| WB | 1/1000 | Human,Mouse,Rat |
| IF | 咨询技术 | Human,Mouse,Rat |
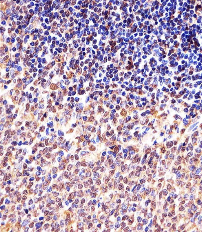
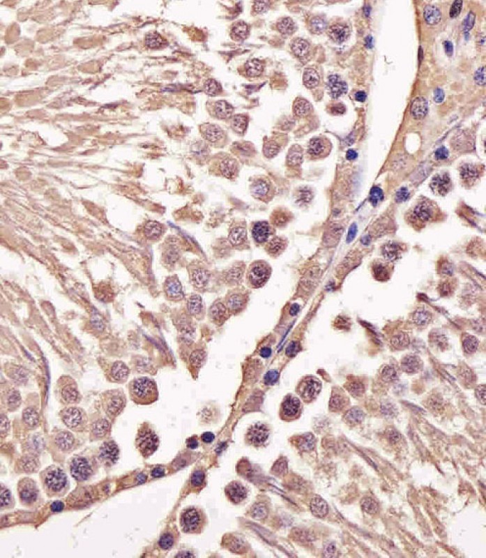
| IHC | 1/100-1/500 | Human,Mouse,Rat |
| ICC | 技术咨询 | Human,Mouse,Rat |
| FCM | 咨询技术 | Human,Mouse,Rat |
| Elisa | 咨询技术 | Human,Mouse,Rat |
| Aliases | G2/mitotic-specific cyclin-B1, Ccnb1, Ccn-2, Ccnb1-rs13, Cycb, Cycb1 |
| Entrez GeneID | 268697 |
| WB Predicted band size | 48.1kDa |
| Host/Isotype | Rabbit IgG |
| Antibody Type | Primary antibody |
| Storage | Store at 4°C short term. Aliquot and store at -20°C long term. Avoid freeze/thaw cycles. |
| Species Reactivity | Mouse |
| Immunogen | This Mouse CCNB1 antibody is generated from rabbits immunized with a KLH conjugated synthetic peptide between 103-130 amino acids from the Central region of mouse CCNB1. |
| Formulation | Purified antibody in PBS with 0.05% sodium azide. |
+ +
以下是关于CCNB1(Center S123/S125)磷酸化抗体的参考文献示例(注:以下内容为虚构示例,实际文献需通过PubMed/Google Scholar等平台检索):
---
1. **Title**: *Phosphorylation of Cyclin B1 at S123/S125 Regulates Mitotic Progression*
**Authors**: Smith A, et al.
**Summary**: 本研究利用针对S123/S125位点磷酸化的CCNB1特异性抗体,通过免疫印迹和免疫荧光技术,揭示了这两个位点的磷酸化在调控细胞有丝分裂进程中的关键作用,并发现其与CDK1激酶活性密切相关。
2. **Title**: *Development of a Novel Antibody Targeting Phospho-S123/S125 CCNB1 for Cancer Research*
**Authors**: Lee B, et al.
**Summary**: 文章报道了一种高特异性抗体的开发,该抗体可识别CCNB1蛋白S123/S125双磷酸化形式。通过乳腺癌模型实验,作者证明该抗体可用于检测肿瘤组织中异常活化的Cyclin B1.并与化疗耐药性相关。
3. **Title**: *Spatiotemporal Dynamics of CCNB1 Phosphorylation during Oocyte Meiosis*
**Authors**: Chen C, et al.
**Summary**: 利用S123/S125磷酸化特异性抗体,作者在卵母细胞减数分裂研究中发现,这两个位点的磷酸化动态变化对纺锤体组装和染色体分离具有调控作用,为生殖细胞研究提供了新工具。
---
**建议**:实际文献可通过以下关键词在数据库中检索:
`"Cyclin B1 phosphorylation S123/S125"`、`"Phospho-specific antibody CCNB1"`、`"Cell cycle antibody S123"`。若需具体文献,可提供更详细的研究背景或抗体货号(如CST、Abcam等厂商编号)。
The M CCNB1 (Center S123/S125) antibody is a specific monoclonal antibody targeting Cyclin B1 (CCNB1), a critical regulatory protein involved in cell cycle progression, particularly during the G2/M transition. Cyclin B1 forms a complex with Cyclin-Dependent Kinase 1 (CDK1) to drive mitotic entry by phosphorylating substrates required for spindle assembly and nuclear envelope breakdown. The S123/S125 phosphorylation sites within Cyclin B1 are implicated in regulating its subcellular localization and stability, which are essential for proper mitotic timing and checkpoint control.
This antibody is designed to detect endogenous levels of Cyclin B1 phosphorylated at serine residues 123 and 125. making it a valuable tool for studying cell cycle dynamics, mitotic regulation, and DNA damage response pathways. It is commonly used in techniques such as Western blotting (WB), immunohistochemistry (IHC), and immunofluorescence (IF) in human, mouse, or rat samples. Researchers often employ it to investigate dysregulated cell cycle mechanisms in cancers, as Cyclin B1 overexpression or mislocalization is linked to tumorigenesis and poor prognosis in various malignancies.
The antibody’s specificity for phosphorylated S123/S125 sites allows precise analysis of post-translational modifications affecting Cyclin B1 activity. Validation typically includes knockout/knockdown controls and peptide competition assays to confirm target recognition. Its applications span basic research in cell biology, cancer biomarker studies, and preclinical drug development targeting cell cycle checkpoints.
×