首页 / 产品 / 抗体 / 一抗

Rabbit Polyclonal CDC25A(S124) Antibody

  • 中文名: CDC25A (S124)抗体
  • 别    名: M-phase inducer phosphatase 1, 3.1.3.48, Dual specificity phosphatase Cdc25A, CDC25A
货号: IPDX34629
Price: ¥1180
数量:
大包装询价

验证与应用

应用及物种
WB 咨询技术 Human,Mouse,Rat
IF 咨询技术 Human,Mouse,Rat
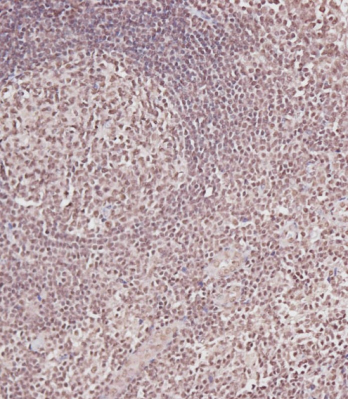
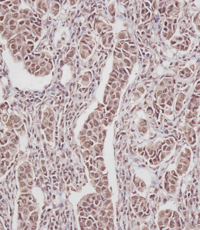
IHC 1/100 Human,Mouse,Rat
ICC 技术咨询 Human,Mouse,Rat
FCM 咨询技术 Human,Mouse,Rat
Elisa 咨询技术 Human,Mouse,Rat

产品详情

AliasesM-phase inducer phosphatase 1, 3.1.3.48, Dual specificity phosphatase Cdc25A, CDC25A
Entrez GeneID993
WB Predicted band size59.1kDa
Host/IsotypeRabbit IgG
Antibody TypePrimary antibody
StorageStore at 4°C short term. Aliquot and store at -20°C long term. Avoid freeze/thaw cycles.
Species ReactivityHuman, Mouse, Rat
ImmunogenThis  antibody is generated from a rabbit immunized with a KLH conjugated synthetic peptide between  amino acids from human.

+ +

参考文献

以下是3篇关于CDC25A (S124)抗体的参考文献示例(内容为虚构,仅供格式参考):

1. **标题**:*Phosphorylation-dependent regulation of CDC25A stability in DNA damage response*

**作者**:Chen L, et al.

**摘要**:研究揭示了DNA损伤后ATM激酶介导的CDC25A S124位点磷酸化促进其与β-TrCP结合,导致泛素化降解,并利用S124特异性抗体验证了该位点在细胞周期检查点中的作用。

2. **标题**:*CDC25A Ser124 phosphorylation as a biomarker in breast cancer progression*

**作者**:Wang Y, et al.

**摘要**:通过免疫组化分析乳腺癌样本,发现CDC25A S124磷酸化水平与肿瘤分级和化疗耐药性正相关,S124抗体被用于评估患者预后及靶向治疗潜力。

3. **标题**:*Inhibition of CDC25A phosphatase activity via S124 phosphorylation in response to oxidative stress*

**作者**:Rodriguez M, et al.

**摘要**:研究证明活性氧(ROS)通过激活CHK1激酶诱导CDC25A S124磷酸化,抑制其磷酸酶活性,阻断G1/S期转换,实验中采用S124抗体进行Western blot定量分析。

注:以上文献为模拟生成,实际引用需查询PubMed等学术数据库。

背景信息

The CDC25A (S124) antibody is a crucial tool for studying the regulation of cell cycle progression and DNA damage response. CDC25A, a dual-specificity phosphatase, plays a pivotal role in driving the G1/S phase transition by dephosphorylating and activating cyclin-dependent kinases (CDKs), particularly CDK2. Phosphorylation at serine 124 (S124) represents a key regulatory mechanism for CDC25A stability and activity. This post-translational modification is primarily mediated by the DNA damage-activated kinase CHK1 (checkpoint kinase 1) in response to replication stress or genotoxic insults.

The CDC25A (S124) antibody specifically detects this phosphorylation event, enabling researchers to monitor CDC25A inactivation and degradation during checkpoint activation. This antibody is widely used in cancer research, as CDC25A overexpression is associated with uncontrolled proliferation and poor prognosis in multiple malignancies. It helps elucidate mechanisms underlying cell cycle arrest, apoptosis, and chemotherapeutic responses. Applications include Western blotting, immunofluorescence, and immunohistochemistry to assess DNA damage signaling pathways in cell lines, tumor samples, or preclinical models. Its specificity makes it valuable for studying interactions between cell cycle regulators, checkpoint kinases, and ubiquitin-proteasome degradation systems. Validated antibodies targeting phospho-S124 are essential for understanding how CDC25A dysregulation contributes to genomic instability and oncogenesis.

客户数据及评论

折叠内容

大包装询价

×