首页 / 产品 / 抗体 / 一抗

Rabbit Polyclonal MethionyltRNASynthetase Antibody

  • 中文名: Methionyl tRNA Synthetase抗体
  • 别    名: Methionine--tRNA ligase, mitochondrial, Methionyl-tRNA synthetase 2, Mitochondrial methionyl-tRNA synthetase, MtMetRS, MARS2
货号: IPDX33872
Price: ¥1180
数量:
大包装询价

验证与应用

应用及物种
WB 1/1000 Human,Mouse,Rat
IF 咨询技术 Human,Mouse,Rat
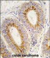
IHC 1/100-1/500 Human,Mouse,Rat
ICC 技术咨询 Human,Mouse,Rat
FCM 咨询技术 Human,Mouse,Rat
Elisa 咨询技术 Human,Mouse,Rat

产品详情

AliasesMethionine--tRNA ligase, mitochondrial, Methionyl-tRNA synthetase 2, Mitochondrial methionyl-tRNA synthetase, MtMetRS, MARS2
Entrez GeneID92935
WB Predicted band size66.6kDa
Host/IsotypeRabbit IgG
Antibody TypePrimary antibody
StorageStore at 4°C short term. Aliquot and store at -20°C long term. Avoid freeze/thaw cycles.
Species ReactivityHuman, Mouse
ImmunogenThis Methionyl tRNA Synthetase antibody is generated from rabbits immunized with a KLH conjugated synthetic peptide between 564-593 amino acids from the C-terminal region of human Methionyl tRNA Synthetase.
FormulationPurified antibody in PBS with 0.05% sodium azide,1%BSA and 50% glycerol.prepared by Saturated Ammonium Sulfate (SAS) .

+ +

参考文献

以下是3-4条关于 **Methionyl-tRNA Synthetase(抗-MetRS,抗-MARS)抗体** 的参考文献及其简要摘要内容:

---

1. **文献名称**: *"Autoantibodies to methionyl-tRNA synthetase in patients with dermatomyositis and interstitial lung disease"*

**作者**: Hirakata M, et al.

**摘要**: 该研究探讨了抗-MetRS抗体在皮肌炎(DM)和间质性肺病(ILD)患者中的临床意义,发现抗体阳性患者常表现为ILD、关节炎和皮肤病变,提示其与特定临床表型相关。

2. **文献名称**: *"Myositis-specific autoantibodies: Detection and clinical associations"*

**作者**: Targoff IN.

**摘要**: 综述了肌炎特异性自身抗体(包括抗-MetRS)的检测方法及其在诊断中的重要性,指出抗-MetRS抗体是抗合成酶综合征(ASS)的标志物,与ILD和雷诺现象密切相关。

3. **文献名称**: *"Anti-aminoacyl-tRNA synthetase antibodies in clinical course prediction of interstitial lung disease complicated by idiopathic inflammatory myopathies"*

**作者**: Betteridge Z, et al.

**摘要**: 通过分析抗-MetRS等抗合成酶抗体阳性患者的临床数据,发现这类抗体可辅助预测ILD的进展和治疗反应,强调其作为预后生物标志物的潜力。

4. **文献名称**: *"The diagnostic utility of anti-methionyl-tRNA synthetase autoantibodies in a North American cohort of antisynthetase syndrome patients"*

**作者**: Legault D, et al.

**摘要**: 研究北美人群中抗-MetRS抗体的分布及诊断价值,发现其与抗-Jo-1抗体相比具有相似的临床特征,但ILD发生率更高,支持其作为ASS诊断的重要指标。

---

以上文献聚焦于抗-MetRS抗体的临床关联性(如ILD、肌炎)、诊断价值及预后意义,覆盖了其在自身免疫性疾病(如抗合成酶综合征、皮肌炎)中的核心研究进展。

背景信息

Methionyl-tRNA synthetase (MetRS) antibodies are a subset of autoantibodies targeting methionyl-tRNA synthetase, an enzyme essential for protein synthesis. This enzyme catalyzes the attachment of methionine to its cognate tRNA during translation. In autoimmune contexts, MetRS antibodies are primarily associated with antisynthetase syndrome (ASS), a rare disorder characterized by myositis, interstitial lung disease (ILD), arthritis, Raynaud’s phenomenon, and skin rashes. Among antisynthetase antibodies, anti-Jo-1 (targeting histidyl-tRNA synthetase) is most common, while MetRS antibodies (e.g., anti-PL-12. anti-PL-7) are rarer but clinically significant.

These antibodies serve as diagnostic markers, aiding in distinguishing ASS from other connective tissue diseases. Their presence often correlates with severe ILD, a major driver of morbidity. Mechanistically, autoimmunity against MetRS may arise from molecular mimicry, viral triggers, or aberrant enzyme exposure due to tissue damage. Antibody-antigen complexes might also promote inflammation, contributing to lung and muscle pathology.

Detection methods include ELISA, immunoprecipitation, or line immunoassays. Clinically, MetRS antibody-positive patients require tailored management, often combining immunosuppressants and ILD-focused therapies. Research continues to explore their prognostic value and role in disease mechanisms, aiming to improve therapeutic strategies for this heterogeneous syndrome.

客户数据及评论

折叠内容

大包装询价

×