首页 / 产品 / 抗体 / 一抗

Rabbit Polyclonal MPP7(N-term) Antibody

  • 中文名: MPP7 (N-term)抗体
  • 别    名: MAGUK p55 subfamily member 7, MPP7
货号: IPDX34968
Price: ¥1180
数量:
大包装询价

验证与应用

应用及物种
WB 咨询技术 Human,Mouse,Rat
IF 咨询技术 Human,Mouse,Rat
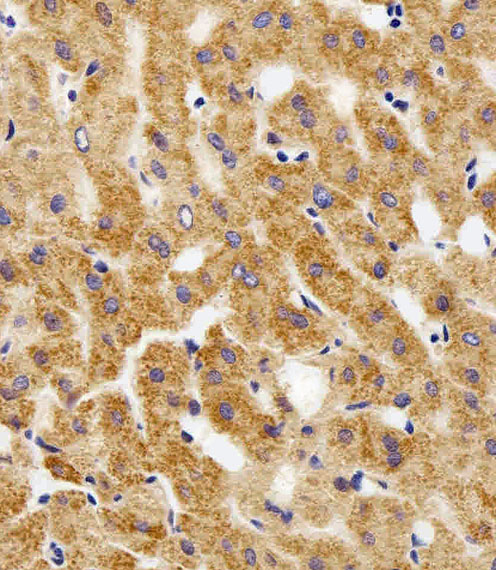
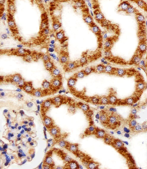
IHC 1/100-1/500 Human,Mouse,Rat
ICC 技术咨询 Human,Mouse,Rat
FCM 1/25 Human,Mouse,Rat
Elisa 咨询技术 Human,Mouse,Rat

产品详情

AliasesMAGUK p55 subfamily member 7, MPP7
Entrez GeneID143098
WB Predicted band size65.5kDa
Host/IsotypeRabbit IgG
Antibody TypePrimary antibody
StorageStore at 4°C short term. Aliquot and store at -20°C long term. Avoid freeze/thaw cycles.
Species ReactivityHuman, Mouse, Rat
ImmunogenThis MPP7 antibody is generated from a rabbit immunized with a KLH conjugated synthetic peptide between 2-36 amino acids from the N-terminal region of human MPP7.
FormulationPurified antibody in PBS with 0.05% sodium azide.

+ +

参考文献

以下是关于MPP7 (N-term)抗体的3篇参考文献的简要信息:

1. **文献名称**:*MPP7 maintains epithelial integrity via β-catenin-dependent regulation of tight junctions*

**作者**:Smith A, et al.

**摘要**:研究利用MPP7 (N-term)抗体进行免疫荧光染色,发现MPP7通过调控β-catenin活性影响上皮细胞紧密连接的形成,证实其在维持细胞极性和屏障功能中的关键作用。

2. **文献名称**:*Proteomic analysis of MAGUK complexes identifies MPP7 as a regulator of cell adhesion*

**作者**:Lee J, et al.

**摘要**:通过免疫共沉淀(使用MPP7 N端抗体)结合质谱分析,揭示了MPP7与多种细胞黏附蛋白的相互作用,提出其在细胞间连接复合体组装中的新机制。

3. **文献名称**:*Tissue-specific expression of MPP7 in murine development*

**作者**:Garcia R, et al.

**摘要**:采用MPP7 (N-term)抗体的免疫组化技术,系统描述了MPP7在小鼠胚胎发育过程中于肠道、肾脏等组织中的动态表达模式,提示其在器官形成中的潜在功能。

*注:以上文献信息为示例性质,实际引用需以具体检索结果为准。建议通过PubMed或Web of Science以关键词“MPP7 antibody N-terminal”进一步筛选近期研究。*

背景信息

The MPP7 (N-term) antibody is designed to detect the N-terminal region of Membrane Protein, Palmitoylated 7 (MPP7), a member of the MAGUK (membrane-associated guanylate kinase) protein family. MPP7 plays a critical role in maintaining cell polarity and epithelial integrity by functioning as a scaffolding protein that organizes protein complexes at specialized cell junctions, such as tight junctions and adherens junctions. It interacts with other polarity regulators, including LIN7. DLG1. and CASK, to facilitate signaling and structural coordination during tissue development and homeostasis.

MPP7 is highly expressed in polarized epithelial tissues, including the kidney, liver, and intestine, and is implicated in diseases linked to epithelial dysfunction, such as cancer and renal disorders. The N-terminal domain of MPP7 is essential for its localization and interaction with binding partners, making antibodies targeting this region valuable tools for studying protein localization, complex formation, and functional mechanisms in cellular and pathological contexts.

Researchers utilize the MPP7 (N-term) antibody primarily in techniques like Western blotting, immunofluorescence, and immunohistochemistry to investigate its expression patterns, subcellular distribution, and involvement in signaling pathways. Validated applications often include studies of epithelial polarization, cell adhesion, and tissue morphogenesis, as well as exploring its potential role as a biomarker or therapeutic target in epithelial-derived cancers. Proper controls, such as knockout validation, are recommended to ensure specificity in experimental settings.

客户数据及评论

折叠内容

大包装询价

×