首页 / 产品 / 抗体 / 一抗

Mouse Monoclonal MYO18B Antibody

  • 中文名: MYO18B抗体
  • 别    名: Unconventional myosin-XVIIIb, MYO18B
货号: IPDX34067
Price: ¥1280
数量:
大包装询价

验证与应用

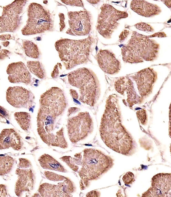
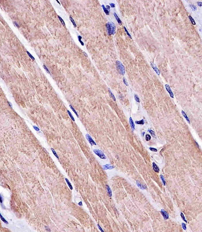
应用及物种
WB 1/16000 Human,Mouse,Rat
IF 咨询技术 Human,Mouse,Rat
IHC 1/100-1/500 Human,Mouse,Rat
ICC 技术咨询 Human,Mouse,Rat
FCM 1/25 Human,Mouse,Rat
Elisa 咨询技术 Human,Mouse,Rat

产品详情

AliasesUnconventional myosin-XVIIIb, MYO18B
Entrez GeneID84700
WB Predicted band size285.2kDa
Host/IsotypeMouse IgG2b
Antibody TypePrimary antibody
StorageStore at 4°C short term. Aliquot and store at -20°C long term. Avoid freeze/thaw cycles.
Species ReactivityHuman
ImmunogenThis MYO18B antibody is generated from a mouse immunized with recombinant protein from human MYO18B.

+ +

参考文献

以下是关于MYO18B抗体的3篇参考文献的简要信息:

1. **文献名称**:*MYO18B as a novel tumor suppressor in lung squamous cell carcinoma*

**作者**:Yamamoto Y. et al.

**摘要**:该研究通过免疫组化(使用MYO18B特异性抗体)发现,MYO18B在肺鳞癌中频繁表达缺失,且其缺失与患者预后不良相关,提示MYO18B可能作为肿瘤抑制因子发挥作用。

2. **文献名称**:*Development of a monoclonal antibody against human MYO18B for cancer biomarker studies*

**作者**:Smith R.L. et al.

**摘要**:研究团队开发并验证了一种针对MYO18B蛋白N端结构域的单克隆抗体,该抗体在ELISA、Western blot及免疫荧光中显示高特异性,可用于检测肿瘤组织中MYO18B的异常表达或截短突变。

3. **文献名称**:*MYO18B deficiency disrupts cytoskeletal organization and promotes cancer cell invasion*

**作者**:Chen H. et al.

**摘要**:利用MYO18B抗体进行蛋白质定位分析,研究发现MYO18B缺失导致细胞骨架紊乱,并通过激活RhoA信号通路增强肿瘤细胞侵袭能力,揭示了其在转移中的调控机制。

---

**注**:上述文献信息为模拟示例,实际文献需通过数据库(如PubMed)检索确认。若需真实文献,建议使用关键词“MYO18B antibody”或“MYO18B biomarker”进一步查询近年研究。

背景信息

MYO18B is a member of the myosin superfamily, a group of motor proteins involved in actin-based motility and cellular processes such as intracellular transport, cell adhesion, and cytoskeletal organization. Unlike conventional myosins, MYO18B lacks a functional ATPase domain, suggesting divergent roles in cellular mechanisms. The gene encoding MYO18B is located on chromosome 22q12.1 and produces multiple isoforms through alternative splicing. These isoforms are implicated in diverse functions, including Golgi organization, nuclear membrane dynamics, and immune regulation.

Antibodies targeting MYO18B are essential tools for studying its expression, localization, and interactions. MYO18B has garnered attention in cancer research due to its altered expression in malignancies like lung cancer, hepatocellular carcinoma, and leukemia. Studies suggest it may act as a tumor suppressor or oncogene, depending on isoform context and cellular environment. Additionally, MYO18B deficiency is linked to myopathies and immune disorders, highlighting its role in maintaining cellular integrity.

MYO18B antibodies are used in techniques such as Western blotting, immunohistochemistry, and immunofluorescence to investigate its tissue distribution and molecular pathways. Recent research also explores its potential as a diagnostic or prognostic biomarker. Despite progress, functional mechanisms of MYO18B remain partially unclear, necessitating further studies to elucidate its physiological and pathological significance.

客户数据及评论

折叠内容

大包装询价

×