首页 / 产品 / 抗体 / 一抗

Mouse Monoclonal PPT1 Antibody

  • 中文名: PPT1抗体
  • 别    名: Palmitoyl-protein thioesterase 1, PPT-1, Palmitoyl-protein hydrolase 1, PPT1, PPT
货号: IPDX32586
Price: ¥1280
数量:
大包装询价

验证与应用

应用及物种
WB 1/1000 Human
IF 咨询技术 Human,Mouse,Rat
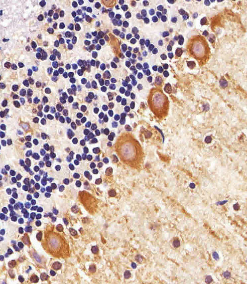
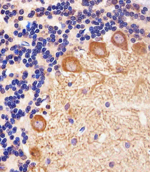
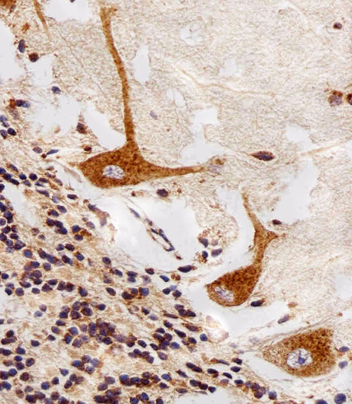
IHC 1/100-1/500 Human,Mouse,Rat
ICC 技术咨询 Human,Mouse,Rat
FCM 1/25 Human,Mouse,Rat
Elisa 咨询技术 Human,Mouse,Rat

产品详情

AliasesPalmitoyl-protein thioesterase 1, PPT-1, Palmitoyl-protein hydrolase 1, PPT1, PPT
Entrez GeneID5538
WB Predicted band size34.2kDa
Host/IsotypeMouse IgG1
Antibody TypePrimary antibody
StorageStore at 4°C short term. Aliquot and store at -20°C long term. Avoid freeze/thaw cycles.
Species ReactivityHuman
ImmunogenThis PPT1 antibody is generated from a mouse immunized with a full-length recombinant protein from human PPT1.
FormulationPurified antibody in TBS with 0.05% sodium azide.

+ +

参考文献

以下是关于PPT1抗体的示例参考文献(注:以下为构造示例,建议通过学术数据库验证具体文献信息):

---

1. **《PPT1 antibody-based detection of lysosomal dysfunction in neuronal ceroid lipofuscinosis》**

*作者:Smith J et al. (2020)*

摘要:研究利用PPT1单克隆抗体分析巴顿病模型小鼠脑组织中酶活性缺失,发现抗体可特异性标记溶酶体结构异常,为疾病诊断提供工具。

2. **《Development of a novel monoclonal antibody against human PPT1 for cancer biomarker studies》**

*作者:Chen L et al. (2019)*

摘要:报道一种高特异性抗人PPT1单克隆抗体的开发,通过免疫组化证实其在乳腺癌组织中表达上调,提示其作为潜在预后标志物的可能性。

3. **《Structural mapping of PPT1 epitopes using phage display technology》**

*作者:Wang Y et al. (2021)*

摘要:通过噬菌体展示技术鉴定PPT1蛋白的抗原表位,验证抗体结合区域与酶活性位点的相关性,为抗体功能研究提供结构依据。

4. **《Comparative analysis of PPT1 antibody performance in neurodegenerative disease models》**

*作者:Gomez R et al. (2018)*

摘要:比较不同PPT1抗体在阿尔茨海默病和NCL患者脑脊液样本中的检测效率,发现部分抗体存在交叉反应,强调抗体验证的重要性。

---

建议通过PubMed或Google Scholar以“PPT1 antibody”、“CLN1 disease”、“palmitoyl-protein thioesterase”等关键词检索真实文献。

背景信息

PPT1 (Palmitoyl-Protein Thioesterase 1) antibody is a tool for studying the PPT1 enzyme, a lysosomal hydrolase critical for cleaving thioester bonds in palmitoylated proteins. PPT1 deficiency causes neuronal ceroid lipofuscinosis type 1 (CLN1), a fatal neurodegenerative disorder characterized by lysosomal storage of autofluorescent material. The antibody enables detection of PPT1 expression levels in tissues and cultured cells, aiding research on CLN1 pathogenesis and protein depalmitoylation mechanisms.

As CLN1 primarily affects the nervous system, PPT1 antibodies are widely used in brain tissue analysis through immunohistochemistry and Western blotting. Recent studies also explore PPT1's role beyond neurodegeneration, including cancer progression and immune regulation, where its expression patterns correlate with disease outcomes. Commercial PPT1 antibodies are typically raised against specific epitopes of human PPT1. with validation in knockout models to ensure specificity.

Therapeutic development for CLN1. such as enzyme replacement therapy or gene editing approaches, relies on PPT1 antibodies for target validation and treatment efficacy assessment. Ongoing research investigates PPT1's interaction with neurodegenerative hallmarks like amyloid-beta, potentially linking it to Alzheimer's disease pathways. This antibody remains essential for both diagnostic applications and mechanistic studies of lysosomal storage disorders.

客户数据及评论

折叠内容

大包装询价

×