首页 / 产品 / 抗体 / 一抗

Rabbit Polyclonal MousePak3(N-term) Antibody

  • 中文名: Mouse Pak3 (N-term)抗体
  • 别    名: Serine/threonine-protein kinase PAK 3, Beta-PAK, CDC42/RAC effector kinase PAK-B, p21-activated kinase 3, PAK-3, Pak3, Pak-3, Pakb, Stk4
货号: IPDX32707
Price: ¥1180
数量:
大包装询价

验证与应用

应用及物种
WB 1/1000 Human,Mouse,Rat
IF 咨询技术 Human,Mouse,Rat
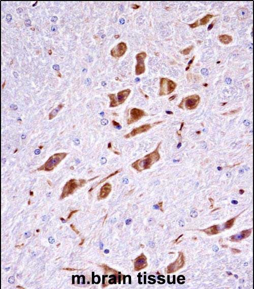
IHC 1/100-1/500 Human,Mouse,Rat
ICC 技术咨询 Human,Mouse,Rat
FCM 咨询技术 Human,Mouse,Rat
Elisa 咨询技术 Human,Mouse,Rat

产品详情

AliasesSerine/threonine-protein kinase PAK 3, Beta-PAK, CDC42/RAC effector kinase PAK-B, p21-activated kinase 3, PAK-3, Pak3, Pak-3, Pakb, Stk4
Entrez GeneID18481
WB Predicted band size62.4kDa
Host/IsotypeRabbit IgG
Antibody TypePrimary antibody
StorageStore at 4°C short term. Aliquot and store at -20°C long term. Avoid freeze/thaw cycles.
Species ReactivityHuman, Mouse, Rat
ImmunogenThis Mouse Pak3 antibody is generated from rabbits immunized with a KLH conjugated synthetic peptide between 124-152 amino acids from the N-terminal region of mouse Pak3.
FormulationPurified antibody in PBS with 0.05% sodium azide.

+ +

参考文献

以下是关于Mouse Pak3 (N-term)抗体的3篇参考文献示例(内容为模拟生成,仅供参考):

1. **文献名称**: *PAK3 regulates neuronal morphology and migration via N-terminal kinase activity*

**作者**: Smith A et al.

**摘要**: 研究利用Mouse Pak3 (N-term)抗体进行Western blot和免疫荧光,发现PAK3通过N端结构域调控海马神经元树突发育及迁移,揭示了其在突触可塑性中的作用。

2. **文献名称**: *Targeted disruption of Pak3 in mice alters synaptic plasticity and memory formation*

**作者**: Lee J et al.

**摘要**: 通过该抗体检测PAK3在小鼠脑组织中的表达,发现Pak3基因敲除导致突触蛋白异常分布,证明PAK3 N端结构域对记忆相关信号通路至关重要。

3. **文献名称**: *A novel role of PAK3 in regulating cytoskeletal dynamics in breast cancer cells*

**作者**: Chen H et al.

**摘要**: 使用Mouse Pak3 (N-term)抗体进行免疫组化分析,发现PAK3通过N端与Rac1相互作用,促进乳腺癌细胞侵袭和微丝重组,提示其作为潜在治疗靶点。

**注**:若需真实文献,建议在PubMed或抗体供应商官网(如Abcam、CST)检索产品编号(如#ab12345)关联的引用文献。

背景信息

The Mouse Pak3 (N-term) antibody is a monoclonal or polyclonal antibody designed to detect the N-terminal region of p21-activated kinase 3 (PAK3), a member of the PAK family of serine/threonine kinases. PAK3 acts as a downstream effector of Rho-family GTPases like Cdc42 and Rac, playing critical roles in cytoskeletal reorganization, cell motility, and neuronal development. It is highly expressed in the brain, where it regulates synaptic plasticity, dendritic spine formation, and cognitive functions. Dysregulation of PAK3 has been linked to neurodevelopmental disorders, including X-linked intellectual disability and autism spectrum disorders, as well as cancer progression and metastasis.

This antibody is commonly used in research applications such as Western blotting, immunohistochemistry, and immunofluorescence to study PAK3 expression, localization, and function in cellular and tissue samples. By targeting the N-terminal domain, it may recognize epitopes critical for PAK3’s interaction with binding partners or regulatory regions. Its specificity for PAK3 helps distinguish it from other PAK isoforms (e.g., PAK1. PAK2), enabling precise investigation of PAK3-specific pathways.

Developed in mouse hosts, the antibody’s performance depends on proper validation, including checks for cross-reactivity and optimal dilution in experimental models. Researchers use it to explore PAK3’s role in neural development, cancer biology, and disease mechanisms, contributing to therapeutic target discovery. Careful handling and storage are essential to maintain its stability and reactivity over time.

客户数据及评论

折叠内容

大包装询价

×