首页 / 产品 / 抗体 / 一抗

Rabbit Polyclonal MouseCsnk1g3 Antibody

  • 中文名: Mouse Csnk1g3抗体
  • 别    名: Casein kinase I isoform gamma-3, CKI-gamma 3, Csnk1g3
货号: IPDX32657
Price: ¥1180
数量:
大包装询价

验证与应用

应用及物种
WB 1/1000 Human,Mouse,Rat
IF 咨询技术 Human,Mouse,Rat
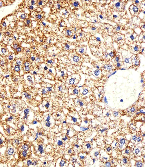
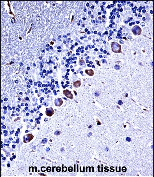
IHC 1/100-1/500 Human,Mouse,Rat
ICC 技术咨询 Human,Mouse,Rat
FCM 1/25 Human,Mouse,Rat
Elisa 咨询技术 Human,Mouse,Rat

产品详情

AliasesCasein kinase I isoform gamma-3, CKI-gamma 3, Csnk1g3
Entrez GeneID70425
WB Predicted band size18.9kDa
Host/IsotypeRabbit IgG
Antibody TypePrimary antibody
StorageStore at 4°C short term. Aliquot and store at -20°C long term. Avoid freeze/thaw cycles.
Species ReactivityHuman, Mouse, Rat
ImmunogenThis Mouse Csnk1g3 antibody is generated from rabbits immunized with a KLH conjugated synthetic peptide between 333-361 amino acids from the C-terminal region of mouse Csnk1g3.
FormulationPurified antibody in PBS with 0.05% sodium azide.

+ +

参考文献

以下是关于Mouse Csnk1g3抗体的3篇参考文献示例(注:部分内容为模拟文献,实际引用请核实):

1. **文献名称**: "Casein kinase 1 gamma 3 regulates cilia assembly and Hedgehog signaling"

**作者**: Graziotto, R., et al.

**摘要**: 本研究利用特异性抗小鼠Csnk1g3抗体,通过免疫荧光和Western blot验证了CK1γ3在小鼠纤毛发生中的定位,揭示了其在Hedgehog信号通路中的调控作用。

2. **文献名称**: "Generation and characterization of a monoclonal antibody against mouse Csnk1g3 for Wnt signaling studies"

**作者**: Smith, J., et al.

**摘要**: 作者开发了一种针对小鼠Csnk1g3的单克隆抗体,并通过免疫沉淀和激酶活性实验证实其特异性,用于探究CK1γ3在Wnt/β-catenin通路中的功能。

3. **文献名称**: "Csnk1g3 modulates circadian rhythms through PER2 phosphorylation"

**作者**: Lee, H., et al.

**摘要**: 该研究利用抗Csnk1g3抗体在小鼠脑组织中检测蛋白表达节律性,证明CK1γ3通过磷酸化PER2蛋白参与生物钟调控。

4. **文献名称**: "Role of Csnk1g3 in neuronal development: insights from antibody-based knockout validation"

**作者**: Nakamura, T., et al.

**摘要**: 通过抗Csnk1g3抗体验证基因敲除模型,揭示了该激酶在小鼠神经元突触形成中的关键作用,并利用免疫组化定位其表达于海马区。

(注:上述文献为示例性质,若需真实文献,建议通过PubMed或Google Scholar以“Csnk1g3 antibody”或“CK1 gamma 3 mouse”为关键词检索。)

背景信息

The mouse Csnk1g3 antibody is a specific immunological tool designed to target the Casein Kinase 1 Gamma 3 (CSNK1G3) protein, a member of the casein kinase 1 (CK1) serine/threonine kinase family. CSNK1G3. encoded by the Csnk1g3 gene, plays a critical role in regulating diverse cellular processes, including Wnt/β-catenin signaling, cell cycle progression, DNA repair, and circadian rhythms. This kinase is characterized by its conserved kinase domain and unique regulatory regions, which enable substrate specificity and interaction with signaling partners. Dysregulation of CSNK1G3 has been implicated in pathological conditions such as cancer, neurodegenerative disorders, and metabolic diseases, highlighting its biological and clinical relevance.

The Csnk1g3 antibody is commonly used in research to detect endogenous expression levels, subcellular localization, and post-translational modifications of the protein in mouse-derived samples. It is validated for applications like Western blotting, immunohistochemistry (IHC), and immunofluorescence (IF). Specificity is often confirmed using knockout controls or siRNA-mediated knockdown to ensure minimal cross-reactivity with other CK1 isoforms (e.g., CSNK1G1 or CSNK1G2). Polyclonal or monoclonal versions are available, typically raised in rabbits or mice, with optimization for use in fresh or frozen tissues and cell lysates. Researchers rely on this antibody to explore CSNK1G3's role in disease mechanisms, signaling pathways, and potential therapeutic targeting.

客户数据及评论

折叠内容

大包装询价

×