首页 / 产品 / 抗体 / 一抗

Rabbit Polyclonal HSP90B1 Antibody

  • 中文名: HSP90B1抗体
  • 别    名: Endoplasmin, 94 kDa glucose-regulated protein, GRP-94, Heat shock protein 90 kDa beta member 1, Tumor rejection antigen 1, gp96 homolog, HSP90B1, GRP94, TRA1
货号: IPDX32784
Price: ¥1180
数量:
大包装询价

验证与应用

应用及物种
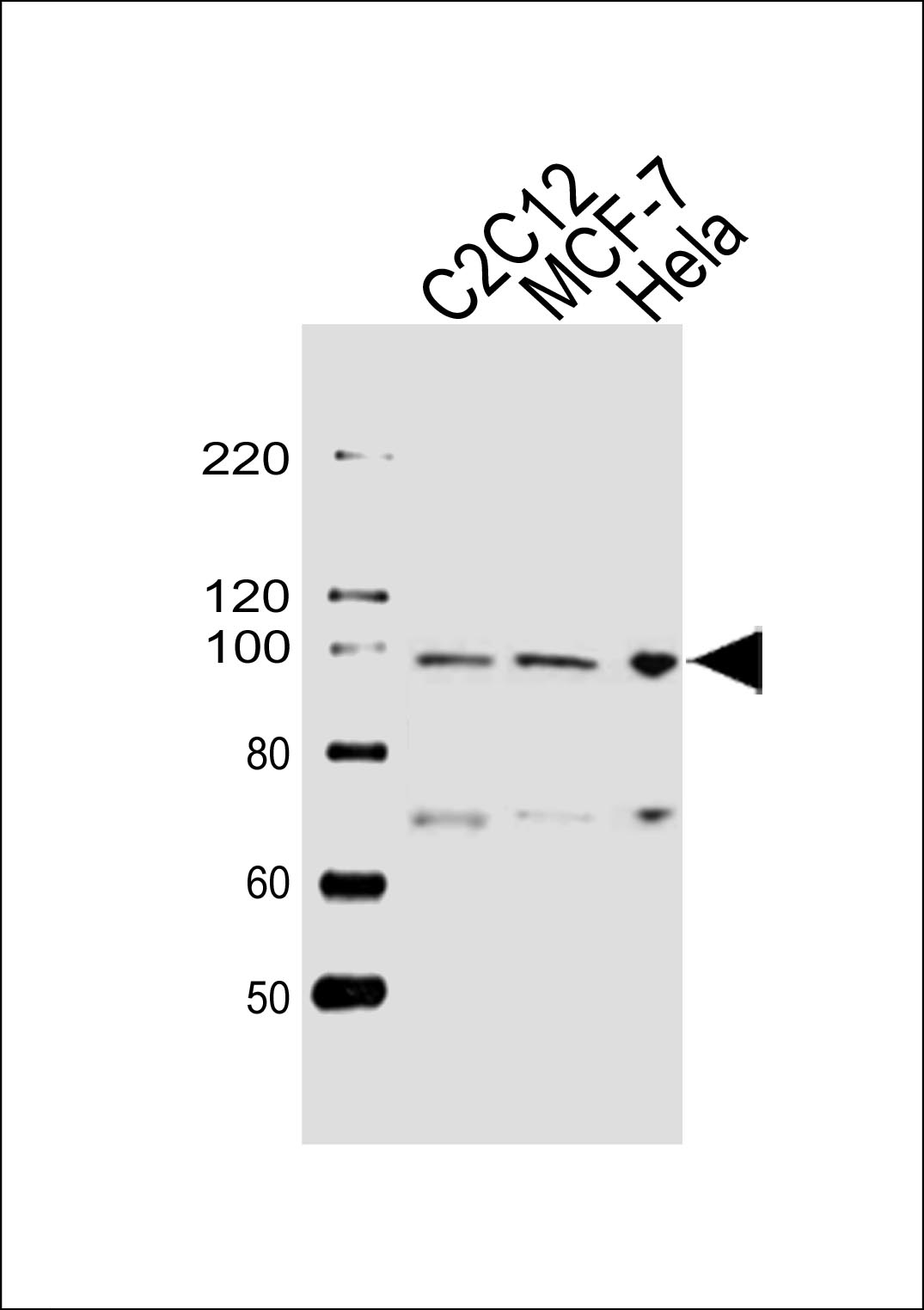
WB 1/1000 Human,Mouse,Rat
IF 咨询技术 Human,Mouse,Rat
IHC 1/100-1/500 Human,Mouse,Rat
ICC 技术咨询 Human,Mouse,Rat
FCM 1/10-1/50 Human,Mouse,Rat
Elisa 咨询技术 Human,Mouse,Rat

