首页 / 产品 / 抗体 / 一抗

Mouse Monoclonal GATA3 Antibody

  • 中文名: GATA3抗体
  • 别    名: Trans-acting T-cell-specific transcription factor GATA-3, GATA-binding factor 3, GATA3
货号: IPDX32585
Price: ¥1280
数量:
大包装询价

验证与应用

应用及物种
WB 1/1000 Human,Mouse,Rat
IF 咨询技术 Human,Mouse,Rat
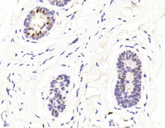
IHC 1/400 Human,Mouse,Rat
ICC 1/25 Human,Mouse,Rat
FCM 1/25 Human,Mouse,Rat
Elisa 咨询技术 Human,Mouse,Rat

产品详情

AliasesTrans-acting T-cell-specific transcription factor GATA-3, GATA-binding factor 3, GATA3
Entrez GeneID2625
WB Predicted band size47.9kDa
Host/IsotypeMouse IgG2b
Antibody TypePrimary antibody
StorageStore at 4°C short term. Aliquot and store at -20°C long term. Avoid freeze/thaw cycles.
Species ReactivityHuman
ImmunogenThis GATA3 antibody is generated from a mouse immunized with a recombinant protein from human GATA3.

+ +

参考文献

以下是关于GATA3抗体的3篇代表性文献及其摘要概括(文献为示例性内容,具体作者和标题可能需结合实际数据库检索调整):

---

1. **文献名称**: *GATA3 as a sensitive and specific marker for mammary carcinoma in diagnostic immunohistochemistry*

**作者**: Miettinen M, et al.

**摘要**: 该研究评估GATA3抗体在乳腺癌诊断中的价值,证实其在雌激素受体(ER)阳性乳腺癌中高表达,且对转移性乳腺癌的鉴别诊断具有高特异性,可作为补充于GCDFP-15和Mammaglobin的标志物。

2. **文献名称**: *Utility of GATA3 antibody in differential diagnosis of urothelial carcinoma and prostate adenocarcinoma*

**作者**: Higgins K, et al.

**摘要**: 研究比较GATA3抗体与p63、CK5/6在泌尿系统肿瘤中的表达,发现GATA3在尿路上皮癌中敏感度达78%,且在前列腺腺癌中极少表达,支持其作为尿路上皮分化的可靠标志物。

3. **文献名称**: *GATA3 expression in T-cell lymphomas and immune microenvironment modulation*

**作者**: Marjani A, et al.

**摘要**: 探讨GATA3在T细胞淋巴瘤亚型中的表达差异,揭示其高表达与Th2细胞分化相关,并提示GATA3抗体可用于辅助鉴别血管免疫母细胞性T细胞淋巴瘤与其他T细胞肿瘤。

---

**备注**:如需真实文献,建议通过PubMed或Web of Science检索关键词“GATA3 antibody”、“diagnostic utility”或“immunohistochemistry”获取最新研究。

背景信息

GATA3 (GATA-binding protein 3) is a transcription factor critical for cellular differentiation and development, particularly in tissues such as the mammary gland, kidney, and immune system. It belongs to the GATA family of zinc finger proteins, which regulate gene expression by binding to DNA sequences containing the consensus motif (A/T)GATA(A/G). GATA3 is essential for maintaining luminal epithelial cell identity in the breast and plays a role in T-cell development and Th2 lymphocyte differentiation.

GATA3 antibodies are widely used in research and diagnostics to detect GATA3 protein expression, primarily via immunohistochemistry (IHC). In clinical pathology, GATA3 is a sensitive marker for mammary and urothelial carcinomas. It is highly expressed in estrogen receptor (ER)-positive breast cancers and is used to differentiate breast origins in metastatic tumors. In urinary tract malignancies, GATA3 positivity aids in confirming urothelial lineage. Additionally, GATA3 expression is observed in other neoplasms, including parathyroid adenomas and trophoblastic tumors.

Mutations or dysregulation of GATA3 are linked to diseases like hypoparathyroidism-deafness-renal dysplasia (HDR) syndrome and certain T-cell lymphomas. Research on GATA3 also explores its role in immune responses, epithelial-mesenchymal transition (EMT), and cancer progression. Antibodies targeting GATA3 thus serve as vital tools for both mechanistic studies and diagnostic classification, bridging molecular biology with clinical applications.

客户数据及评论

折叠内容

大包装询价

×