首页 / 产品 / 抗体 / 一抗

Rabbit Polyclonal COL8A2 Antibody

  • 中文名: COL8A2抗体
  • 别    名: Collagen alpha-2(VIII) chain, Endothelial collagen, COL8A2
货号: IPDX34720
Price: ¥1180
数量:
大包装询价

验证与应用

应用及物种
WB 咨询技术 Human,Mouse,Rat
IF 咨询技术 Human,Mouse,Rat
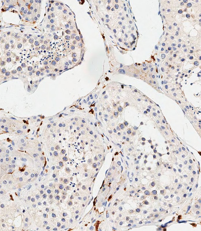
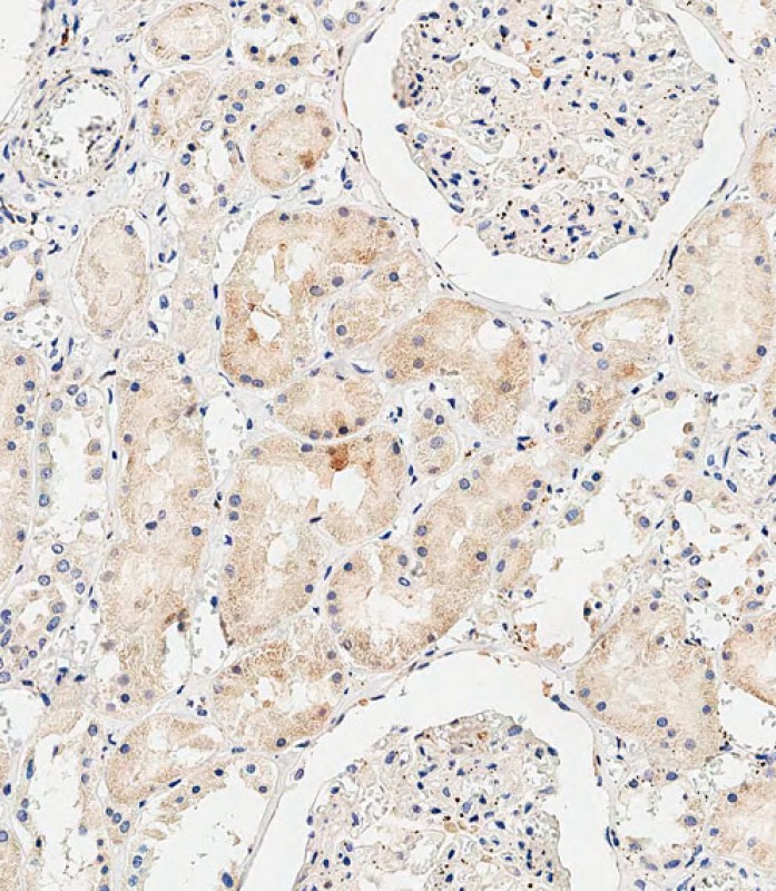
IHC 1/500 Human,Mouse,Rat
ICC 技术咨询 Human,Mouse,Rat
FCM 咨询技术 Human,Mouse,Rat
Elisa 咨询技术 Human,Mouse,Rat

产品详情

AliasesCollagen alpha-2(VIII) chain, Endothelial collagen, COL8A2
Entrez GeneID1296
WB Predicted band size67.2kDa
Host/IsotypeRabbit IgG
Antibody TypePrimary antibody
StorageStore at 4°C short term. Aliquot and store at -20°C long term. Avoid freeze/thaw cycles.
Species ReactivityHuman, Mouse, Rat
ImmunogenThis COL8A2 antibody is generated from rabbits immunized with a KLH conjugated synthetic peptide between 571-599 amino acids from the C-terminal region of human COL8A2.
FormulationPurified antibody in PBS with 0.05% sodium azide.

+ +

参考文献

以下是关于COL8A2抗体的3篇代表性文献的简要信息:

1. **文献名称**: "Mutations in COL8A2 cause posterior polymorphous corneal dystrophy"

**作者**: Biswas S, et al. (2010)

**摘要**: 该研究通过免疫组化分析发现,COL8A2抗体在角膜内皮细胞中特异性标记突变蛋白,表明COL8A2基因突变与后部多形性角膜营养不良(PPCD)的病理机制相关,提示其可能参与细胞外基质的异常沉积。

2. **文献名称**: "Collagen VIII is a tumor-specific antigen in endothelial cells of malignant tumors"

**作者**: Kuiper R, et al. (2007)

**摘要**: 利用COL8A2抗体进行免疫荧光染色,研究发现胶原蛋白VIII在多种肿瘤血管内皮细胞中高表达,而在正常组织中表达受限,提示其可能作为肿瘤血管生成的潜在治疗靶点。

3. **文献名称**: "Role of COL8A2 in corneal endothelial cell apoptosis and fibrosis"

**作者**: Jun AS, et al. (2002)

**摘要**: 通过Western blot和免疫组织化学,该文献证实COL8A2抗体可检测小鼠模型中突变蛋白的表达异常,并揭示其与角膜内皮细胞凋亡及纤维化过程的关联,为遗传性角膜病变提供机制解释。

以上文献均基于COL8A2抗体的实验应用,涉及疾病机制、肿瘤标记及分子病理学领域。

背景信息

COL8A2 antibodies target the alpha-2 chain of collagen type VIII, a short-chain collagen primarily found in basement membranes and extracellular matrices. Encoded by the COL8A2 gene, this protein contributes to tissue structure and cellular adhesion. COL8A2 is notably expressed in vascular endothelial cells, the eye (particularly the corneal endothelium), and certain epithelial tissues. Research on COL8A2 antibodies has been driven by its association with Fuchs' endothelial corneal dystrophy (FECD), a genetic disorder causing corneal degeneration. Specific mutations in COL8A2. such as the L450W variant, are linked to early-onset FECD, making these antibodies valuable for studying disease mechanisms. Additionally, COL8A2 is implicated in angiogenesis and tumor microenvironment regulation, with studies suggesting its role in modulating blood vessel stability in cancers. Antibodies against COL8A2 are used in techniques like immunohistochemistry, Western blotting, and immunofluorescence to localize and quantify its expression in tissues or cell cultures. They also aid in exploring COL8A2's interactions with signaling molecules involved in cell proliferation and matrix remodeling. While most applications remain research-focused, potential clinical uses include diagnostic tools for corneal dystrophies or biomarkers for vascular abnormalities. However, standardization of antibody specificity and validation across species and sample types remains a challenge in translating these findings into therapeutic or diagnostic advancements.

客户数据及评论

折叠内容

大包装询价

×