产品详情

AliasesEndoplasmin, 94 kDa glucose-regulated protein, GRP-94, Heat shock protein 90 kDa beta member 1, Tumor rejection antigen 1, gp96 homolog, HSP90B1, GRP94, TRA1
Entrez GeneID7184
WB Predicted band size92.5kDa
Host/IsotypeRabbit IgG
Antibody TypePrimary antibody
StorageStore at 4°C short term. Aliquot and store at -20°C long term. Avoid freeze/thaw cycles.
Species ReactivityHuman, Mouse, Rat
ImmunogenThis HSP90B1 antibody is generated from rabbits immunized with a KLH conjugated synthetic peptide between 460-487 amino acids from the Central region of human HSP90B1.
FormulationPurified antibody in PBS with 0.05% sodium azide.

+ +

参考文献

以下是关于HSP90B1抗体的3篇参考文献,涵盖其功能研究及疾病关联:

---

1. **文献名称**:*HSP90B1 (GRP94) is a novel target of the unfolded protein response and activated during endoplasmic reticulum stress*

**作者**:Lee AS 等

**摘要**:该研究首次揭示HSP90B1(GRP94)作为未折叠蛋白反应(UPR)的关键调控因子,在内质网应激时被特异性激活,并通过其分子伴侣功能维持内质网稳态,为癌症和代谢疾病研究提供新方向。

---

2. **文献名称**:*GRP94 in immune diseases: a review of its function and clinical application*

**作者**:Zhang Y 等

**摘要**:系统性综述HSP90B1(GRP94)在自身免疫疾病及肿瘤免疫中的作用,强调其通过调节抗原呈递和免疫细胞活性影响疾病进程,并探讨靶向GRP94的抗体在免疫治疗中的潜在应用。

---

3. **文献名称**:*Antibody-mediated targeting of GRP94 enhances anti-tumor immunity in murine models*

**作者**:Wang L 等

**摘要**:通过小鼠模型验证抗HSP90B1抗体可通过阻断肿瘤细胞表面GRP94与免疫细胞的相互作用,抑制肿瘤生长并增强T细胞抗肿瘤活性,为开发基于GRP94抗体的癌症疗法提供实验依据。

---

上述文献覆盖HSP90B1的分子机制、疾病关联及治疗应用,相关研究多发表于《Molecular Cell》《Nature Communications》等期刊,建议结合具体实验需求进一步筛选。

背景信息

HSP90B1. also known as GRP94 or gp96. is a member of the heat shock protein 90 (HSP90) family localized in the endoplasmic reticulum (ER). Unlike cytosolic HSP90 isoforms, HSP90B1 functions as a key molecular chaperone in the ER lumen, assisting in the folding and maturation of secretory and membrane-bound proteins, including immunoglobulins, integrins, and Toll-like receptors. It plays a critical role in maintaining ER homeostasis and participates in the unfolded protein response (UPR) during cellular stress.

HSP90B1 is implicated in immune regulation, as it binds to antigenic peptides and interacts with major histocompatibility complex (MHC) class I molecules, facilitating antigen presentation. Its dysregulation is linked to diseases such as cancer, autoimmune disorders, and neurodegenerative conditions. In cancer, HSP90B1 overexpression supports tumor survival by stabilizing oncogenic client proteins and promoting metastasis.

Antibodies targeting HSP90B1 are essential tools for studying its expression, localization, and interactions. They are widely used in techniques like Western blotting, immunohistochemistry, and co-immunoprecipitation to investigate its role in ER stress, protein quality control, and disease mechanisms. Additionally, HSP90B1-specific antibodies have therapeutic potential, with research exploring their use in blocking chaperone activity or delivering targeted therapies. These antibodies also aid in biomarker discovery, as HSP90B1 levels in bodily fluids may correlate with disease progression or treatment response.

客户数据及评论

折叠内容

大包装询价

×