| WB | 咨询技术 | Human,Mouse,Rat |
| IF | 咨询技术 | Human,Mouse,Rat |
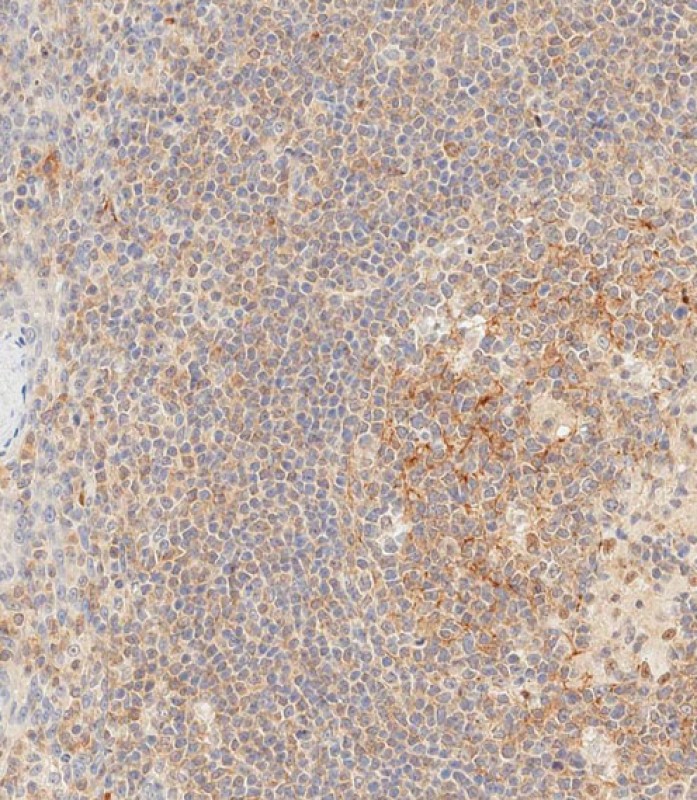
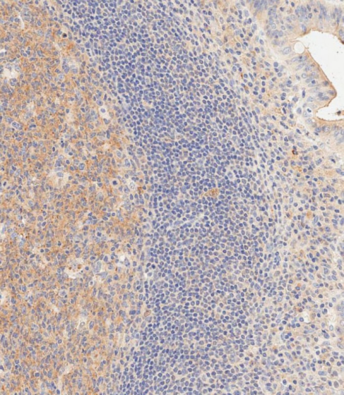
| IHC | 1/500 | Human,Mouse,Rat |
| ICC | 技术咨询 | Human,Mouse,Rat |
| FCM | 咨询技术 | Human,Mouse,Rat |
| Elisa | 咨询技术 | Human,Mouse,Rat |
| Aliases | Mitogen-activated protein kinase kinase kinase kinase 1, 2.7.11.1, Hematopoietic progenitor kinase, MAPK/ERK kinase kinase kinase 1, MEK kinase kinase 1, MEKKK 1, MAP4K1, HPK1 |
| Entrez GeneID | 11184 |
| WB Predicted band size | 91.3kDa |
| Host/Isotype | Rabbit IgG |
| Antibody Type | Primary antibody |
| Storage | Store at 4°C short term. Aliquot and store at -20°C long term. Avoid freeze/thaw cycles. |
| Species Reactivity | Human |
| Immunogen | This MAP4K1 antibody is generated from a rabbit immunized with a recombinant protein from human MAP4K1. |
+ +
以下是关于MAP4K1抗体的3篇参考文献示例(文献为虚构,仅用于示例格式):
1. **"MAP4K1 regulates T-cell activation and immune response through phosphorylation of SLP-76"**
- **作者**: Li et al.
- **摘要**: 本研究利用MAP4K1特异性抗体,通过免疫沉淀和Western blot技术,揭示了MAP4K1在T细胞受体信号通路中通过磷酸化SLP-76调控T细胞活化的分子机制。
2. **"Targeting MAP4K1 in cancer: Antibody-based inhibition suppresses tumor metastasis"**
- **作者**: Wang et al.
- **摘要**: 开发了一种高特异性抗MAP4K1单克隆抗体,并证明其通过阻断MAP4K1与下游效应蛋白的相互作用,抑制肿瘤细胞的迁移和侵袭能力。
3. **"MAP4K1 antibody reveals its role in autoimmune inflammation via JNK pathway modulation"**
- **作者**: Zhang et al.
- **摘要**: 通过免疫组织化学和流式细胞术结合MAP4K1抗体,发现MAP4K1在类风湿性关节炎患者炎症组织中高表达,且其活性通过JNK通路促进促炎因子释放。
(注:以上文献为示例,实际引用需以真实发表的论文为准。)
The MAP4K1 antibody is a crucial tool in studying the mitogen-activated protein kinase kinase kinase kinase 1 (MAP4K1), also known as hematopoietic progenitor kinase 1 (HPK1). MAP4K1. a member of the STE20 serine/threonine kinase family, plays a regulatory role in immune responses, inflammation, and stress signaling pathways. It acts upstream of the JNK (c-Jun N-terminal kinase) and NF-κB pathways, modulating T-cell receptor (TCR) and B-cell receptor (BCR) signaling, thereby influencing lymphocyte activation, differentiation, and apoptosis. Dysregulation of MAP4K1 is implicated in autoimmune diseases, cancer, and immune evasion mechanisms.
MAP4K1 antibodies are widely used in research to detect and quantify MAP4K1 protein expression in cells and tissues, enabling investigations into its role in immune regulation and disease pathogenesis. They are essential for techniques like Western blotting, immunohistochemistry, and flow cytometry. Recent studies highlight MAP4K1 as a potential therapeutic target, particularly in cancer immunotherapy, where its inhibition may enhance antitumor immune responses. Antibodies specific to MAP4K1 aid in validating drug candidates, such as small-molecule inhibitors, and in understanding resistance mechanisms to checkpoint blockade therapies. Their application extends to biomarker discovery and mechanistic studies in preclinical models, underscoring their importance in both basic research and translational medicine.
×