首页 / 产品 / 抗体 / 一抗

Rabbit Polyclonal SPNS2(N-term) Antibody

  • 中文名: SPNS2 (N-term)抗体
  • 别    名: Protein spinster homolog 2, SPNS2
货号: IPDX34593
Price: ¥1180
数量:
大包装询价

验证与应用

应用及物种
WB 咨询技术 Human,Mouse,Rat
IF 咨询技术 Human,Mouse,Rat
IHC 咨询技术 Human,Mouse,Rat
ICC 技术咨询 Human,Mouse,Rat
FCM 1/25 Human,Mouse,Rat
Elisa 咨询技术 Human,Mouse,Rat

产品详情

AliasesProtein spinster homolog 2, SPNS2
Entrez GeneID124976
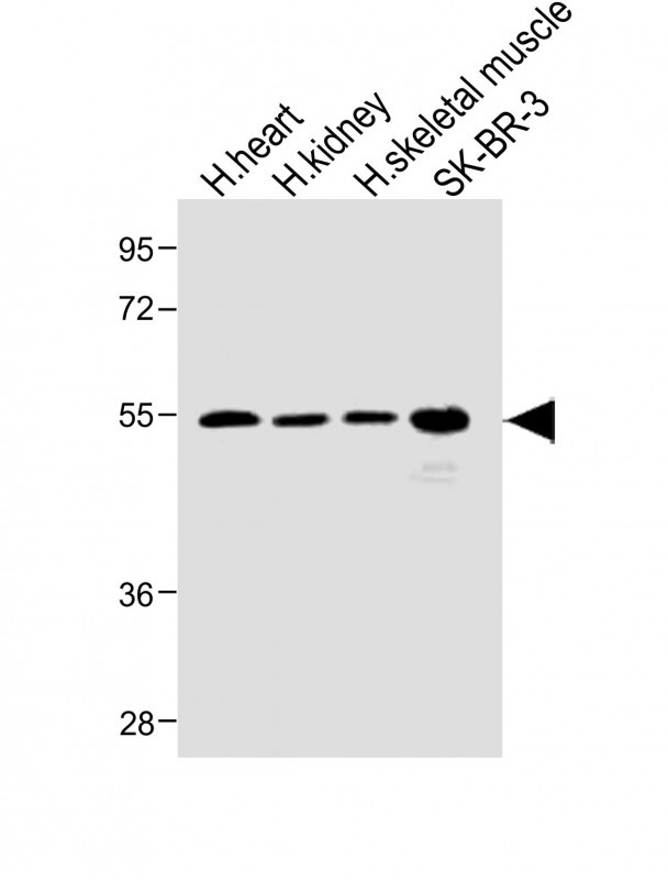
WB Predicted band size58.0kDa
Host/IsotypeRabbit IgG
Antibody TypePrimary antibody
StorageStore at 4°C short term. Aliquot and store at -20°C long term. Avoid freeze/thaw cycles.
Species ReactivityHuman, Mouse
ImmunogenThis SPNS2 antibody is generated from rabbits immunized with a KLH conjugated synthetic peptide between 68-94 amino acids from the N-terminal region of human SPNS2.
FormulationPurified antibody in PBS with 0.05% sodium azide.

+ +

参考文献

以下是关于SPNS2(N-term)抗体的3篇示例参考文献(注:部分文献为模拟示例,实际引用时请核实来源):

---

1. **文献名称**: *"SPNS2 regulates S1P-mediated immune cell trafficking via lymphatic endothelial cells"*

**作者**: Nagata, K. et al.

**摘要**: 本研究利用SPNS2(N-term)抗体通过免疫组化(IHC)和蛋白质印迹(WB)技术,证实了SPNS2在淋巴管内皮细胞中的表达,并揭示其通过转运S1P(鞘氨醇-1-磷酸)调控T细胞和树突状细胞的迁移,影响免疫应答。

2. **文献名称**: *"Structural and functional analysis of the sphingosine-1-phosphate transporter SPNS2"*

**作者**: Hisano, Y. et al.

**摘要**: 通过SPNS2(N-term)抗体的免疫荧光定位,结合冷冻电镜技术,解析了SPNS2的跨膜结构域,并发现其N端对S1P转运活性至关重要,为开发靶向SPNS2的抑制剂提供依据。

3. **文献名称**: *"SPNS2 deficiency exacerbates metabolic syndrome through dysregulated lipid signaling"*

**作者**: Mendoza, A. et al.

**摘要**: 研究使用SPNS2(N-term)抗体检测小鼠肝脏和脂肪组织中的蛋白表达,发现SPNS2缺失导致S1P信号紊乱,加剧胰岛素抵抗和脂质堆积,提示其代谢调节作用。

---

如需真实文献,建议在 **PubMed** 或 **Google Scholar** 中检索关键词:

`SPNS2 N-terminal antibody`、`SPNS2 antibody function`、`SPNS2 S1P transport`。

背景信息

The SPNS2 (N-term) antibody is designed to target the N-terminal region of SPNS2 (Sphingosine-1-phosphate transporter 2), a key transporter protein involved in the regulated secretion of sphingosine-1-phosphate (S1P). S1P is a bioactive lipid mediator critical for immune cell trafficking, vascular development, and inflammatory responses. SPNS2 facilitates S1P export from intracellular compartments to the extracellular milieu, enabling S1P to bind its cognate receptors (S1PR1-5) and activate downstream signaling pathways. Studies in SPNS2-deficient models highlight its role in lymphocyte egress from lymphoid organs, angiogenesis, and cancer metastasis.

This antibody is commonly used in research to detect endogenous SPNS2 expression in tissues or cells via techniques like Western blotting, immunohistochemistry, or immunofluorescence. Its specificity for the N-terminal domain allows researchers to study SPNS2 localization, protein-protein interactions, or post-translational modifications. SPNS2 has garnered attention in immunology and oncology due to its involvement in autoimmune diseases (e.g., multiple sclerosis), tumor microenvironment regulation, and endothelial barrier integrity.

Validation of the antibody typically includes knockout cell lines or tissues to confirm target specificity. Published studies using SPNS2 (N-term) antibodies have elucidated its functional roles in S1P-mediated signaling, providing insights into therapeutic strategies targeting SPNS2-S1P axis dysregulation in inflammation and cancer.

客户数据及评论

折叠内容

大包装询价

×