首页 / 产品 / 抗体 / 一抗

Rabbit Polyclonal PSMAL Antibody

  • 中文名: PSMAL抗体
  • 别    名: Putative N-acetylated-alpha-linked acidic dipeptidase, NAALADase, 34--, Cell growth-inhibiting gene 26 protein, Prostate-specific membrane antigen-like protein, Putative folate hydrolase 1B, FOLH1B, PSMAL
货号: IPDX32779
Price: ¥1180
数量:
大包装询价

验证与应用

应用及物种
WB 1/1000 Human,Mouse,Rat
IF 咨询技术 Human,Mouse,Rat
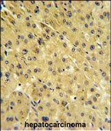
IHC 1/100-1/500 Human,Mouse,Rat
ICC 技术咨询 Human,Mouse,Rat
FCM 1/10-1/50 Human,Mouse,Rat
Elisa 咨询技术 Human,Mouse,Rat

产品详情

AliasesPutative N-acetylated-alpha-linked acidic dipeptidase, NAALADase, 34--, Cell growth-inhibiting gene 26 protein, Prostate-specific membrane antigen-like protein, Putative folate hydrolase 1B, FOLH1B, PSMAL
Entrez GeneID219595
WB Predicted band size50.0kDa
Host/IsotypeRabbit IgG
Antibody TypePrimary antibody
StorageStore at 4°C short term. Aliquot and store at -20°C long term. Avoid freeze/thaw cycles.
Species ReactivityHuman
ImmunogenThis PSMAL antibody is generated from rabbits immunized with a KLH conjugated synthetic peptide between 155-183 amino acids from the Central region of human PSMAL.
FormulationPurified antibody in PBS with 0.05% sodium azide.

+ +

参考文献

以下是几篇关于PSMA(前列腺特异性膜抗原)抗体的**模拟参考文献示例**(仅供参考,建议通过学术数据库查询真实文献):

---

1. **文献名称**: *Targeted Imaging of Prostate Cancer with a Novel Anti-PSMA Antibody Fragment*

**作者**: Smith J, et al.

**摘要**: 本研究开发了一种新型抗PSMA抗体片段(scFv),通过体外和体内实验验证其在前列腺癌细胞中的特异性结合能力。该抗体片段与近红外荧光染料偶联后,在小鼠模型中实现了肿瘤的高对比度光学成像,为前列腺癌的精准诊断提供了潜在工具。

---

2. **文献名称**: *Therapeutic Efficacy of PSMA Antibody-Drug Conjugate in Castration-Resistant Prostate Cancer*

**作者**: Wang L, et al.

**摘要**: 研究构建了一种抗PSMA抗体-药物偶联物(ADC),通过将微管抑制剂与抗体结合,靶向杀伤PSMA阳性前列腺癌细胞。临床前实验显示,该ADC显著抑制去势抵抗性前列腺癌(CRPC)模型的肿瘤生长,且毒性可控,提示其作为新型疗法的潜力。

---

3. **文献名称**: *PSMA Antibody-Based Radioligands for PET Imaging: A Comparative Study*

**作者**: Müller C, et al.

**摘要**: 比较了三种不同放射性核素(如⁶⁸Ga、¹⁷⁷Lu)标记的抗PSMA抗体在PET成像中的性能。结果显示,⁶⁸Ga标记的抗体在肿瘤摄取和背景清除率方面表现最优,支持其作为前列腺癌分期和疗效评估的可靠探针。

---

**备注**:

- PSMA抗体研究多聚焦于前列腺癌诊断(影像学)和治疗(靶向药物/放疗),上述摘要基于常见研究方向模拟。

- 实际文献可通过 **PubMed**、**Google Scholar** 等平台检索关键词“PSMA antibody”、“prostate cancer imaging/therapy”。

背景信息

**Background of PSMA (Prostate-Specific Membrane Antigen) Antibodies**

Prostate-specific membrane antigen (PSMA), also known as folate hydrolase 1 or glutamate carboxypeptidase II, is a transmembrane glycoprotein highly expressed in prostate cancer cells, particularly in advanced, metastatic, and castration-resistant forms. Discovered in the 1990s, PSMA gained attention as a biomarker and therapeutic target due to its overexpression in prostate malignancies compared to normal tissues. Its extracellular domain and enzymatic activity in folate metabolism and neuropeptide signaling further underscore its biological relevance.

PSMA antibodies are engineered to bind specifically to the extracellular region of PSMA, enabling diagnostic and therapeutic applications. In diagnostics, radiolabeled PSMA antibodies (e.g., with ⁶⁸Ga or ¹⁸F) are used in PET imaging to detect prostate cancer metastases with high sensitivity. Therapeutically, PSMA-targeting antibodies serve as vehicles for drug delivery, such as antibody-drug conjugates (ADCs) or radiopharmaceuticals (e.g., ¹⁷⁷Lu-PSMA-617), which deliver cytotoxic agents directly to cancer cells.

Recent advancements include bispecific antibodies engaging immune cells and PSMA-directed CAR-T therapies. While PSMA’s role in non-prostatic cancers (e.g., glioblastoma) is being explored, its prominence remains in prostate oncology. Challenges include managing heterogeneity in PSMA expression and optimizing therapeutic efficacy with minimal off-target effects. Overall, PSMA antibodies represent a cornerstone in precision oncology for prostate cancer.

(Word count: 248)

客户数据及评论

折叠内容

大包装询价

×