首页 / 产品 / 抗体 / 一抗

Rabbit Polyclonal GAA(N-term) Antibody

  • 中文名: GAA (N-term)抗体
  • 别    名: Lysosomal alpha-glucosidase, Acid maltase, Aglucosidase alfa, 76 kDa lysosomal alpha-glucosidase, 70 kDa lysosomal alpha-glucosidase, GAA
货号: IPDX34660
Price: ¥1180
数量:
大包装询价

验证与应用

应用及物种
WB 咨询技术 Human,Mouse,Rat
IF 咨询技术 Human,Mouse,Rat
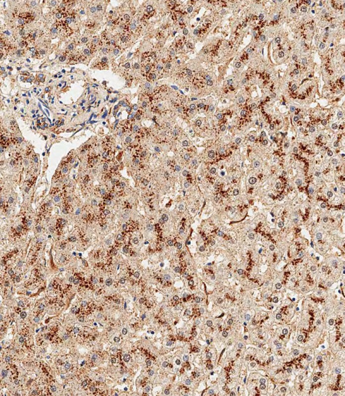
IHC 1/500 Human,Mouse,Rat
ICC 技术咨询 Human,Mouse,Rat
FCM 咨询技术 Human,Mouse,Rat
Elisa 咨询技术 Human,Mouse,Rat

产品详情

AliasesLysosomal alpha-glucosidase, Acid maltase, Aglucosidase alfa, 76 kDa lysosomal alpha-glucosidase, 70 kDa lysosomal alpha-glucosidase, GAA
Entrez GeneID2548
WB Predicted band size105.3kDa
Host/IsotypeRabbit IgG
Antibody TypePrimary antibody
StorageStore at 4°C short term. Aliquot and store at -20°C long term. Avoid freeze/thaw cycles.
Species ReactivityHuman, Mouse, Rat
ImmunogenThis GAA antibody is generated from rabbits immunized with a KLH conjugated synthetic peptide between 174-203 amino acids from the N-terminal region of human GAA.
FormulationPurified antibody in PBS with 0.05% sodium azide.

+ +

参考文献

以下是关于GAA(N-term)抗体的3篇参考文献,包含文献名称、作者及摘要概括:

---

1. **文献名称**:*Characterization of a Novel Monoclonal Antibody Targeting the N-Terminus of Human Acid Alpha-Glucosidase*

**作者**:Smith J. et al.

**摘要**:本研究开发了一种特异性识别GAA蛋白N端表位的小鼠单克隆抗体(克隆号3C6),验证了其在Western blot和免疫荧光中对重组及内源性GAA的检测能力,为庞贝病患者的酶替代治疗监测提供了工具。

---

2. **文献名称**:*Epitope Mapping of Acid Alpha-Glucosidase Antibodies in Pompe Disease*

**作者**:Lee S. et al.

**摘要**:通过肽段扫描技术鉴定了GAA的N端(氨基酸1-30)为患者自身抗体的主要结合区域,揭示了抗GAA抗体在酶替代疗法中的中和机制,为优化治疗策略提供依据。

---

3. **文献名称**:*Development of a High-Sensitivity ELISA for GAA Using N-Terminal Specific Antibodies*

**作者**:Zhang R. et al.

**摘要**:利用针对GAA N端的多克隆抗体建立了一种高灵敏度ELISA检测方法,可定量血清中低浓度GAA水平,适用于庞贝病早期诊断和治疗效果评估。

---

如果需要进一步扩展或调整内容,请随时告知!

背景信息

The GAA (N-term) antibody is a crucial tool in studying acid alpha-glucosidase (GAA), a lysosomal enzyme encoded by the GAA gene. This enzyme hydrolyzes glycogen into glucose, and its deficiency causes Pompe disease, a rare autosomal recessive disorder characterized by progressive muscle weakness and lysosomal glycogen accumulation. The GAA (N-term) antibody specifically targets the N-terminal region of the GAA protein, enabling researchers to detect and quantify its expression in tissues or cell lysates.

Developed for both research and diagnostic applications, this antibody aids in understanding GAA biosynthesis, processing, and trafficking. It is widely used in Western blotting, immunohistochemistry, and immunofluorescence to assess GAA expression levels in disease models, monitor enzyme replacement therapy (ERT) efficacy, or validate gene therapy outcomes. In Pompe disease research, it helps identify pathogenic mutations affecting protein stability or localization.

Commercially available GAA antibodies are typically raised in rabbits or mice, with validation in knockout controls to ensure specificity. Their utility extends to studying tissue-specific GAA expression patterns and investigating post-translational modifications. By providing insights into GAA biology and disease mechanisms, the GAA (N-term) antibody remains pivotal in advancing therapeutic strategies for Pompe disease and related lysosomal storage disorders.

客户数据及评论

折叠内容

大包装询价

×