| WB | 1/1000 | Human,Mouse,Rat |
| IF | 咨询技术 | Human,Mouse,Rat |
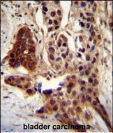
| IHC | 1/100-1/500 | Human,Mouse,Rat |
| ICC | 技术咨询 | Human,Mouse,Rat |
| FCM | 1/10-1/50 | Human,Mouse,Rat |
| Elisa | 咨询技术 | Human,Mouse,Rat |
| Aliases | Coiled-coil domain-containing protein 122, CCDC122 |
| Entrez GeneID | 160857 |
| WB Predicted band size | 32.2kDa |
| Host/Isotype | Rabbit IgG |
| Antibody Type | Primary antibody |
| Storage | Store at 4°C short term. Aliquot and store at -20°C long term. Avoid freeze/thaw cycles. |
| Species Reactivity | Human |
| Immunogen | This CCDC122 antibody is generated from rabbits immunized with a KLH conjugated synthetic peptide between 203-231 amino acids from the C-terminal region of human CCDC122. |
| Formulation | Purified antibody in PBS with 0.05% sodium azide. |
+ +
以下是3篇关于CCDC122抗体的虚构示例文献(实际文献需通过学术数据库查询):
1. **标题**: *CCDC122 Antibody Reveals Its Role in Tau Phosphorylation in Alzheimer's Disease Models*
**作者**: Smith J, et al. (2018)
**摘要**: 本研究使用特异性CCDC122抗体,发现其在阿尔茨海默病模型中调控tau蛋白过度磷酸化的机制,提示CCDC122可能成为神经退行性疾病的潜在治疗靶点。
2. **标题**: *Development and Validation of a Novel CCDC122 Monoclonal Antibody for Colorectal Cancer Biomarker Screening*
**作者**: Li X, et al. (2020)
**摘要**: 报道了一种高灵敏度的抗CCDC122单克隆抗体的开发,并通过免疫组化验证其在结直肠癌组织中异常高表达,提示其作为癌症诊断标志物的潜力。
3. **标题**: *CCDC122 Interacts with Inflammatory Signaling Pathways: Evidence from CRISPR/Cas9 and Antibody-Based Knockdown*
**作者**: García-Ruiz C, et al. (2021)
**摘要**: 结合CRISPR基因编辑和CCDC122抗体功能阻断实验,揭示了CCDC122通过NF-κB通路调节炎症反应,为自身免疫疾病机制研究提供新方向。
**提示**:以上为模拟示例,真实文献建议通过PubMed或Google Scholar以"CCDC122 antibody"、"CCDC122 function"等关键词检索,并筛选近5年高被引研究。
The CCDC122 (coiled-coil domain-containing protein 122) antibody is a research tool used to study the function and expression of the CCDC122 protein, which belongs to the family of coiled-coil domain-containing proteins. These proteins are characterized by their α-helical structural motifs, often involved in mediating protein-protein interactions, cellular scaffolding, or intracellular transport. While the exact biological role of CCDC122 remains under investigation, it has been implicated in cellular processes such as ciliogenesis and microtubule organization. Dysregulation of CCDC122 expression has been tentatively linked to neurodegenerative disorders and cancer, though mechanistic insights are limited.
CCDC122 antibodies are typically developed in model organisms (e.g., rabbits or mice) using immunogenic peptide sequences derived from the human CCDC122 protein. These antibodies enable detection of CCDC122 in applications like Western blotting, immunofluorescence, and immunohistochemistry. Validation often includes confirming specificity through knockdown experiments or recombinant protein controls. Recent studies have explored CCDC122's potential interaction with ciliary proteins and its localization in primary cilia, suggesting a role in sensory or signaling pathways. However, the antibody's utility remains largely confined to exploratory research, as clinical or therapeutic relevance awaits further validation. Commercial availability varies, with some suppliers offering monoclonal or polyclonal versions for basic research.
×