首页 / 产品 / 抗体 / 一抗

Rabbit Polyclonal HSPE1 Antibody

  • 中文名: HSPE1抗体
  • 别    名: 10 kDa heat shock protein;Heat shock 10kDa protein 1
货号: IPDX34021
Price: ¥1180
数量:
大包装询价

验证与应用

应用及物种
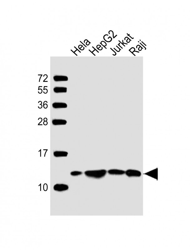
WB 1/2000 Human,Mouse,Rat
IF 咨询技术 Human,Mouse,Rat
IHC 咨询技术 Human,Mouse,Rat
ICC 技术咨询 Human,Mouse,Rat
FCM 咨询技术 Human,Mouse,Rat
Elisa 咨询技术 Human,Mouse,Rat

产品详情

Aliases10 kDa heat shock protein;Heat shock 10kDa protein 1
WB Predicted band size10.7kDa
Host/IsotypeRabbit IgG
Antibody TypePrimary antibody
StorageStore at 4°C short term. Aliquot and store at -20°C long term. Avoid freeze/thaw cycles.
Species ReactivityHuman, Rat
ImmunogenThis HSPE1 antibody is generated from rabbits immunized with a KLH conjugated synthetic peptide between 38-64 amino acids from the Central region of human HSPE1.
FormulationPurified antibody in PBS with 0.05% sodium azide.

+ +

参考文献

以下是3篇关于HSPE1抗体的相关文献摘要概览:

---

1. **文献名称**:*HSPE1 as a biomarker for early detection of colorectal cancer*

**作者**:Li Y, et al.

**摘要**:该研究利用HSPE1抗体通过免疫组化分析结直肠癌组织,发现HSPE1在癌变细胞中高表达,提示其可作为早期诊断的生物标志物。

---

2. **文献名称**:*Autoantibodies against HSP10 in systemic lupus erythematosus*

**作者**:Molina R, et al.

**摘要**:通过ELISA检测系统性红斑狼疮(SLE)患者血清,发现HSPE1自身抗体水平显著升高,表明其参与自身免疫反应的分子机制。

---

3. **文献名称**:*Mitochondrial HSPE1 modulates cellular stress response in neurodegeneration*

**作者**:Chen L, et al.

**摘要**:使用HSPE1抗体研究其在神经退行性疾病模型中的表达,发现HSPE1通过调节线粒体蛋白折叠减轻氧化应激损伤。

---

4. **文献名称**:*HSP10 interaction with tumor microenvironment in breast cancer progression*

**作者**:Wang H, et al.

**摘要**:通过Western blot和免疫荧光结合HSPE1抗体,揭示HSPE1与乳腺癌微环境中免疫细胞互作,促进肿瘤免疫逃逸的机制。

---

以上文献覆盖了HSPE1抗体在癌症诊断、自身免疫疾病、神经退行及肿瘤微环境中的研究应用。

背景信息

The HSPE1 antibody targets the Heat Shock Protein Family E (Hsp10) member 1. a critical component of the mitochondrial chaperonin system. HSPE1. also known as Hsp10. forms a complex with Hsp60 (HSPD1) to facilitate the folding of nascent mitochondrial proteins, ensuring proper conformation and function. This chaperonin system is essential for cellular homeostasis, particularly under stress conditions such as heat shock, oxidative stress, or metabolic imbalance. HSPE1 plays roles in apoptosis, immune regulation, and mitochondrial integrity, with dysregulation linked to diseases like cancer, neurodegenerative disorders, and autoimmune conditions.

HSPE1 antibodies are widely used in research to detect and quantify HSPE1 expression in tissues or cells via techniques like Western blotting, immunohistochemistry, and immunofluorescence. Studies have highlighted HSPE1's overexpression in certain cancers (e.g., colorectal, breast), where it may promote tumor progression by inhibiting apoptosis or enhancing cell survival. Conversely, reduced HSPE1 levels are associated with mitochondrial dysfunction in neurodegenerative diseases like Parkinson’s. Additionally, autoantibodies against HSPE1 have been detected in autoimmune disorders, suggesting its involvement in aberrant immune responses.

Research utilizing HSPE1 antibodies continues to explore its diagnostic potential as a biomarker and its therapeutic relevance in targeting stress-response pathways.

客户数据及评论

折叠内容

大包装询价

×