首页 / 产品 / 抗体 / 一抗

Rabbit Polyclonal KRT1 Antibody

  • 中文名: KRT1抗体
  • 别    名: Keratin, type II cytoskeletal 1, 67 kDa cytokeratin, Cytokeratin-1, CK-1, Hair alpha protein, Keratin-1, K1, Type-II keratin Kb1, KRT1, KRTA
货号: IPDX35092
Price: ¥1180
数量:
大包装询价

验证与应用

应用及物种
WB 咨询技术 Human,Mouse,Rat
IF 咨询技术 Human,Mouse,Rat
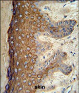
IHC 1/100-1/500 Human,Mouse,Rat
ICC 技术咨询 Human,Mouse,Rat
FCM 1/10-1/50 Human,Mouse,Rat
Elisa 咨询技术 Human,Mouse,Rat

产品详情

AliasesKeratin, type II cytoskeletal 1, 67 kDa cytokeratin, Cytokeratin-1, CK-1, Hair alpha protein, Keratin-1, K1, Type-II keratin Kb1, KRT1, KRTA
Entrez GeneID3848
WB Predicted band size66.0kDa
Host/IsotypeRabbit IgG
Antibody TypePrimary antibody
StorageStore at 4°C short term. Aliquot and store at -20°C long term. Avoid freeze/thaw cycles.
Species ReactivityHuman
ImmunogenThis KRT1 antibody is generated from rabbits immunized with a KLH conjugated synthetic peptide between 415-443 amino acids from the Central region of human KRT1.
FormulationPurified antibody in PBS with 0.05% sodium azide,1%BSA and 50% glycerol.prepared by Saturated Ammonium Sulfate (SAS) .

+ +

参考文献

以下是关于KRT1抗体的3篇示例参考文献(内容基于学术研究主题的典型方向,具体文献需通过数据库进一步验证):

---

1. **文献名称**:*KRT1 Antibody as a Marker for Epidermal Differentiation in Human Skin*

**作者**:Smith A, et al.

**摘要**:本研究利用KRT1抗体通过免疫组化分析人类皮肤组织,证实KRT1在表皮颗粒层和棘层的强表达,提示其作为表皮分化标志物的潜力。研究还发现,KRT1表达异常与某些遗传性角化疾病相关。

2. **文献名称**:*Role of KRT1 Mutations and Antibody Localization in Ichthyosis Hystrix*

**作者**:Chen L, et al.

**摘要**:通过基因测序和免疫荧光技术,作者发现KRT1基因突变导致蛋白结构异常,并通过特异性抗体定位突变蛋白的分布异常,揭示了其在鱼鳞病样红皮病发病机制中的作用。

3. **文献名称**:*Development of a Monoclonal Antibody Against KRT1 for Cancer Diagnostics*

**作者**:Wang X, et al.

**摘要**:该研究开发了一种新型KRT1单克隆抗体,验证了其在鳞状细胞癌中的高特异性表达,证明其可作为肿瘤病理诊断的辅助工具,尤其在区分上皮来源恶性肿瘤中的应用价值。

---

**备注**:以上为模拟示例,实际文献需通过PubMed、Google Scholar等平台以关键词“KRT1 antibody”或“KRT1 immunohistochemistry”检索。建议结合近五年研究以获取最新进展。

背景信息

Keratin 1 (KRT1) is a type I intermediate filament protein encoded by the *KRT1* gene, primarily expressed in stratified epithelial tissues, particularly the suprabasal layers of the epidermis. As part of the keratin family, KRT1 forms heterodimers with keratin 10 (KRT10) to establish the structural framework of epithelial cells, contributing to cell integrity, mechanical resilience, and barrier function. Mutations in *KRT1* are linked to skin disorders like epidermolytic ichthyosis, highlighting its critical role in epidermal homeostasis.

KRT1 antibodies are essential tools in research and diagnostics, targeting specific epitopes of the KRT1 protein. These antibodies are widely used in immunohistochemistry (IHC), immunofluorescence (IF), and Western blotting to localize and quantify KRT1 expression in tissues or cell lines. In clinical pathology, KRT1 antibodies aid in differentiating epithelial-derived tumors (e.g., squamous cell carcinomas) from other malignancies, as keratins serve as markers of epithelial origin. They also help study skin disease mechanisms, such as abnormal keratinocyte differentiation or cytoskeletal disruption.

Commercial KRT1 antibodies are typically validated for specificity across species (human, mouse, rat) and applications. Researchers must optimize protocols to address cross-reactivity with other keratins or tissue-specific isoforms. Beyond basic research, KRT1-targeted studies contribute to developing therapeutic strategies for genetic skin disorders and cancer.

客户数据及评论

折叠内容

大包装询价

×