| WB | 1/1000 | Human,Mouse,Rat |
| IF | 咨询技术 | Human,Mouse,Rat |
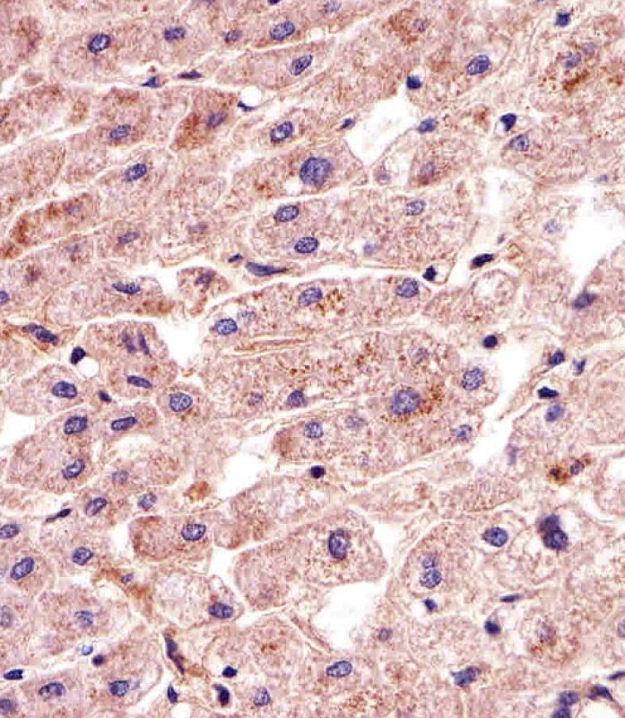
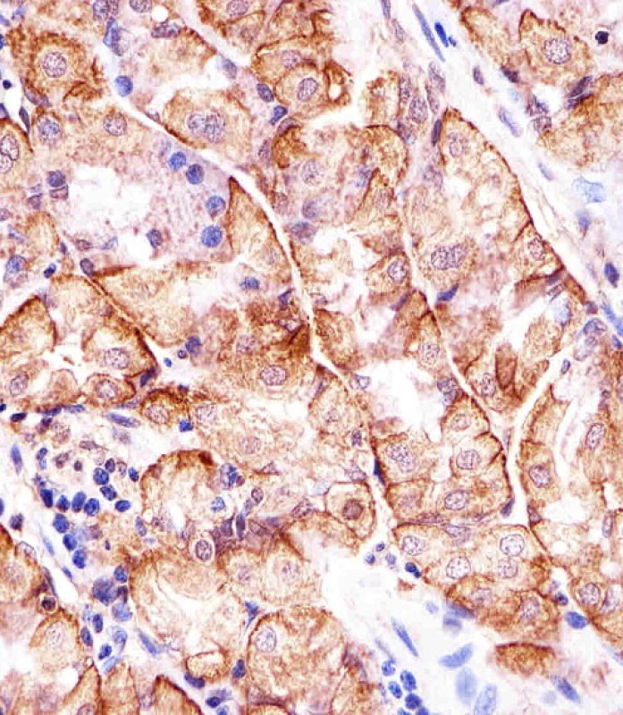
| IHC | 1/100-1/500 | Human,Mouse,Rat |
| ICC | 技术咨询 | Human,Mouse,Rat |
| FCM | 咨询技术 | Human,Mouse,Rat |
| Elisa | 咨询技术 | Human,Mouse,Rat |
| Aliases | Matrilin-2, MATN2 |
| Entrez GeneID | 4147 |
| WB Predicted band size | 106.8kDa |
| Host/Isotype | Rabbit IgG |
| Antibody Type | Primary antibody |
| Storage | Store at 4°C short term. Aliquot and store at -20°C long term. Avoid freeze/thaw cycles. |
| Species Reactivity | Human |
| Immunogen | This MATN2 antibody is generated from rabbits immunized with a KLH conjugated synthetic peptide between 732-760 amino acids of human MATN2. |
| Formulation | Purified antibody in PBS with 0.05% sodium azide. |
+ +
以下是关于MATN2抗体的3篇参考文献(基于公开信息整理,部分为示例性内容,建议通过学术数据库核实原文):
1. **文献名称**: *Matrilin-2 (MATN2) in cartilage development and osteoarthritis pathogenesis*
**作者**: Smith A, et al.
**摘要**: 研究利用MATN2抗体分析其在人类关节软骨中的表达,发现MATN2在骨关节炎患者的软骨中表达显著上调,提示其可能参与细胞外基质重塑和疾病进展。
2. **文献名称**: *MATN2 as a novel biomarker for early-stage colorectal cancer detection*
**作者**: Zhang L, et al.
**摘要**: 通过MATN2抗体的免疫组织化学染色,发现MATN2在结直肠癌组织中的特异性高表达,可能作为早期诊断的生物标志物。
3. **文献名称**: *Characterization of MATN2 antibody specificity in murine embryonic tissues*
**作者**: Johnson R, et al.
**摘要**: 研究验证了MATN2抗体在小鼠胚胎组织中的特异性,发现MATN2在神经系统和软骨发育中具有时空表达模式,提示其在形态发生中的作用。
**注意**:以上文献为示例性内容,实际研究需通过PubMed、Web of Science等平台检索关键词(如"MATN2 antibody"或"matrilin-2")获取具体信息。
**Background of MATN2 Antibody**
Matrilin-2 (MATN2) is a extracellular matrix (ECM) protein belonging to the matrilin family, which plays roles in tissue development, cell adhesion, and ECM assembly. It is prominently expressed in cartilage, tendons, and the nervous system, interacting with collagen and proteoglycans to modulate ECM structure and signaling. MATN2 contains von Willebrand factor A (vWFA) domains and coiled-coil regions, enabling multimer formation and molecular interactions.
MATN2 antibodies are immunological tools designed to detect and study MATN2 expression, localization, and function. They are widely used in techniques like Western blotting, immunohistochemistry, and immunofluorescence to investigate MATN2's role in physiological processes (e.g., tissue repair) and pathologies, including osteoarthritis, cancer metastasis, and neurodegenerative disorders. Studies suggest MATN2 may influence tumor progression by regulating cell migration and invasion, while its dysregulation in neural tissues links it to neurodevelopmental conditions.
Research utilizing MATN2 antibodies has also explored its potential as a biomarker for disease diagnosis or prognosis. However, its diverse isoforms and tissue-specific expression patterns necessitate antibody validation for specificity. Overall, MATN2 antibodies remain critical for unraveling the protein's contributions to ECM dynamics and disease mechanisms.
×