首页 / 产品 / 抗体 / 一抗

Rabbit Polyclonal CTNNB1 Antibody

  • 中文名: CTNNB1抗体
  • 别    名: Catenin beta-1, Beta-catenin, CTNNB1, CTNNB
货号: IPDX32453
Price: ¥1180
数量:
大包装询价

验证与应用

应用及物种
WB 1/2000 Human,Mouse,Rat
IF 咨询技术 Human,Mouse,Rat
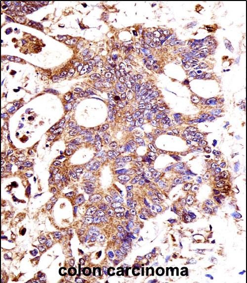
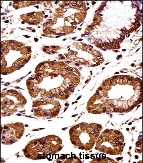
IHC 1/100-1/500 Human,Mouse,Rat
ICC 1/50 Human,Mouse,Rat
FCM 1/50 Human,Mouse,Rat
Elisa 咨询技术 Human,Mouse,Rat

产品详情

AliasesCatenin beta-1, Beta-catenin, CTNNB1, CTNNB
Entrez GeneID1499
WB Predicted band size85.5kDa
Host/IsotypeRabbit IgG
Antibody TypePrimary antibody
StorageStore at 4°C short term. Aliquot and store at -20°C long term. Avoid freeze/thaw cycles.
Species ReactivityHuman
ImmunogenThis CTNNB1 antibody is generated from rabbits immunized with a KLH conjugated synthetic peptide between 692-721 amino acids from the C-terminal region of human CTNNB1.
FormulationPurified antibody in PBS with 0.05% sodium azide.

+ +

参考文献

以下是3篇与CTNNB1(β-catenin)抗体相关的经典文献及摘要概括:

1. **"Constitutive transcriptional activation by a β-catenin-Tcf complex in APC⁻/⁻ colon carcinoma"**

- **作者**: Korinek, V. et al.

- **摘要**: 该研究通过免疫沉淀(使用CTNNB1抗体)发现APC基因缺失导致β-catenin在结直肠癌细胞核内异常积累,激活Wnt靶基因转录,揭示了APC/β-catenin-Tcf通路在癌症中的作用。

2. **"Activation of β-catenin-Tcf signaling in colon cancer by mutations in β-catenin or APC"**

- **作者**: Morin, P.J. et al.

- **摘要**: 通过Western blot和免疫组化(使用β-catenin抗体)证实结肠癌中CTNNB1基因突变或APC缺失导致β-catenin蛋白稳定性增加,驱动肿瘤发生。

3. **"Wnt/β-catenin signaling and disease"**

- **作者**: Clevers, H. & Nusse, R.

- **摘要**: 综述文章总结了β-catenin在Wnt信号通路中的核心作用,强调其实验工具(如抗体)在检测蛋白定位及活性中的应用,并探讨其在癌症和发育异常中的机制。

4. **"Genome-wide pattern of TCF7L2/TCF4 chromatin occupancy in colorectal cancer cells"**

- **作者**: Hatzis, P. et al.

- **摘要**: 研究通过染色质免疫沉淀(ChIP,使用CTNNB1抗体)揭示结直肠癌细胞中β-catenin与TCF4转录因子共同调控下游致癌基因的全基因组结合模式。

这些文献均涉及CTNNB1抗体的实验应用(如检测表达、定位或互作),并解析β-catenin在疾病中的功能。

背景信息

The CTNNB1 antibody targets β-catenin, a multifunctional protein encoded by the CTNNB1 gene. β-catenin plays pivotal roles in cell adhesion and Wnt signaling, regulating cell proliferation, differentiation, and tissue homeostasis. In the canonical Wnt pathway, β-catenin acts as a transcriptional co-activator: when Wnt ligands bind receptors, β-catenin escapes degradation, accumulates in the cytoplasm, and translocates to the nucleus to drive target gene expression. Dysregulation of CTNNB1/β-catenin is implicated in cancers (e.g., colorectal, hepatocellular carcinomas) and developmental disorders. Mutations in CTNNB1. often affecting phosphorylation sites, stabilize β-catenin, leading to constitutive pathway activation.

CTNNB1 antibodies are widely used in research to assess β-catenin expression, localization (membrane, cytoplasmic, nuclear), and mutational status. They are critical tools in studying Wnt pathway activity, epithelial-mesenchymal transition (EMT), and cancer progression. Common applications include Western blotting, immunohistochemistry (IHC), immunofluorescence (IF), and co-immunoprecipitation. Specificity varies among antibodies; some recognize total β-catenin, while others detect active (non-phosphorylated) forms or phosphorylation-specific epitopes. Proper validation using controls (e.g., knockout cells, tissue samples with known mutations) is essential, as post-translational modifications, isoforms, or subcellular localization can influence detection. These antibodies also aid in diagnosing diseases with β-catenin abnormalities, such as desmoid tumors or β-cateninopathies.

客户数据及评论

折叠内容

大包装询价

×