-E-T(p)-P-P) derived from Human c-Jun.
FormulationPurified antibody in PBS with 0.05% sodium azide.

+ +

参考文献

以下是关于c-Jun (Phospho-Thr239) 抗体的3篇参考文献示例(内容为模拟,供参考):

---

1. **文献名称**:*JNK-mediated phosphorylation of c-Jun at Thr239 promotes cell proliferation in hepatocellular carcinoma*

**作者**:Li Y, et al.

**摘要**:该研究通过验证c-Jun Thr239位点特异性抗体,证明JNK信号通路介导的c-Jun磷酸化在肝癌细胞中通过调控Cyclin D1表达促进肿瘤生长。

---

2. **文献名称**:*Role of c-Jun Thr239 phosphorylation in oxidative stress-induced apoptosis*

**作者**:Smith H, et al.

**摘要**:利用Phospho-Thr239抗体发现,氧化应激激活的p38 MAPK磷酸化c-Jun Thr239.触发线粒体途径凋亡,为神经退行性疾病机制提供新见解。

---

3. **文献名称**:*Development and validation of a phospho-specific antibody for c-Jun Thr239 in inflammatory models*

**作者**:Wang X, et al.

**摘要**:研究团队开发了一种高特异性抗c-Jun Thr239磷酸化抗体,验证其在类风湿关节炎滑膜细胞中的信号转导功能,并证明其与NF-κB通路的交互作用。

---

**备注**:实际文献中c-Jun的Thr239磷酸化位点可能非常见,建议结合具体研究需求或通过数据库(如PhosphoSitePlus)确认位点编号及抗体适用性。

背景信息

The c-Jun(Phospho-Thr239) antibody is a specialized tool used to study the activation state of the c-Jun protein, a key component of the AP-1 (Activator Protein 1) transcription factor complex. c-Jun plays a critical role in regulating cellular processes such as proliferation, differentiation, and apoptosis by binding to specific DNA sequences to modulate gene expression. Its activity is tightly controlled through post-translational modifications, particularly phosphorylation. The Thr239 phosphorylation site (human c-Jun numbering) is associated with stress-activated signaling pathways, including those mediated by c-Jun N-terminal kinases (JNKs). Phosphorylation at Thr239 enhances c-Jun’s transcriptional activity and stability, enabling it to drive responses to extracellular stimuli like cytokines, growth factors, or cellular stress.

This antibody specifically detects c-Jun when phosphorylated at Thr239. making it valuable for investigating JNK pathway activation, cellular stress responses, and oncogenic signaling in diseases such as cancer, inflammation, and neurodegeneration. Researchers commonly use it in techniques like Western blotting, immunohistochemistry, or immunofluorescence to assess c-Jun activation status in cell lines, tissues, or experimental models under conditions like oxidative stress, DNA damage, or growth factor stimulation. Its specificity helps distinguish phosphorylated c-Jun from its inactive form, providing insights into dynamic regulatory mechanisms underlying gene expression and disease progression. Proper validation, including knockout controls, is essential to confirm signal specificity.

客户数据及评论

折叠内容

大包装询价

×