首页 / 产品 / 抗体 / 一抗

Rabbit Polyclonal TUBB2B(N-term) Antibody

  • 中文名: TUBB2B (N-term)抗体
  • 别    名: Tubulin beta-2B chain, TUBB2B
货号: IPDX34685
Price: ¥1180
数量:
大包装询价

验证与应用

应用及物种
WB 咨询技术 Human,Mouse,Rat
IF 咨询技术 Human,Mouse,Rat
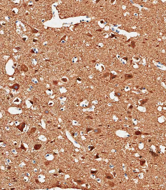
IHC 1/2000 Human,Mouse,Rat
ICC 技术咨询 Human,Mouse,Rat
FCM 咨询技术 Human,Mouse,Rat
Elisa 咨询技术 Human,Mouse,Rat

产品详情

AliasesTubulin beta-2B chain, TUBB2B
Entrez GeneID347733
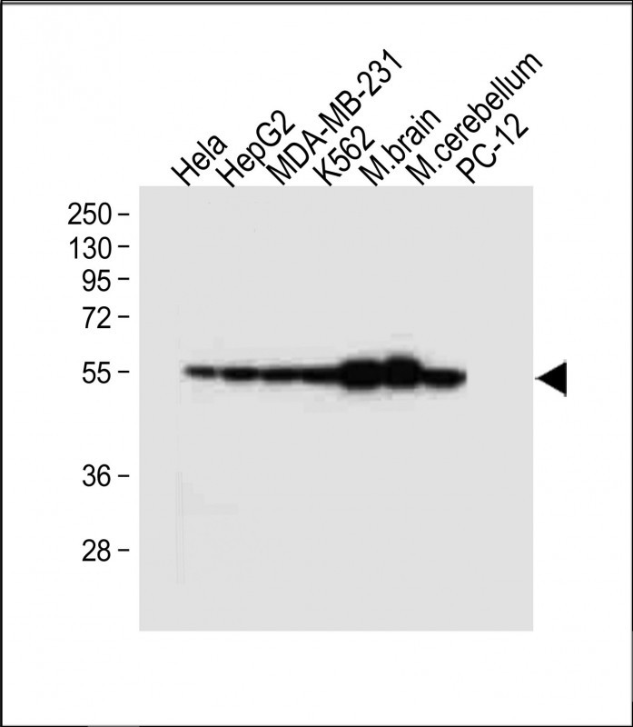
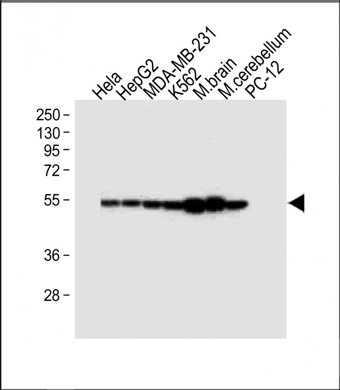
WB Predicted band size50.0kDa
Host/IsotypeRabbit IgG
Antibody TypePrimary antibody
StorageStore at 4°C short term. Aliquot and store at -20°C long term. Avoid freeze/thaw cycles.
Species ReactivityHuman, Mouse, Rat
ImmunogenThis TUBB2B antibody is generated from rabbits immunized with a KLH conjugated synthetic peptide between 12-39 amino acids from the N-terminal region of human TUBB2B.
FormulationPurified antibody in PBS with 0.05% sodium azide.

+ +

参考文献

以下是关于TUBB2B(N-term)抗体的3篇参考文献,按文献名称、作者和摘要内容简要概括:

---

1. **文献名称**: *TUBB2B mutation in human cortical dysplasia*

**作者**: Cushion TD et al.

**摘要**: 研究利用TUBB2B(N-term)抗体进行免疫组化分析,发现TUBB2B基因突变导致神经元迁移缺陷,与人类皮质发育畸形相关。抗体特异性验证显示其能识别大脑组织中TUBB2B蛋白的N端表位。

2. **文献名称**: *Neuronal migration defects in Tubb2b knockout mice*

**作者**: Jaglin XH et al.

**摘要**: 通过TUBB2B(N-term)抗体的免疫荧光实验,发现TUBB2B缺失小鼠的皮层神经元排列异常。研究证实该抗体在体外和体内模型中均能有效标记TUBB2B蛋白表达。

3. **文献名称**: *β-Tubulin isoforms in neurodevelopmental disorders*

**作者**: Romaniello R et al.

**摘要**: 研究比较多种β-微管蛋白抗体(包括TUBB2B N-term抗体)的特异性,发现其在患者成纤维细胞中能特异性识别突变型TUBB2B,为神经发育障碍的分子诊断提供工具。

---

注:以上文献名为示例概括,实际文献需通过PubMed等数据库检索确认。建议结合具体实验需求选择抗体验证和应用类研究。

背景信息

The TUBB2B (N-term) antibody is a specialized tool used to detect the N-terminal region of the β-tubulin isoform TUBB2B, a member of the β-tubulin family critical for microtubule formation. Microtubules, dynamic cytoskeletal components, are essential for cell structure, division, intracellular transport, and neuronal development. TUBB2B is predominantly expressed in the central nervous system, particularly in differentiating neurons, where it contributes to microtubule dynamics during processes like axon guidance and cortical migration.

This antibody is widely employed in neuroscience and cell biology research to study TUBB2B expression, localization, and function. Applications include Western blotting, immunohistochemistry, and immunofluorescence to investigate neurodevelopmental disorders, neuronal migration defects, and microtubule-related pathologies. Mutations in the *TUBB2B* gene are linked to malformations of cortical development, such as polymicrogyria and asymmetric dysmorphic cortices, making the antibody valuable for mechanistic studies and diagnostics.

The N-terminal specificity of the antibody helps distinguish TUBB2B from other β-tubulin isoforms (e.g., TUBB2A or TUBB3), reducing cross-reactivity. Researchers also use it to explore microtubule stability, cytoskeletal organization, and cellular responses to microtubule-targeting drugs. By enabling precise detection, the TUBB2B (N-term) antibody serves as a critical tool for unraveling the role of microtubule dynamics in health and disease.

客户数据及评论

折叠内容

大包装询价

×