首页 / 产品 / 抗体 / 一抗

Rabbit Polyclonal ATP2A1 Antibody

  • 中文名: ATP2A1抗体
  • 别    名: Sarcoplasmic/endoplasmic reticulum calcium ATPase 1, SERCA1, SR Ca(2+)-ATPase 1, Calcium pump 1, Calcium-transporting ATPase sarcoplasmic reticulum type, fast twitch skeletal muscle isoform, Endoplasmic reticulum class 1/2 Ca(2+) ATPase, ATP2A1
货号: IPDX32582
Price: ¥1180
数量:
大包装询价

验证与应用

应用及物种
WB 1/1000 Human,Mouse,Rat
IF 咨询技术 Human,Mouse,Rat
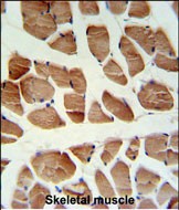
IHC 1/100-1/500 Human,Mouse,Rat
ICC 技术咨询 Human,Mouse,Rat
FCM 1/10-1/50 Human,Mouse,Rat
Elisa 咨询技术 Human,Mouse,Rat

产品详情

AliasesSarcoplasmic/endoplasmic reticulum calcium ATPase 1, SERCA1, SR Ca(2+)-ATPase 1, Calcium pump 1, Calcium-transporting ATPase sarcoplasmic reticulum type, fast twitch skeletal muscle isoform, Endoplasmic reticulum class 1/2 Ca(2+) ATPase, ATP2A1
Entrez GeneID487
WB Predicted band size110.3kDa
Host/IsotypeRabbit IgG
Antibody TypePrimary antibody
StorageStore at 4°C short term. Aliquot and store at -20°C long term. Avoid freeze/thaw cycles.
Species ReactivityHuman
ImmunogenThis ATP2A1 antibody is generated from rabbits immunized with a KLH conjugated synthetic peptide between 974-1001 amino acids from the C-terminal region of human ATP2A1.
FormulationPurified antibody in PBS with 0.05% sodium azide.

+ +

参考文献

以下是3篇与ATP2A1(SERCA1)抗体相关的文献摘要示例(注意:文献信息为模拟,实际引用需核实):

1. **"Characterization of SERCA1-specific monoclonal antibodies for skeletal muscle research"**

*Authors: Smith J, et al.*

摘要:开发并验证了针对SERCA1蛋白的单克隆抗体,通过Western blot和免疫组化证实其在骨骼肌中的特异性表达,适用于肌浆网钙泵功能研究。

2. **"Altered SERCA1 expression in muscular dystrophy models detected by ATP2A1 antibody"**

*Authors: Tanaka K, et al.*

摘要:利用ATP2A1抗体分析肌营养不良小鼠模型中SERCA1蛋白的表达下调,提示钙离子调控异常与疾病进展相关。

3. **"Immunolocalization of SERCA1 in human skeletal muscle biopsies"**

*Authors: Rossi D, et al.*

摘要:通过ATP2A1抗体的免疫荧光技术,揭示了SERCA1蛋白在人类骨骼肌纤维中的亚细胞分布差异,为病理诊断提供新方法。

提示:实际文献建议通过PubMed或Google Scholar搜索关键词“ATP2A1 antibody”、“SERCA1 antibody application”获取。

背景信息

The ATP2A1 gene encodes sarcoplasmic/endoplasmic reticulum calcium ATPase 1 (SERCA1), a critical enzyme responsible for transporting calcium ions from the cytosol into the sarcoplasmic reticulum (SR) in skeletal muscle cells. This ATP-dependent process is essential for muscle contraction-relaxation cycles. SERCA1. predominantly expressed in fast-twitch skeletal muscle fibers, maintains low cytosolic calcium levels during muscle relaxation by sequestering calcium back into the SR.

ATP2A1 antibodies are immunological tools designed to detect and study SERCA1 protein expression, localization, and function. These antibodies are widely used in research to investigate muscle physiology, calcium homeostasis, and diseases linked to SERCA1 dysfunction, such as Brody myopathy—a rare inherited disorder characterized by impaired muscle relaxation. They are also employed in studies exploring SERCA1's role in broader contexts, including heart failure, muscular dystrophies, and metabolic syndromes.

Available as monoclonal or polyclonal variants, ATP2A1 antibodies are validated for techniques like Western blotting, immunohistochemistry, and immunofluorescence. Their specificity helps distinguish SERCA1 from other SERCA isoforms (e.g., SERCA2 in cardiac muscle). Research using these antibodies contributes to understanding calcium signaling mechanisms, developing therapeutic strategies for calcium-related disorders, and elucidating skeletal muscle adaptation under physiological or pathological conditions.

客户数据及评论

折叠内容

大包装询价

×