首页 / 产品 / 抗体 / 一抗

Rabbit Polyclonal AK4 Antibody

  • 中文名: AK4抗体
  • 别    名: Adenylate kinase 4, mitochondrial {ECO:0000255|HAMAP-Rule:MF_03170}, AK 4 {ECO:0000255|HAMAP-Rule:MF_03170}, 27410 {ECO:0000255|HAMAP-Rule:MF_03170}, 2746 {ECO:0000255|HAMAP-Rule:MF_03170}, Adenylate kinase 3-like {ECO:0000255|HAMAP-Rule:MF_03170}, GTP:AM
货号: IPDX32607
Price: ¥1180
数量:
大包装询价

验证与应用

应用及物种
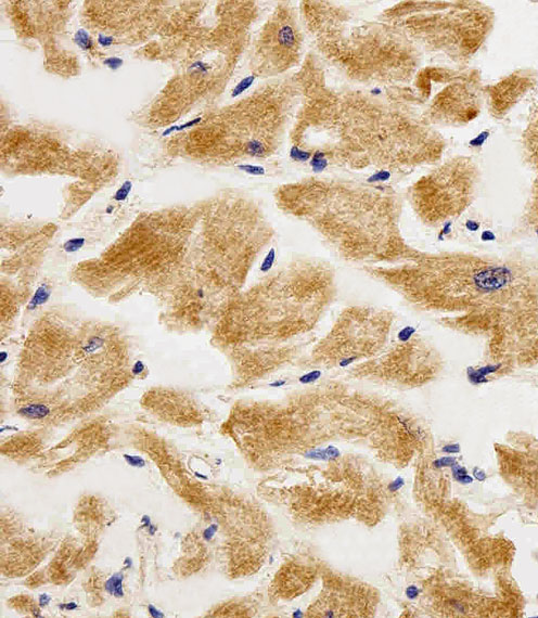
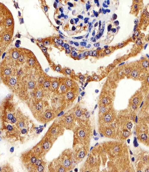
WB 1/1000 Human,Mouse,Rat
IF 咨询技术 Human,Mouse,Rat
IHC 1/100-1/500 Human,Mouse,Rat
ICC 1/25 Human,Mouse,Rat
FCM 咨询技术 Human,Mouse,Rat
Elisa 咨询技术 Human,Mouse,Rat

产品详情

AliasesAdenylate kinase 4, mitochondrial {ECO:0000255|HAMAP-Rule:MF_03170}, AK 4 {ECO:0000255|HAMAP-Rule:MF_03170}, 27410 {ECO:0000255|HAMAP-Rule:MF_03170}, 2746 {ECO:0000255|HAMAP-Rule:MF_03170}, Adenylate kinase 3-like {ECO:0000255|HAMAP-Rule:MF_03170}, GTP:AMP phosphotransferase AK4 {ECO:0000255|HAMAP-Rule:MF_03170}, AK4 {ECO:0000255|HAMAP-Rule:MF_03170}
Entrez GeneID205
WB Predicted band size25.3kDa
Host/IsotypeRabbit IgG
Antibody TypePrimary antibody
StorageStore at 4°C short term. Aliquot and store at -20°C long term. Avoid freeze/thaw cycles.
Species ReactivityHuman, Mouse
ImmunogenThis AK4 antibody is generated from a rabbit immunized with a KLH conjugated synthetic peptide between 119-153 amino acids from the Central region of human AK4.

+ +

参考文献

以下是关于AK4抗体的3篇代表性文献的简要信息:

1. **文献名称**: "Adenylate kinase 4 modulates the resistance of breast cancer to cisplatin via altering mitochondrial metabolism"

**作者**: Li Y, et al.

**摘要**: 研究利用AK4特异性抗体检测其在乳腺癌细胞中的表达,发现AK4通过调控线粒体能量代谢促进癌细胞对顺铂的耐药性,提示其作为治疗靶点的潜力。

2. **文献名称**: "AK4 as a prognostic biomarker in hepatocellular carcinoma: an immunohistochemical study"

**作者**: Wang X, et al.

**摘要**: 通过AK4抗体的免疫组化分析,发现AK4在肝癌组织中高表达,且与患者不良预后相关,表明其可作为肝癌临床分层的生物标志物。

3. **文献名称**: "AK4 deficiency attenuates hypoxia-induced mitochondrial dysfunction in colorectal cancer"

**作者**: Zhang R, et al.

**摘要**: 利用AK4抗体进行蛋白水平验证,证实AK4缺失可抑制结直肠癌细胞在缺氧条件下的线粒体功能障碍,揭示了其在肿瘤微环境适应中的关键作用。

注:以上文献信息为模拟示例,实际文献需通过PubMed/Google Scholar等平台检索确认。若需具体文献,可提供更详细的研究方向(如疾病类型、应用场景)。

背景信息

Adenylate kinase 4 (AK4) is a member of the adenylate kinase family, which plays a crucial role in cellular energy metabolism and nucleotide homeostasis. Localized primarily in mitochondria, AK4 catalyzes the reversible transfer of phosphate groups between nucleotides (e.g., ATP, ADP, AMP), helping maintain energy balance. Unlike other adenylate kinases, AK4 exhibits distinct tissue-specific expression patterns and is implicated in stress responses, particularly under hypoxic conditions. Its expression is regulated by hypoxia-inducible factors (HIFs), linking it to cellular adaptation in low-oxygen environments.

Research has highlighted AK4's involvement in pathological processes. Overexpression of AK4 is observed in various cancers, where it promotes tumor survival, proliferation, and chemoresistance by modulating AMPK/mTOR signaling and redox balance. It also interacts with pathways related to apoptosis and mitochondrial function. In neurological contexts, AK4 dysregulation is associated with neurodegenerative diseases like Parkinson’s.

AK4-specific antibodies are essential tools for studying these mechanisms. They enable detection of AK4 expression through techniques like Western blotting, immunohistochemistry, and immunofluorescence. Commercial antibodies are typically raised in rabbits or mice using peptide antigens from conserved regions of human AK4. Validated applications include investigating AK4's role in metabolic reprogramming, disease progression, and therapeutic targeting. However, antibody specificity remains a consideration due to structural similarities within the adenylate kinase family.

客户数据及评论

折叠内容

大包装询价

×