首页 / 产品 / 抗体 / 一抗

Rabbit Polyclonal SYVN1(HRD1) Antibody

  • 中文名: SYVN1 (HRD1)抗体
  • 别    名: E3 ubiquitin-protein ligase synoviolin, 632-, Synovial apoptosis inhibitor 1, SYVN1, HRD1, KIAA1810
货号: IPDX34352
Price: ¥1180
数量:
大包装询价

验证与应用

应用及物种
WB 1/1000-1/2000 Human,Mouse,Rat
IF 咨询技术 Human,Mouse,Rat
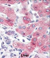
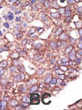
IHC 1/100-1/500 Human,Mouse,Rat
ICC 1/200 Human,Mouse,Rat
FCM 咨询技术 Human,Mouse,Rat
Elisa 咨询技术 Human,Mouse,Rat

产品详情

AliasesE3 ubiquitin-protein ligase synoviolin, 632-, Synovial apoptosis inhibitor 1, SYVN1, HRD1, KIAA1810
Entrez GeneID84447
WB Predicted band size67.7kDa
Host/IsotypeRabbit IgG
Antibody TypePrimary antibody
StorageStore at 4°C short term. Aliquot and store at -20°C long term. Avoid freeze/thaw cycles.
Species ReactivityHuman, Mouse
ImmunogenThis SYVN1 (HRD1) antibody is generated from rabbits immunized with a KLH conjugated synthetic peptide between 586-617 amino acids from the C-terminal region of human SYVN1 (HRD1).
FormulationPurified antibody in PBS with 0.05% sodium azide.

+ +

参考文献

1. **"SYVN1 Ubiquitinates IRE1α to Regulate ER Stress-Induced Apoptosis"**

- **作者**: Li et al.

- **摘要**: 研究揭示了SYVN1(HRD1)通过泛素化修饰IRE1α调控内质网应激诱导的细胞凋亡,并利用特异性抗体验证其在未折叠蛋白反应中的作用。

2. **"HRD1-Mediated Degradation of APP Protects Against Alzheimer’s Disease Pathology"**

- **作者**: Song et al.

- **摘要**: 发现SYVN1通过泛素化降解淀粉样前体蛋白(APP),减少β淀粉样蛋白生成,抗体实验证实其在阿尔茨海默病模型中的保护性功能。

3. **"Structural Basis of HRD1 Recognition by the OS-9/SEL1L Complex in ERAD"**

- **作者**: Sun et al.

- **摘要**: 通过冷冻电镜解析HRD1与OS-9/SEL1L复合物的结构,揭示底物识别机制,研究中采用HRD1抗体验证其在内质网相关降解(ERAD)中的构象变化。

4. **"HRD1 Suppresses Tumor Metastasis via Ubiquitination of E-Cadherin in Colorectal Cancer"**

- **作者**: Wang et al.

- **摘要**: 证明SYVN1通过泛素化降解E-钙黏蛋白抑制结直肠癌转移,抗体阻断实验表明其调控上皮-间充质转化(EMT)的分子机制。

背景信息

SYVN1 (HRD1), also known as HMG-CoA reductase degradation protein 1. is a critical E3 ubiquitin ligase central to the endoplasmic reticulum-associated degradation (ERAD) pathway. It plays a pivotal role in maintaining proteostasis by targeting misfolded or unassembled proteins in the ER for ubiquitination and subsequent proteasomal degradation. Structurally, SYVN1 contains a RING finger domain essential for its ligase activity and transmembrane domains anchoring it to the ER membrane. It interacts with ERAD components like SEL1L and Derlin-1 to form a complex that recognizes substrates and facilitates their retrotranslocation to the cytoplasm. Dysregulation of SYVN1 is implicated in various diseases, including neurodegenerative disorders (e.g., Alzheimer’s and Parkinson’s) due to defective protein clearance, and cancers where it may either promote tumor survival or act as a tumor suppressor depending on context. SYVN1 antibodies are widely used in research to study ER stress, protein quality control mechanisms, and disease pathology. They enable detection of SYVN1 expression levels via Western blotting, immunofluorescence for subcellular localization, and immunoprecipitation to investigate interaction networks. These tools have advanced understanding of cellular stress responses and therapeutic targeting of ERAD-related diseases.

客户数据及评论

折叠内容

大包装询价

×