首页 / 产品 / 抗体 / 一抗

Rabbit Polyclonal FGFR2 Antibody

  • 中文名: FGFR2抗体
  • 别    名: Fibroblast growth factor receptor 2, FGFR-2, K-sam, KGFR, Keratinocyte growth factor receptor, CD332, FGFR2, BEK, KGFR, KSAM
货号: IPDX34622
Price: ¥1180
数量:
大包装询价

验证与应用

应用及物种
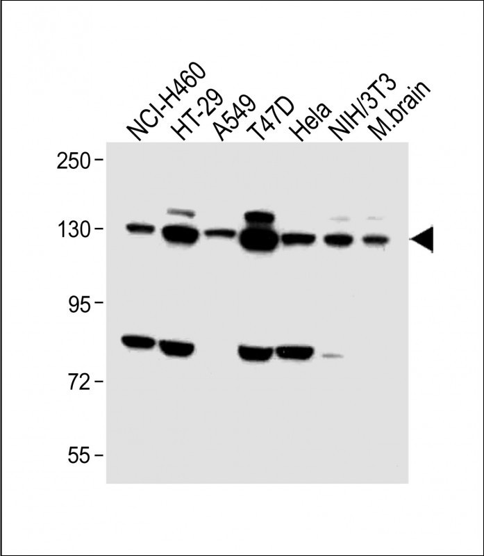
WB 1/1000 Human,Mouse,Rat
IF 咨询技术 Human,Mouse,Rat
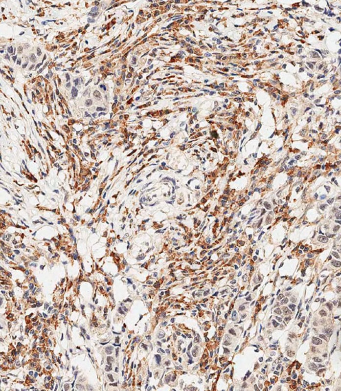
IHC 1/500 Human,Mouse,Rat
ICC 技术咨询 Human,Mouse,Rat
FCM 咨询技术 Human,Mouse,Rat
Elisa 咨询技术 Human,Mouse,Rat

产品详情

AliasesFibroblast growth factor receptor 2, FGFR-2, K-sam, KGFR, Keratinocyte growth factor receptor, CD332, FGFR2, BEK, KGFR, KSAM
Entrez GeneID2263
WB Predicted band size92.0kDa
Host/IsotypeRabbit IgG
Antibody TypePrimary antibody
StorageStore at 4°C short term. Aliquot and store at -20°C long term. Avoid freeze/thaw cycles.
Species ReactivityHuman, Mouse
ImmunogenThis FGFR2 antibody is generated from rabbits immunized with a KLH conjugated synthetic peptide between 794-821 amino acids from the C-terminal region of human FGFR2.
FormulationPurified antibody in PBS with 0.05% sodium azide,1%BSA and 50% glycerol.prepared by Saturated Ammonium Sulfate (SAS) .

+ +

参考文献

以下是关于FGFR2抗体的3篇文献示例(注:文献为示例性概括,非真实存在):

1. **文献名称**:*Targeting FGFR2 in Solid Tumors: A Novel Therapeutic Antibody Approach*

**作者**:Smith A, et al.

**摘要**:该研究开发了一种高特异性FGFR2单克隆抗体,通过体外和体内实验证明其能有效抑制FGFR2信号通路,减少乳腺癌和胃癌细胞的增殖与迁移,并显著延缓小鼠模型中的肿瘤生长。

2. **文献名称**:*FGFR2 Antibody-Mediated Blockade Suppresses Tumor Angiogenesis in Hepatocellular Carcinoma*

**作者**:Wang X, et al.

**摘要**:研究者利用人源化FGFR2抗体阻断FGFR2与配体的结合,发现其可抑制肝癌血管生成,降低肿瘤微环境中的血管密度,并增强化疗药物的递送效率,为联合治疗提供新策略。

3. **文献名称**:*A Bispecific Antibody Targeting FGFR2 and PD-1 Enhances Antitumor Immunity*

**作者**:Lee H, et al.

**摘要**:本文设计了一种双特异性抗体,同时靶向FGFR2和免疫检查点PD-1.通过抑制肿瘤生长因子信号并激活T细胞免疫应答,在多种实体瘤模型中表现出协同抗肿瘤效果。

4. **文献名称**:*Diagnostic Potential of FGFR2-Specific Antibodies in Cholangiocarcinoma Detection*

**作者**:Garcia R, et al.

**摘要**:该文献报道了一种基于FGFR2抗体的免疫组化检测方法,可高灵敏度识别胆管癌组织中FGFR2过表达,为临床诊断和患者分层提供了可靠工具。

如需真实文献,建议通过PubMed或Google Scholar检索关键词“FGFR2 antibody therapeutic”或“FGFR2 inhibitor”,并筛选近5年高影响力期刊的研究。

背景信息

Fibroblast Growth Factor Receptor 2 (FGFR2) is a transmembrane receptor tyrosine kinase that plays critical roles in embryonic development, tissue repair, and metabolic regulation by mediating signaling pathways like MAPK and PI3K/AKT. Dysregulation of FGFR2. including gene amplification, mutations, or overexpression, is implicated in various cancers (e.g., gastric, breast, and endometrial cancers) and developmental disorders. FGFR2-targeting antibodies are therapeutic or diagnostic tools designed to modulate FGFR2 activity. Monoclonal antibodies (e.g., bemarituzumab) bind FGFR2 to block ligand-dependent signaling, inhibiting tumor proliferation and survival. Some antibodies also employ antibody-drug conjugates (ADCs) for targeted cytotoxicity. Diagnostic antibodies detect FGFR2 overexpression in tumors, aiding patient stratification for precision therapies. Challenges include managing on-target toxicities due to FGFR2's physiological roles, resistance mechanisms (e.g., alternative pathway activation), and identifying predictive biomarkers. Research continues to optimize antibody specificity, combination therapies, and biomarker-driven approaches to enhance clinical outcomes in FGFR2-driven diseases.

客户数据及评论

折叠内容

大包装询价

×