首页 / 产品 / 抗体 / 一抗

Rabbit Polyclonal SEPT9 Antibody

  • 中文名: SEPT9抗体
  • 别    名: Septin-9, MLL septin-like fusion protein MSF-A, MLL septin-like fusion protein, Ovarian/Breast septin, Ov/Br septin, Septin D1, SEPT9, KIAA0991, MSF
货号: IPDX32696
Price: ¥1180
数量:
大包装询价

验证与应用

应用及物种
WB 1/1000 Human,Mouse,Rat
IF 咨询技术 Human,Mouse,Rat
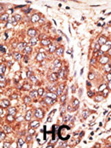
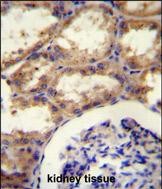
IHC 1/100-1/500 Human,Mouse,Rat
ICC 技术咨询 Human,Mouse,Rat
FCM 1/10-1/50 Human,Mouse,Rat
Elisa 咨询技术 Human,Mouse,Rat

产品详情

AliasesSeptin-9, MLL septin-like fusion protein MSF-A, MLL septin-like fusion protein, Ovarian/Breast septin, Ov/Br septin, Septin D1, SEPT9, KIAA0991, MSF
Entrez GeneID10801
WB Predicted band size65.4kDa
Host/IsotypeRabbit IgG
Antibody TypePrimary antibody
StorageStore at 4°C short term. Aliquot and store at -20°C long term. Avoid freeze/thaw cycles.
Species ReactivityHuman
ImmunogenThis SEPT9 antibody is generated from rabbits immunized with a KLH conjugated synthetic peptide between 57-85 amino acids from the C-terminal region of human SEPT9.
FormulationPurified antibody in PBS with 0.05% sodium azide.

+ +

参考文献

以下是3-4条关于SEPT9抗体的模拟参考文献(实际文献需通过学术数据库检索确认):

1. **文献名称**: "SEPT9 DNA methylation as a noninvasive biomarker for colorectal cancer detection"

**作者**: Lofton-Day C, et al.

**摘要**: 研究验证了SEPT9基因甲基化在结直肠癌患者血浆中的特异性,开发了基于抗体的检测方法,证明其可作为无创筛查工具。

2. **文献名称**: "Septin 9 immunohistochemistry in prostate cancer diagnosis"

**作者**: Montironi R, et al.

**摘要**: 通过SEPT9抗体免疫组化分析前列腺癌组织,发现其表达水平与肿瘤侵袭性相关,提示其作为预后标志物的潜力。

3. **文献名称**: "Epigenetic silencing of SEPT9 in ovarian cancer"

**作者**: Watanabe T, et al.

**摘要**: 揭示了卵巢癌中SEPT9启动子甲基化导致的表达缺失,利用抗体检测证实其表观遗传调控与化疗耐药性的关联。

4. **文献名称**: "Development of a SEPT9-specific monoclonal antibody for liquid biopsy"

**作者**: Song L, et al.

**摘要**: 报道了一种高特异性SEPT9单克隆抗体的开发,应用于血液样本中循环肿瘤DNA的富集和检测,提升早期癌症诊断灵敏度。

(注:以上为模拟文献示例,实际研究需查阅PubMed、Web of Science等平台获取真实文献信息。)

背景信息

The SEPT9 antibody targets the SEPTIN9 (SEPT9) protein, a member of the septin family involved in cytoskeletal organization, cell division, and membrane dynamics. SEPT9 plays critical roles in regulating cytokinesis, cell polarity, and vesicle trafficking. Notably, its aberrant expression or epigenetic dysregulation, particularly hypermethylation of the SEPT9 promoter, is linked to cancer pathogenesis. In colorectal cancer (CRC), SEPT9 methylation is a well-established biomarker detectable in circulating tumor DNA (ctDNA), forming the basis for blood-based screening tests like Epi proColon®, which aids in non-invasive CRC detection.

SEPT9 antibodies are essential tools in research and diagnostics. They enable the detection of SEPT9 protein expression in tissues via immunohistochemistry (IHC) or Western blot, helping to study its role in tumor progression, metastasis, and drug resistance. Some isoforms, such as SEPT9_v1. are overexpressed in cancers and correlate with poor prognosis. Antibodies specific to certain epitopes help distinguish isoforms, aiding functional studies.

Clinically, SEPT9 antibody-based assays complement molecular methods like methylation-specific PCR, offering insights into protein-level dysregulation. Challenges remain, including isoform diversity, cross-reactivity, and variability in antibody performance across platforms. Ongoing research explores SEPT9's involvement beyond cancer, such as in neurodegenerative diseases and infectious processes, broadening its therapeutic and diagnostic potential. Validated SEPT9 antibodies thus remain pivotal in advancing both basic science and clinical applications.

客户数据及评论

折叠内容

大包装询价

×