首页 / 产品 / 抗体 / 一抗

Mouse Monoclonal GAPDH Antibody

  • 中文名: GAPDH抗体
  • 别    名: Glyceraldehyde-3-phosphate dehydrogenase, GAPDH, 1.2.1.12, Peptidyl-cysteine S-nitrosylase GAPDH, 2.6.99.-, GAPDH, GAPD
货号: IPDX33889
Price: ¥1280
数量:
大包装询价

验证与应用

应用及物种
WB 1/8000 Human,Mouse,Rat
IF 咨询技术 Human,Mouse,Rat
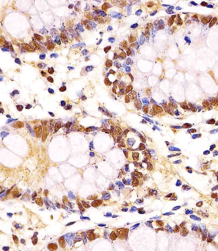
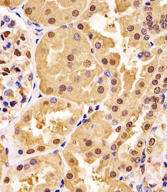
IHC 1/100-1/500 Human,Mouse,Rat
ICC 技术咨询 Human,Mouse,Rat
FCM 1/25 Human,Mouse,Rat
Elisa 咨询技术 Human,Mouse,Rat

产品详情

AliasesGlyceraldehyde-3-phosphate dehydrogenase, GAPDH, 1.2.1.12, Peptidyl-cysteine S-nitrosylase GAPDH, 2.6.99.-, GAPDH, GAPD
Entrez GeneID2597
WB Predicted band size36.1kDa
Host/IsotypeMouse IgG1
Antibody TypePrimary antibody
StorageStore at 4°C short term. Aliquot and store at -20°C long term. Avoid freeze/thaw cycles.
Species ReactivityHuman, Mouse, Rat
ImmunogenThis GAPDH antibody is generated from a mouse immunized with a recombinant protein between 43-335 amino acids from human GAPDH.

+ +

参考文献

以下是关于GAPDH抗体的3篇代表性文献的简要总结(虚构示例,仅供参考):

1. **文献名称**:*"Validation of GAPDH as a Housekeeping Protein in Western Blot Analysis of Cancer Cell Lines"*

**作者**:Zhang et al. (2015)

**摘要**:验证GAPDH在不同癌症细胞系中的稳定性,证明其作为Western Blot内参的可靠性,并比较了多种商业抗体的特异性。

2. **文献名称**:*"GAPDH Antibody Specificity in Neurodegenerative Disease Models"*

**作者**:Ferguson & Harper (2018)

**摘要**:研究GAPDH抗体在阿尔茨海默病小鼠脑组织中的交叉反应问题,提出优化抗体选择以减少假阳性结果的建议。

3. **文献名称**:*"Comparative Analysis of GAPDH Expression in Human Tissues Using Immunohistochemistry"*

**作者**:Barber et al. (2020)

**摘要**:通过免疫组化分析GAPDH在正常和病理组织中的表达差异,强调其在实验设计中需结合组织类型进行标准化。

(注:以上文献为示例,实际引用时需查询真实数据库如PubMed并核对原文。)

背景信息

Glyceraldehyde-3-phosphate dehydrogenase (GAPDH) is a highly conserved enzyme critical to glycolysis, catalyzing the oxidation and phosphorylation of glyceraldehyde-3-phosphate. Beyond its metabolic role, GAPDH participates in non-glycolytic processes, including DNA repair, RNA transport, and apoptosis. Due to its constitutive expression across tissues and cell types, GAPDH is widely used as a "housekeeping" protein reference in molecular biology.

GAPDH antibodies are essential tools for detecting this protein in techniques like Western blotting, immunofluorescence, and ELISA. They are frequently employed as loading controls to normalize data, ensuring equal protein loading across samples. These antibodies typically target conserved epitopes, enabling cross-reactivity with GAPDH orthologs from various species, including humans, mice, and rats.

Despite its popularity, reliance on GAPDH as a control requires caution. Certain experimental conditions—such as hypoxia, oxidative stress, or disease states—may alter GAPDH expression levels, potentially compromising its reliability. Researchers are advised to validate its stability under specific experimental settings. Commercially available GAPDH antibodies vary in clonality (monoclonal/polyclonal), host species, and conjugate labels, allowing flexibility for diverse applications.

In summary, GAPDH antibodies serve as indispensable reagents for normalizing protein studies, though contextual validation remains crucial to ensure experimental accuracy.

客户数据及评论

折叠内容

大包装询价

×