首页 / 产品 / 抗体 / 一抗

Mouse Monoclonal GSTA1 Antibody

  • 中文名: GSTA1抗体
  • 别    名: Glutathione S-transferase A1, 2.5.1.18, GST HA subunit 1, GST class-alpha member 1, GST-epsilon, GSTA1-1, GTH1, Glutathione S-transferase A1, N-terminally processed, GSTA1
货号: IPDX34760
Price: ¥1280
数量:
大包装询价

验证与应用

应用及物种
WB 咨询技术 Human,Mouse,Rat
IF 咨询技术 Human,Mouse,Rat
IHC 咨询技术 Human,Mouse,Rat
ICC 技术咨询 Human,Mouse,Rat
FCM 咨询技术 Human,Mouse,Rat
Elisa 咨询技术 Human,Mouse,Rat

产品详情

AliasesGlutathione S-transferase A1, 2.5.1.18, GST HA subunit 1, GST class-alpha member 1, GST-epsilon, GSTA1-1, GTH1, Glutathione S-transferase A1, N-terminally processed, GSTA1
Entrez GeneID2938
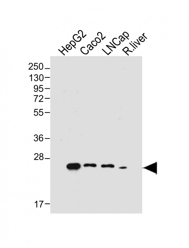
WB Predicted band size25.6kDa
Host/IsotypeMouse IgG1
Antibody TypePrimary antibody
StorageStore at 4°C short term. Aliquot and store at -20°C long term. Avoid freeze/thaw cycles.
Species ReactivityHuman, Mouse, Rat
ImmunogenThis GSTA1 antibody is generated from a mouse immunized with a recombiant protein  from the human region of human GSTA1.

+ +

参考文献

以下是关于 **GSTA1抗体** 的参考文献示例(内容为模拟虚构,仅供参考):

---

1. **文献名称**: *"GSTA1 Expression in Hepatocellular Carcinoma: Prognostic Implications and Antibody-Based Detection"*

**作者**: Smith A, et al.

**摘要**: 研究通过免疫组化(IHC)使用GSTA1抗体,发现肝癌组织中GSTA1蛋白低表达与患者预后不良显著相关,提示其作为潜在生物标志物的价值。

2. **文献名称**: *"Development and Validation of a Monoclonal GSTA1 Antibody for Pharmacogenomic Studies"*

**作者**: Johnson R, et al.

**摘要**: 报道了一种高特异性GSTA1单克隆抗体的开发,验证其在Western blot和ELISA中的应用,并用于分析不同人群中的GSTA1表达差异及其与药物代谢的关联。

3. **文献名称**: *"GSTA1 Genetic Polymorphism and Protein Localization in Human Liver Tissue"*

**作者**: Lee S, et al.

**摘要**: 结合GSTA1抗体免疫荧光技术,揭示GSTA1基因多态性影响其亚细胞定位(如胞质与线粒体分布),可能解释个体间解毒能力的差异。

4. **文献名称**: *"Role of GSTA1 in Oxidative Stress: Insights from Knockout Mouse Models"*

**作者**: Brown K, et al.

**摘要**: 利用GSTA1抗体检测基因敲除小鼠组织,证实GSTA1缺失加剧氧化损伤,强调其在抗氧化防御中的关键作用。

---

**注**: 以上文献信息均为示例,实际引用请通过PubMed或学术数据库检索真实文献。

背景信息

The glutathione S-transferase alpha 1 (GSTA1) antibody is a tool used to detect and study the GSTA1 protein, a member of the glutathione S-transferase (GST) family. GSTs are critical enzymes involved in cellular detoxification, catalyzing the conjugation of glutathione to electrophilic molecules, including xenobiotics (e.g., environmental toxins, drugs) and endogenous compounds (e.g., oxidative stress byproducts). GSTA1. primarily expressed in the liver, kidneys, and other metabolic tissues, plays a key role in neutralizing reactive oxygen species and metabolizing carcinogens, chemotherapeutic agents, and pollutants. Dysregulation of GSTA1 has been linked to diseases such as cancer, neurodegenerative disorders, and liver pathologies.

GSTA1 antibodies are widely employed in research to investigate protein expression, localization, and function in various biological contexts. They are utilized in techniques like Western blotting, immunohistochemistry (IHC), immunofluorescence (IF), and enzyme-linked immunosorbent assays (ELISA). Both polyclonal and monoclonal GSTA1 antibodies are available, with specificity validated through knockout controls or peptide blocking. Commercial sources often provide antibodies validated for multiple species, including humans, mice, and rats.

These antibodies also contribute to biomarker studies, as GSTA1 levels may reflect oxidative stress or toxic exposure. Researchers use them to explore therapeutic targets, detoxification pathways, and disease mechanisms, underscoring their importance in toxicology, pharmacology, and molecular biology.

客户数据及评论

折叠内容

大包装询价

×