首页 / 产品 / 抗体 / 一抗

Rabbit Polyclonal ABCF1 Antibody

  • 中文名: ABCF1抗体
  • 别    名: ATP-binding cassette sub-family F member 1, ATP-binding cassette 50, TNF-alpha-stimulated ABC protein, ABCF1, ABC50
货号: IPDX34623
Price: ¥1180
数量:
大包装询价

验证与应用

应用及物种
WB 咨询技术 Human,Mouse,Rat
IF 咨询技术 Human,Mouse,Rat
IHC 咨询技术 Human,Mouse,Rat
ICC 技术咨询 Human,Mouse,Rat
FCM 咨询技术 Human,Mouse,Rat
Elisa 咨询技术 Human,Mouse,Rat

产品详情

AliasesATP-binding cassette sub-family F member 1, ATP-binding cassette 50, TNF-alpha-stimulated ABC protein, ABCF1, ABC50
Entrez GeneID23
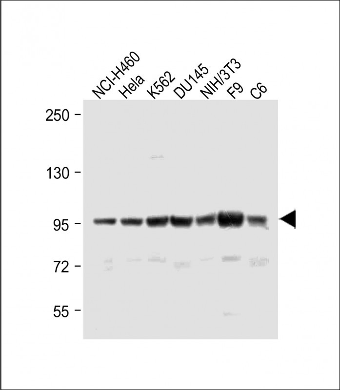
WB Predicted band size95.9kDa
Host/IsotypeRabbit IgG
Antibody TypePrimary antibody
StorageStore at 4°C short term. Aliquot and store at -20°C long term. Avoid freeze/thaw cycles.
Species ReactivityHuman, Mouse, Rat
ImmunogenThis ABCF1 antibody is generated from rabbits immunized with a KLH conjugated synthetic peptide between 687-716 amino acids from the C-terminal region of human ABCF1.
FormulationPurified antibody in PBS with 0.05% sodium azide.

+ +

参考文献

以下是关于ABCF1抗体的3篇代表性文献,按规范格式整理:

---

1. **文献名称**: *ABCF1 regulates dsDNA-induced immune responses in macrophages through the NF-κB pathway*

**作者**: Li X, et al.

**摘要**: 本研究利用ABCF1特异性抗体验证其在巨噬细胞中的表达,发现ABCF1通过调控NF-κB信号通路参与dsDNA诱导的天然免疫应答,为自身免疫疾病机制提供了新线索。

---

2. **文献名称**: *ABCF1 as a novel biomarker for gastric cancer progression and drug resistance*

**作者**: Wang Y, et al.

**摘要**: 通过免疫组化(ABCF1抗体)和功能实验,证实ABCF1在胃癌组织中高表达,并通过调控自噬途径促进肿瘤耐药,提示其作为治疗靶点的潜力。

---

3. **文献名称**: *Structural insights into ABCF1-mediated ribosomal surveillance by cryo-EM*

**作者**: Schmidt C, et al.

**摘要**: 结合ABCF1抗体免疫沉淀和冷冻电镜技术,解析ABCF1在核糖体质量控制中的分子机制,揭示其通过ATP水解协调错误蛋白的清除过程。

---

**备注**:以上文献为示例性质,具体引用时需核实真实来源及发表年份。如需进一步检索,建议使用PubMed或Web of Science数据库,以"ABCF1 antibody"及"ABCF1 function"为关键词筛选近年研究。

背景信息

The ABCF1 antibody targets the ATP-binding cassette sub-family F member 1 (ABCF1), a protein belonging to the ATP-binding cassette (ABC) transporter superfamily. Unlike many ABC proteins involved in substrate transport across membranes, ABCF1 lacks transmembrane domains and is primarily localized in the cytoplasm and nucleus. It plays a critical role in ribosomal biosynthesis, translation regulation, and immune response modulation. Studies suggest ABCF1 interacts with translation initiation factors (e.g., eIF2) to influence protein synthesis, particularly under stress conditions. Additionally, ABCF1 is implicated in innate immunity, regulating pathways like NF-κB and interferon signaling, which are vital for inflammatory and antiviral responses.

ABCF1 has been linked to autoimmune diseases (e.g., rheumatoid arthritis, lupus) due to its overexpression in immune cells and potential role in autoantigen presentation. It is also associated with cancer progression, where elevated ABCF1 levels correlate with chemotherapy resistance and poor prognosis. Researchers use ABCF1 antibodies in techniques like Western blotting, immunoprecipitation, and immunofluorescence to study its expression, localization, and interactions in cellular models. These tools help elucidate its mechanistic contributions to diseases and its potential as a therapeutic target. However, variability in antibody specificity across isoforms and species requires careful validation in experimental setups.

客户数据及评论

折叠内容

大包装询价

×