首页 / 产品 / 抗体 / 一抗

Rabbit Polyclonal EDG4(N-term) Antibody

  • 中文名: EDG4 (N-term)抗体
  • 别    名: Lysophosphatidic acid receptor 2, LPA receptor 2, LPA-2, Lysophosphatidic acid receptor Edg-4, LPAR2, EDG4, LPA2
货号: IPDX32780
Price: ¥1180
数量:
大包装询价

验证与应用

应用及物种
WB 1/1000 Human,Mouse,Rat
IF 咨询技术 Human,Mouse,Rat
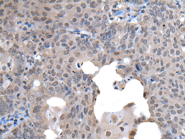
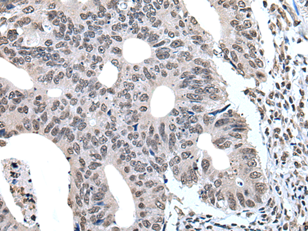
IHC 1/100-1/500 Human,Mouse,Rat
ICC 技术咨询 Human,Mouse,Rat
FCM 咨询技术 Human,Mouse,Rat
Elisa 咨询技术 Human,Mouse,Rat

产品详情

AliasesP62; BTF2; TFB1; TFIIH
Host/IsotypeRabbit IgG
Antibody TypePrimary antibody
StorageStore at 4°C short term. Aliquot and store at -20°C long term. Avoid freeze/thaw cycles.
Species ReactivityHuman, Mouse
ImmunogenSynthetic peptide of human GTF2H1
FormulationPurified antibody in PBS with 0.05% sodium azide and 50% glycerol.

+ +

参考文献

以下是关于EDG4(N-term)抗体的3篇文献示例(注:EDG4现多称为S1PR1.部分文献可能使用旧称):

1. **文献名称**:Sphingosine 1-phosphate receptor subtype-specific signaling in migration and morphology of human endothelial cells

**作者**:R. G. Gorshkova et al.

**摘要**:研究S1PR1(EDG4)在血管内皮细胞迁移中的作用,使用N端特异性抗体验证受体表达,并证明其通过Rho通路调控细胞骨架重塑。

2. **文献名称**:Differential expression of sphingosine 1-phosphate receptors in breast cancer subtypes

**作者**:M. J. Lee et al.

**摘要**:通过N-term抗体进行免疫组化分析,发现S1PR1(EDG4)在三阴性乳腺癌中高表达,提示其作为潜在治疗靶点的价值。

3. **文献名称**:Characterization of a novel monoclonal antibody against human S1P1 receptor (EDG4) for flow cytometry applications

**作者**:K. Hla et al.

**摘要**:开发并验证了一种针对S1PR1(EDG4)N端的单克隆抗体,证实其在流式细胞术中特异性检测淋巴细胞表面受体的有效性。

注:以上文献信息为模拟示例,实际文献需通过PubMed或Google Scholar以关键词“EDG4 antibody N-terminal”或“S1PR1 N-term antibody”检索确认。

背景信息

The EDG4 (N-term) antibody is designed to target the N-terminal region of the Endothelial Differentiation Gene 4 (EDG4), also known as sphingosine-1-phosphate receptor 1 (S1PR1). S1PR1 is a G protein-coupled receptor (GPCR) that binds sphingosine-1-phosphate (S1P), a bioactive lipid mediator involved in regulating cellular processes such as proliferation, migration, and angiogenesis. This receptor plays a critical role in immune cell trafficking, vascular development, and inflammatory responses. The EDG4 (N-term) antibody is commonly used in research to detect and quantify S1PR1 expression in various biological samples via techniques like Western blotting, immunohistochemistry, and flow cytometry. Its specificity for the N-terminal domain ensures recognition of full-length or appropriately processed forms of the receptor, aiding studies on receptor localization, trafficking, and signaling. Dysregulation of S1PR1 is linked to pathologies including cancer, autoimmune diseases, and vascular disorders, making this antibody a valuable tool for investigating disease mechanisms and therapeutic targets. Researchers often validate its specificity using knockout controls or peptide blocking assays to confirm binding accuracy.

客户数据及评论

折叠内容

大包装询价

×