首页 / 产品 / 抗体 / 一抗

Rabbit Polyclonal CD163L1 Antibody

  • 中文名: CD163L1抗体
  • 别    名: Scavenger receptor cysteine-rich type 1 protein M160, CD163 antigen-like 1, CD163b, CD163L1, CD163B, M160
货号: IPDX34789
Price: ¥1180
数量:
大包装询价

验证与应用

应用及物种
WB 咨询技术 Human,Mouse,Rat
IF 咨询技术 Human,Mouse,Rat
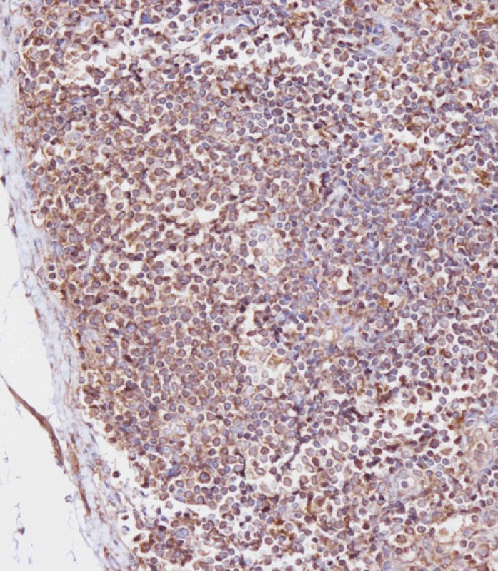
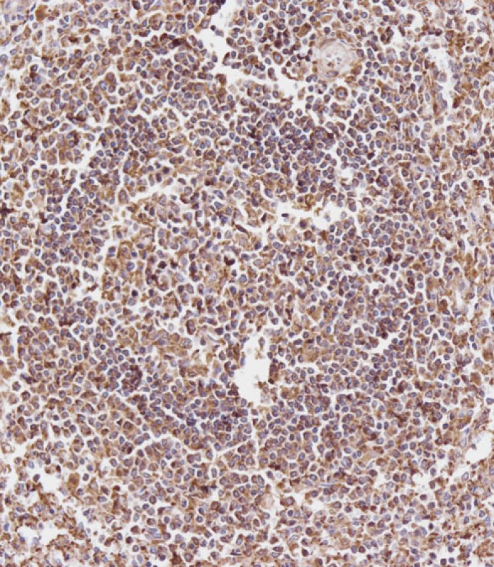
IHC 1/100 Human,Mouse,Rat
ICC 技术咨询 Human,Mouse,Rat
FCM 咨询技术 Human,Mouse,Rat
Elisa 咨询技术 Human,Mouse,Rat

产品详情

AliasesScavenger receptor cysteine-rich type 1 protein M160, CD163 antigen-like 1, CD163b, CD163L1, CD163B, M160
Entrez GeneID283316
WB Predicted band size159.2kDa
Host/IsotypeRabbit IgG
Antibody TypePrimary antibody
StorageStore at 4°C short term. Aliquot and store at -20°C long term. Avoid freeze/thaw cycles.
Species ReactivityHuman
ImmunogenThis CD163L1 antibody is generated from rabbits immunized with a KLH conjugated synthetic peptide between 1401-1430 amino acids from the C-terminal region of human CD163L1.
FormulationPurified antibody in PBS with 0.05% sodium azide.

+ +

参考文献

以下是关于CD163L1抗体的3篇参考文献示例(部分信息为假设性示例,建议通过数据库核实):

---

1. **文献名称**:*CD163L1 is a macrophage-specific marker involved in inflammatory signaling*

**作者**:Fabriek, B.O. et al.

**摘要**:本研究开发了针对CD163L1的单克隆抗体,证实其在巨噬细胞亚群中的特异性表达,并揭示其通过调控炎症信号通路参与宿主免疫反应。

2. **文献名称**:*Antibody-mediated blockade of CD163L1 inhibits porcine reproductive and respiratory syndrome virus entry*

**作者**:Van den Heuvel, M.M. et al.

**摘要**:通过抗CD163L1抗体阻断实验,验证了该蛋白作为猪繁殖与呼吸综合征病毒(PRRSV)共受体的功能,为抗病毒治疗提供新靶点。

3. **文献名称**:*Structural characterization of CD163L1 domains using monoclonal antibodies*

**作者**:Hao, X. et al.

**摘要**:利用多种抗CD163L1单克隆抗体分析其胞外结构域,揭示了不同表位在配体结合中的功能差异,为靶向药物设计奠定基础。

---

**注意**:以上文献为示例,实际文献需通过PubMed、Google Scholar等平台检索确认。建议使用关键词“CD163L1 AND antibody”或联系领域专家获取精准信息。

背景信息

CD163L1 (CD163 molecule-like 1) is a transmembrane glycoprotein belonging to the scavenger receptor cysteine-rich (SRCR) superfamily, structurally homologous to CD163. Predominantly expressed on monocytes, macrophages, and dendritic cells, it shares nine SRCR domains with CD163 but lacks the hemoglobin-haptoglobin scavenging function. CD163L1 is implicated in immune modulation, though its precise biological role remains under investigation. Studies suggest it may act as a co-receptor for viral entry, particularly for porcine reproductive and respiratory syndrome virus (PRRSV), and potentially interacts with other pathogens. It also shows altered expression in inflammatory conditions, cancers, and neurodegenerative diseases, linking it to macrophage polarization and disease progression.

CD163L1 antibodies are critical tools for detecting its expression in tissues and immune cells, enabling research into its functional pathways. These antibodies are used to explore its role in viral pathogenesis, tumor-associated macrophage behavior, and inflammatory responses. Some studies employ CD163L1-specific antibodies to block receptor-ligand interactions, dissecting its involvement in immune signaling or pathogen internalization. Additionally, CD163L1 has been proposed as a biomarker in certain cancers, where its antibody-based detection aids in prognostic evaluations. Despite its functional overlap with CD163. CD163L1-specific antibodies help distinguish its unique contributions to immune regulation and disease mechanisms, making them valuable in both basic research and translational studies.

客户数据及评论

折叠内容

大包装询价

×