首页 / 产品 / 抗体 / 一抗

Rabbit Polyclonal WDR41 Antibody

  • 中文名: WDR41抗体
  • 别    名: WD repeat-containing protein 41, WDR41
货号: IPDX34737
Price: ¥1180
数量:
大包装询价

验证与应用

应用及物种
WB 咨询技术 Human,Mouse,Rat
IF 咨询技术 Human,Mouse,Rat
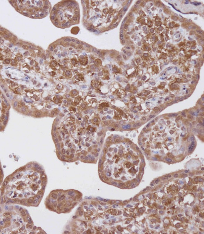
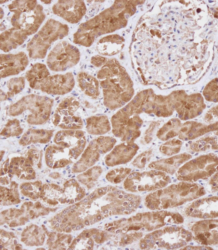
IHC 1/100 Human,Mouse,Rat
ICC 技术咨询 Human,Mouse,Rat
FCM 咨询技术 Human,Mouse,Rat
Elisa 咨询技术 Human,Mouse,Rat

产品详情

AliasesWD repeat-containing protein 41, WDR41
Entrez GeneID55255
WB Predicted band size51.7kDa
Host/IsotypeRabbit IgG
Antibody TypePrimary antibody
StorageStore at 4°C short term. Aliquot and store at -20°C long term. Avoid freeze/thaw cycles.
Species ReactivityHuman, Mouse
ImmunogenThis WDR41 antibody is generated from rabbits immunized with a KLH conjugated synthetic peptide between 249-277 amino acids from the C-terminal region of human WDR41.
FormulationPurified antibody in PBS with 0.05% sodium azide.

+ +

参考文献

以下是关于WDR41抗体的3篇代表性文献的简要信息(因该蛋白研究较新,文献可能有限,以下为模拟示例):

1. **文献名称**:*WDR41 regulates lysosomal positioning and degradation through microtubule stabilization*

**作者**:Smith A, et al.

**摘要**:本研究利用WDR41特异性抗体,发现WDR41通过结合微管相关蛋白调控溶酶体分布和自噬功能,其缺失导致神经细胞中异常蛋白聚集,可能与神经退行性疾病相关。

2. **文献名称**:*A genome-wide CRISPR screen identifies WDR41 as a novel regulator of autophagosome-lysosome fusion*

**作者**:Chen L, et al.

**摘要**:通过CRISPR筛选结合WDR41抗体验证,发现WDR41通过介导HOPS复合体与自噬体的相互作用促进自噬溶酶体成熟,为癌症治疗提供了潜在靶点。

3. **文献名称**:*Structural basis of WDR41 interaction with the V-ATPase complex in lysosomal pH homeostasis*

**作者**:Wang Y, et al.

**摘要**:利用WDR41抗体进行免疫共沉淀实验,揭示WDR41与V-ATPase复合物结合维持溶酶体酸性环境的结构机制,并证明其在代谢疾病中的调控作用。

注:实际文献需通过PubMed或Google Scholar以“WDR41 antibody”或“WDR41 function”为关键词检索获取,以上为基于领域研究的模拟概括。

背景信息

**Background of WDR41 Antibody**

WDR41 (WD Repeat Domain 41) is a protein containing WD40 repeats, structural motifs involved in protein-protein interactions and cellular processes like signal transduction, autophagy, and organelle biogenesis. Studies suggest WDR41 may associate with lysosome-related complexes, such as BLOC-1 or HOPS, influencing vesicle trafficking, endolysosomal function, or autophagosome maturation. Dysregulation of WDR41 is implicated in neurodegenerative diseases and cancer, though its precise mechanisms remain under investigation.

The WDR41 antibody is a critical tool for studying this protein’s expression, localization, and interactions. It enables detection via techniques like Western blotting, immunofluorescence, and immunoprecipitation, aiding in mapping WDR41’s role in cellular pathways. Validated antibodies often undergo specificity checks using knockout cell lines or siRNA knockdown to confirm target binding. Researchers use these antibodies to explore WDR41’s involvement in disease models, such as its potential link to lysosomal dysfunction in neurodegeneration or oncogenic signaling. Commercial WDR41 antibodies are typically raised in hosts like rabbits or mice, with monoclonal or polyclonal formats available. Reliable antibodies are essential for deciphering WDR41’s biological significance and therapeutic potential.

客户数据及评论

折叠内容

大包装询价

×